ALDH5A1 Antibody (17F5) - BSA Free
Novus Biologicals, part of Bio-Techne | Catalog # NBP2-59409
Conjugate
Catalog #
Key Product Details
Validated by
Orthogonal Validation, Biological Validation
Species Reactivity
Validated:
Human
Cited:
Human
Applications
Validated:
Immunohistochemistry, Western Blot, ELISA, Immunocytochemistry/ Immunofluorescence
Cited:
Western Blot, IF/IHC
Label
Unconjugated
Antibody Source
Monoclonal Mouse IgG2a Kappa Clone # 17F5
Format
BSA Free
Concentration
1 mg/ml
Product Specifications
Immunogen
Recombinant human ALDH5A1 (48-535aa) purified from E. coli
Clonality
Monoclonal
Host
Mouse
Isotype
IgG2a Kappa
Scientific Data Images for ALDH5A1 Antibody (17F5) - BSA Free
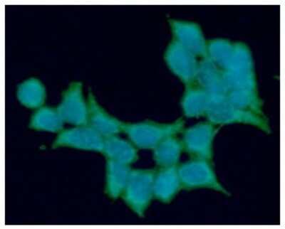
Immunocytochemistry/ Immunofluorescence: ALDH5A1 Antibody (17F5) - BSA Free [NBP2-59409]
Immunocytochemistry/Immunofluorescence: ALDH5A1 Antibody (17F5) [NBP2-59409] - Analysis of ALDH5A1 in 293T cells line, stained with DAPI (Blue) for nucleus staining and monoclonal anti-human ALDH5A1 antibody (1:100) with goat anti-mouse IgG-Alexa fluor 488 conjugate (Green).Immunohistochemistry: ALDH5A1 Antibody (17F5) - BSA Free [NBP2-59409]
ALDH5A1-Antibody-17F5-Immunohistochemistry-NBP2-59409-img0004.jpgApplications for ALDH5A1 Antibody (17F5) - BSA Free
Application
Recommended Usage
Immunocytochemistry/ Immunofluorescence
1:100
Western Blot
1:1000
Formulation, Preparation, and Storage
Purification
Protein A purified
Formulation
PBS (pH 7.4), 10% Glycerol
Format
BSA Free
Preservative
0.02% Sodium Azide
Concentration
1 mg/ml
Shipping
The product is shipped with polar packs. Upon receipt, store it immediately at the temperature recommended below.
Stability & Storage
Store at 4C short term. Aliquot and store at -20C long term. Avoid freeze-thaw cycles.
Background: ALDH5A1
Alternate Names
aldehyde dehydrogenase 5 family, member A1, EC 1.2.1, EC 1.2.1.24, NAD(+)-dependent succinic semialdehyde dehydrogenase, SSADHmitochondrial
Gene Symbol
ALDH5A1
Additional ALDH5A1 Products
Product Documents for ALDH5A1 Antibody (17F5) - BSA Free
Product Specific Notices for ALDH5A1 Antibody (17F5) - BSA Free
This product is for research use only and is not approved for use in humans or in clinical diagnosis. Primary Antibodies are guaranteed for 1 year from date of receipt.
Loading...
Loading...
Loading...
Loading...