Skip to main content

Aldolase B Antibody

Novus Biologicals, part of Bio-Techne | Catalog # NBP2-15344

Novus Biologicals, part of Bio-Techne
Catalog #
Availability
Size / Price
Qty
Loading...
NBP2-15344

Key Product Details

Species Reactivity

Validated:

Human, Mouse, Rat, Reptile

Predicted:

Bovine (91%), Rabbit (98%), Sheep (90%). Backed by our 100% Guarantee.

Applications

Immunohistochemistry, Immunohistochemistry-Paraffin, Western Blot, Immunocytochemistry/ Immunofluorescence

Label

Unconjugated

Antibody Source

Polyclonal Rabbit IgG

Concentration

Concentrations vary lot to lot. See vial label for concentration. If unlisted please contact technical services.

Product Specifications

Immunogen

Recombinant protein encompassing a sequence within the center region of human Aldolase B. The exact sequence is proprietary.

Reactivity Notes

Chicken (84%).

Clonality

Polyclonal

Host

Rabbit

Isotype

IgG

Theoretical MW

39 kDa.
Disclaimer note: The observed molecular weight of the protein may vary from the listed predicted molecular weight due to post translational modifications, post translation cleavages, relative charges, and other experimental factors.

Description

Novus Biologicals Rabbit Aldolase B Antibody (NBP2-15344) is a polyclonal antibody validated for use in IHC, WB and ICC/IF. All Novus Biologicals antibodies are covered by our 100% guarantee.

Scientific Data Images for Aldolase B Antibody

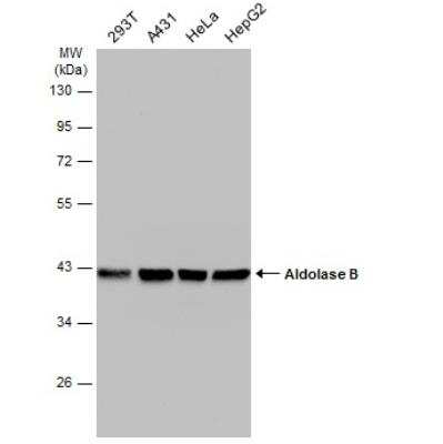
Western Blot: Aldolase B Antibody [NBP2-15344]

Western Blot: Aldolase B Antibody [NBP2-15344]

Western Blot: Aldolase B Antibody [NBP2-15344] - Various tissue extracts (50 ug) were separated by 10% SDS-PAGE, and the membrane was blotted with Aldolase B antibody diluted at 1:1000. The HRP-conjugated anti-rabbit IgG antibody (NBP2-19301) was used to detect the primary antibody.
Immunocytochemistry/ Immunofluorescence: Aldolase B Antibody [NBP2-15344]

Immunocytochemistry/ Immunofluorescence: Aldolase B Antibody [NBP2-15344]

Immunocytochemistry/Immunofluorescence: Aldolase B Antibody [NBP2-15344] - Analysis of methanol-fixed HeLa, using antibody at 1:500 dilution.
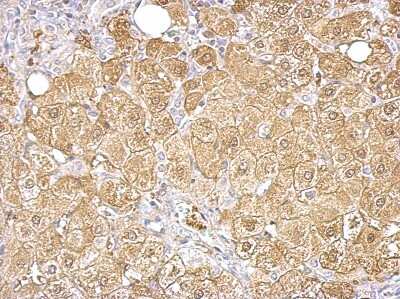
Immunohistochemistry: Aldolase B Antibody [NBP2-15344]

Immunohistochemistry: Aldolase B Antibody [NBP2-15344]

Immunohistochemistry: Aldolase B Antibody [NBP2-15344] - Hepatoma tissue; antibody dilution 1:500. Antigen Retrieval: TrilogyTM (EDTA based) buffer, 15min.

Applications for Aldolase B Antibody

Application
Recommended Usage

Immunocytochemistry/ Immunofluorescence

1:100-1:1000

Immunohistochemistry

1:100-1:1000

Immunohistochemistry-Paraffin

1:100-1:1000

Western Blot

1:500-1:3000

Formulation, Preparation, and Storage

Purification

Antigen Affinity-purified

Formulation

PBS, 1% BSA, 20% Glycerol

Preservative

0.025% Proclin 300

Concentration

Concentrations vary lot to lot. See vial label for concentration. If unlisted please contact technical services.

Shipping

The product is shipped with polar packs. Upon receipt, store it immediately at the temperature recommended below.

Stability & Storage

Aliquot and store at -20C or -80C. Avoid freeze-thaw cycles.

Background: Aldolase B

Fructose-1,6-bisphosphate aldolase (EC 4.1.2.13) is a tetrameric glycolytic enzyme that catalyzes the reversible conversion of fructose-1,6-bisphosphate to glyceraldehyde 3-phosphate and dihydroxyacetone phosphate. Vertebrates have 3 aldolase isozymes which are distinguished by their electrophoretic and catalytic properties. Differences indicate that aldolases A, B, and C are distinct proteins, the products of a family of related 'housekeeping' genes exhibiting developmentally regulated expression of the different isozymes. The developing embryo produces aldolase A, which is produced in even greater amounts in adult muscle where it can be as much as 5% of total cellular protein. In adult liver, kidney and intestine, aldolase A expression is repressed and aldolase B is produced. In brain and other nervous tissue, aldolase A and C are expressed about equally. There is a high degree of homology between aldolase A and C. Defects in ALDOB cause hereditary fructose intolerance. [provided by RefSeq]

Alternate Names

ALDO2, aldolase B, fructose-bisphosphate, EC 4.1.2.13, fructose-bisphosphatase, fructose-bisphosphate aldolase B

Gene Symbol

ALDOB

UniProt

Additional Aldolase B Products

Product Documents for Aldolase B Antibody

Certificate of Analysis

To download a Certificate of Analysis, please enter a lot number in the search box below.

Product Specific Notices for Aldolase B Antibody

This product is for research use only and is not approved for use in humans or in clinical diagnosis. Primary Antibodies are guaranteed for 1 year from date of receipt.

Loading...
Loading...
Loading...
Loading...

⚠ WARNING: This product can expose you to chemicals including mercury, which is known to the State of California to cause reproductive toxicity with developmental effects.  For more information go to www.P65Warnings.ca.gov.