Skip to main content

alpha-Actinin 1 Antibody - BSA Free

Novus Biologicals, part of Bio-Techne | Catalog # NBP1-32578

Novus Biologicals, part of Bio-Techne
Catalog #
Availability
Size / Price
Qty
Loading...
NBP1-32578

Key Product Details

Species Reactivity

Validated:

Human, Mouse, Rat

Cited:

Mouse

Predicted:

Xenopus (97%). Backed by our 100% Guarantee.

Applications

Validated:

Immunohistochemistry, Immunohistochemistry-Paraffin, Western Blot

Cited:

Western Blot

Label

Unconjugated

Antibody Source

Polyclonal Rabbit IgG

Format

BSA Free

Concentration

Concentrations vary lot to lot. See vial label for concentration. If unlisted please contact technical services.

Product Specifications

Immunogen

Recombinant protein encompassing a sequence within the center region of human alpha-Actinin 1. The exact sequence is proprietary.

Localization

Cytoplasm, cytoskeleton, myofibril, sarcomere, Z-disk

Marker

Z-disk Marker

Clonality

Polyclonal

Host

Rabbit

Isotype

IgG

Theoretical MW

103 kDa.
Disclaimer note: The observed molecular weight of the protein may vary from the listed predicted molecular weight due to post translational modifications, post translation cleavages, relative charges, and other experimental factors.

Description

Novus Biologicals Rabbit alpha-Actinin 1 Antibody - BSA Free (NBP1-32578) is a polyclonal antibody validated for use in IHC and WB. Anti-alpha-Actinin 1 Antibody: Cited in 1 publication. All Novus Biologicals antibodies are covered by our 100% guarantee.

Scientific Data Images for alpha-Actinin 1 Antibody - BSA Free

Western Blot: alpha-Actinin 1 Antibody [NBP1-32578]

Western Blot: alpha-Actinin 1 Antibody [NBP1-32578]

Western Blot: alpha-Actinin 1 Antibody [NBP1-32578] - Rat tissue extract (50 ug) was separated by 7.5% SDS-PAGE, and the membrane was blotted with alpha-Actinin 1 antibody diluted at 1:1000. HRP-conjugated anti-rabbit IgG antibody was used to detect the primary antibody.
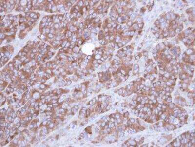
Immunohistochemistry-Paraffin: alpha-Actinin 1 Antibody [NBP1-32578]

Immunohistochemistry-Paraffin: alpha-Actinin 1 Antibody [NBP1-32578]

Immunohistochemistry-Paraffin: alpha-Actinin 1 Antibody [NBP1-32578] - Paraffin-embedded SW480 xenograft, using antibody at 1:100 dilution.
Western Blot: alpha-Actinin 1 Antibody [NBP1-32578]

Western Blot: alpha-Actinin 1 Antibody [NBP1-32578]

Western Blot: alpha-Actinin 1 Antibody [NBP1-32578] - A:NIH-3T3.

Applications for alpha-Actinin 1 Antibody - BSA Free

Application
Recommended Usage

Immunohistochemistry

10 - 1:500

Immunohistochemistry-Paraffin

1:100-1:1000

Western Blot

1:500-1:3000

Formulation, Preparation, and Storage

Purification

Antigen Affinity-purified

Formulation

0.1M Tris, 0.1M Glycine, 10% Glycerol

Format

BSA Free

Preservative

0.01% Thimerosal

Concentration

Concentrations vary lot to lot. See vial label for concentration. If unlisted please contact technical services.

Shipping

The product is shipped with polar packs. Upon receipt, store it immediately at the temperature recommended below.

Stability & Storage

Aliquot and store at -20C or -80C. Avoid freeze-thaw cycles.

Background: alpha Actinin 1

Alpha actinins belong to the spectrin gene superfamily which represents a diverse group of cytoskeletal proteins, including the alpha and beta spectrins and dystrophins. Alpha actinin is an actin-binding protein with multiple roles in different cell types. In nonmuscle cells, the cytoskeletal isoform is found along microfilament bundles and adherens-type junctions, where it is involved in binding actin to the membrane. In contrast, skeletal, cardiac, and smooth muscle isoforms are localized to the Z-disc and analogous dense bodies, where they help anchor the myofibrillar actin filaments. This gene encodes a nonmuscle, cytoskeletal, alpha actinin isoform and maps to the same site as the structurally similar erythroid beta spectrin gene. Three transcript variants encoding different isoforms have been found for this gene. [provided by RefSeq]

Long Name

Actinin alpha 1

Alternate Names

ACTN1, alpha-Actinin 1, alphaActinin 1, BDPLT15

Gene Symbol

ACTN1

Additional alpha Actinin 1 Products

Product Documents for alpha-Actinin 1 Antibody - BSA Free

Certificate of Analysis

To download a Certificate of Analysis, please enter a lot number in the search box below.

Product Specific Notices for alpha-Actinin 1 Antibody - BSA Free

This product is for research use only and is not approved for use in humans or in clinical diagnosis. Primary Antibodies are guaranteed for 1 year from date of receipt.

Loading...
Loading...
Loading...
Loading...

⚠ WARNING: This product can expose you to chemicals including mercury, which is known to the State of California to cause reproductive toxicity with developmental effects.  For more information go to www.P65Warnings.ca.gov.