Skip to main content

ALDH5A1 Antibody - BSA Free

Novus Biologicals, part of Bio-Techne | Catalog # NBP1-86996

Novus Biologicals, part of Bio-Techne
Catalog #
Availability
Size / Price
Qty
Loading...
NBP1-86996-25ul
NBP1-86996

Key Product Details

Validated by

Orthogonal Validation

Species Reactivity

Validated:

Human

Predicted:

Mouse (94%), Rat (93%). Backed by our 100% Guarantee.

Applications

Validated:

Immunohistochemistry, Immunohistochemistry-Paraffin, Western Blot, Immunocytochemistry/ Immunofluorescence

Cited:

Western Blot

Label

Unconjugated

Antibody Source

Polyclonal Rabbit IgG

Format

BSA Free

Concentration

Concentrations vary lot to lot. See vial label for concentration. If unlisted please contact technical services.

Product Specifications

Immunogen

This antibody was developed against Recombinant Protein corresponding to amino acids: ANSVKRVSMELGGLAPFIVFDSANVDQAVAGAMASKFRNTGQTCVCSNQFLVQRGIHDAFVKAFAEAMKKNLRVGNGFEEGTTQGPLINEKAVEKVEKQV

Reactivity Notes

Reactivity reported in scientific literature (PMID: 24551133)

Clonality

Polyclonal

Host

Rabbit

Isotype

IgG

Theoretical MW

57 kDa.
Disclaimer note: The observed molecular weight of the protein may vary from the listed predicted molecular weight due to post translational modifications, post translation cleavages, relative charges, and other experimental factors.

Scientific Data Images for ALDH5A1 Antibody - BSA Free

Immunocytochemistry/ Immunofluorescence: ALDH5A1 Antibody [NBP1-86996]

Immunocytochemistry/ Immunofluorescence: ALDH5A1 Antibody [NBP1-86996]

Immunocytochemistry/Immunofluorescence: ALDH5A1 Antibody [NBP1-86996] - Staining of human cell line CACO-2 shows localization to mitochondria. Antibody staining is shown in green.
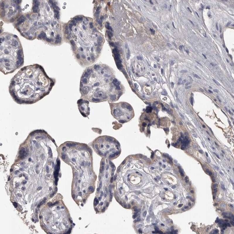
ALDH5A1 Antibody - BSA Free Immunohistochemistry-Paraffin: ALDH5A1 Antibody - BSA Free [NBP1-86996]

Immunohistochemistry-Paraffin: ALDH5A1 Antibody - BSA Free [NBP1-86996]

Analysis in human liver and placenta tissues Corresponding ALDH5A1 RNA-seq data are presented for the same tissues.
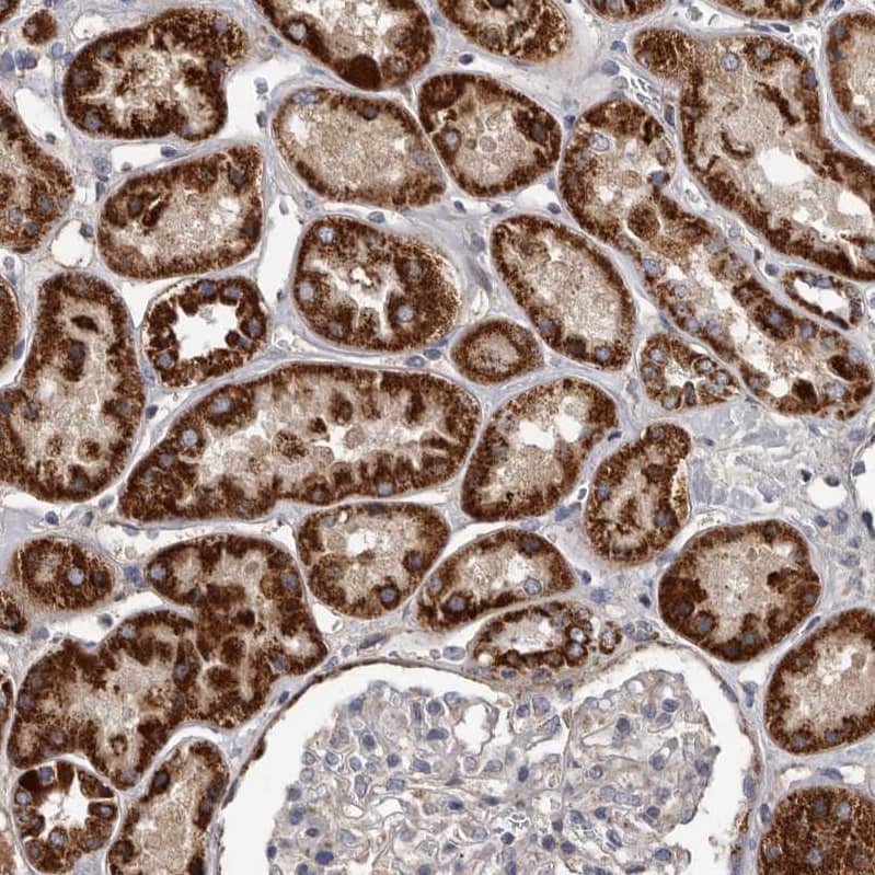
ALDH5A1 Antibody - BSA Free Immunohistochemistry-Paraffin: ALDH5A1 Antibody - BSA Free [NBP1-86996]

Immunohistochemistry-Paraffin: ALDH5A1 Antibody - BSA Free [NBP1-86996]

Staining of human kidney shows strong granular cytoplasmic positivity in cells in tubules.

Applications for ALDH5A1 Antibody - BSA Free

Application
Recommended Usage

Immunocytochemistry/ Immunofluorescence

0.25-2 ug/ml

Immunohistochemistry

1:200 - 1:500

Immunohistochemistry-Paraffin

1:200 - 1:500

Western Blot

0.04-0.4 ug/ml
Application Notes
WB reported in scientific literature (PMID: 24551133). For IHC-Paraffin, HIER pH 6 retrieval is recommended. ICC/IF Fixation Permeabilization: Use PFA/Triton X-100.

Formulation, Preparation, and Storage

Purification

Affinity purified

Formulation

PBS (pH 7.2) and 40% Glycerol

Format

BSA Free

Preservative

0.02% Sodium Azide

Concentration

Concentrations vary lot to lot. See vial label for concentration. If unlisted please contact technical services.

Shipping

The product is shipped with polar packs. Upon receipt, store it immediately at the temperature recommended below.

Stability & Storage

Store at 4C short term. Aliquot and store at -20C long term. Avoid freeze-thaw cycles.

Background: ALDH5A1

ALDH5A1 belongs to the aldehyde dehydrogenase family of proteins. This gene encodes a mitochondrial NAD(+)-dependent succinic semialdehyde dehydrogenase. A deficiency of this enzyme, known as 4-hydroxybutyricaciduria, is a rare inborn error in the metabolism of the neurotransmitter 4-aminobutyric acid (GABA). In response to the defect, physiologic fluids from patients accumulate GHB, a compound with numerous neuromodulatory properties. Two transcript variants encoding distinct isoforms have been identified for this gene.

Alternate Names

aldehyde dehydrogenase 5 family, member A1, EC 1.2.1, EC 1.2.1.24, NAD(+)-dependent succinic semialdehyde dehydrogenase, SSADHmitochondrial

Entrez Gene IDs

7915 (Human)

Gene Symbol

ALDH5A1

UniProt

Additional ALDH5A1 Products

Product Documents for ALDH5A1 Antibody - BSA Free

Certificate of Analysis

To download a Certificate of Analysis, please enter a lot number in the search box below.

Product Specific Notices for ALDH5A1 Antibody - BSA Free

This product is for research use only and is not approved for use in humans or in clinical diagnosis. Primary Antibodies are guaranteed for 1 year from date of receipt.

Loading...
Loading...
Loading...
Loading...