ALG11 Antibody - BSA Free
Novus Biologicals, part of Bio-Techne | Catalog # NBP1-91577
Key Product Details
Species Reactivity
Human
Applications
Immunohistochemistry, Immunohistochemistry-Paraffin, Western Blot
Label
Unconjugated
Antibody Source
Polyclonal Rabbit IgG
Format
BSA Free
Concentration
0.5 mg/ml
Product Specifications
Immunogen
Synthetic peptide directed towards the C terminal of human ALG11. Peptide sequence LHTMWNEHFGIGVVECMAAGTIILAHNSGGPKLDIVIPHEGDITGFLAES. The peptide sequence for this immunogen was taken from within the described region.
Clonality
Polyclonal
Host
Rabbit
Isotype
IgG
Description
The addition of 50% glycerol is optional for those storing this antibody at -20C and not aliquoting smaller units. However, please note that glycerol may interrupt some downstream antibody applications and should be added with caution.
Scientific Data Images for ALG11 Antibody - BSA Free
Western Blot: ALG11 Antibody [NBP1-91577]
Western Blot: ALG11 Antibody [NBP1-91577] - HepG2 cell lysate, Antibody Titration: 0.2-1 ug/mlImmunohistochemistry-Paraffin: ALG11 Antibody [NBP1-91577]
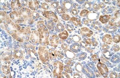
Immunohistochemistry-Paraffin: ALG11 Antibody [NBP1-91577] - Human kidney Tissue, antibody concentration 4-8ug/ml. Cells with positive label: renal corpuscle cells (indicated with arrows) 400X magnification.Applications for ALG11 Antibody - BSA Free
Application
Recommended Usage
Immunohistochemistry
1:10-1:500
Immunohistochemistry-Paraffin
1:10-1:500
Western Blot
1.0 ug/ml
Formulation, Preparation, and Storage
Purification
Affinity purified
Formulation
PBS, 2% Sucrose
Format
BSA Free
Preservative
0.09% Sodium Azide
Concentration
0.5 mg/ml
Shipping
The product is shipped with polar packs. Upon receipt, store it immediately at the temperature recommended below.
Stability & Storage
Store at 4C short term. Aliquot and store at -20C long term. Avoid freeze-thaw cycles.
Background: ALG11
Alternate Names
asparagine-linked glycosylation 11, alpha-1,2-mannosyltransferase homolog (yeast), asparagine-linked glycosylation protein 11 homolog
Gene Symbol
ALG11
UniProt
Additional ALG11 Products
Product Documents for ALG11 Antibody - BSA Free
Product Specific Notices for ALG11 Antibody - BSA Free
This product is for research use only and is not approved for use in humans or in clinical diagnosis. Primary Antibodies are guaranteed for 1 year from date of receipt.
Loading...
Loading...
Loading...
Loading...