Skip to main content

ALDH1A3 Antibody - BSA Free

Novus Biologicals, part of Bio-Techne | Catalog # NBP1-91657

Novus Biologicals, part of Bio-Techne
Catalog #
Availability
Size / Price
Qty
Loading...
NBP1-91657
NBP1-91657-25ul

Key Product Details

Validated by

Orthogonal Validation

Species Reactivity

Validated:

Human, Mouse

Cited:

Human, Mouse

Applications

Validated:

Immunohistochemistry, Immunohistochemistry-Paraffin, Immunohistochemistry-Frozen, Western Blot, Immunocytochemistry/ Immunofluorescence

Cited:

Western Blot

Label

Unconjugated

Antibody Source

Polyclonal Rabbit IgG

Format

BSA Free

Concentration

Concentrations vary lot to lot. See vial label for concentration. If unlisted please contact technical services.

Product Specifications

Immunogen

This antibody was developed against Recombinant Protein corresponding to amino acids: ERGGAMATANGAVENGQPDRKPPALPRPIRNLEVKFTKIFIN

Reactivity Notes

Rat (83%). Mouse reactivity reported in scientific literature (PMID: 26511661).

Clonality

Polyclonal

Host

Rabbit

Isotype

IgG

Theoretical MW

56 kDa.
Disclaimer note: The observed molecular weight of the protein may vary from the listed predicted molecular weight due to post translational modifications, post translation cleavages, relative charges, and other experimental factors.

Description

Novus Biologicals Rabbit ALDH1A3 Antibody - BSA Free (NBP1-91657) is a polyclonal antibody validated for use in IHC, WB and ICC/IF. Anti-ALDH1A3 Antibody: Cited in 3 publications. All Novus Biologicals antibodies are covered by our 100% guarantee.

Scientific Data Images for ALDH1A3 Antibody - BSA Free

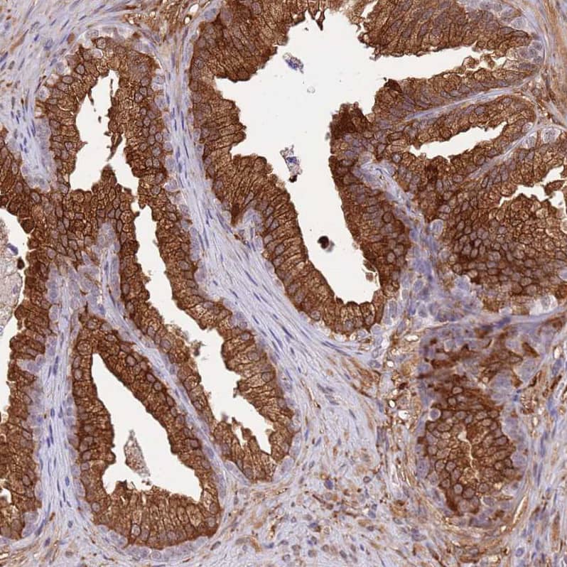
Immunohistochemistry-Paraffin: ALDH1A3 Antibody [NBP1-91657]

Immunohistochemistry-Paraffin: ALDH1A3 Antibody [NBP1-91657]

Immunohistochemistry-Paraffin: ALDH1A3 Antibody [NBP1-91657] - Staining in human prostate and skeletal muscle tissues using anti-ALDH1A3 antibody. Corresponding ALDH1A3 RNA-seq data are presented for the same tissues.
Western Blot: ALDH1A3 Antibody [NBP1-91657]

Western Blot: ALDH1A3 Antibody [NBP1-91657]

Western Blot: ALDH1A3 Antibody [NBP1-91657] - Analysis in human cell lines A-431 and Caco-2 using anti-ALDH1A3 antibody. Corresponding ALDH1A3 RNA-seq data are presented for the same cell lines. Loading control: anti-HDAC1.
Immunocytochemistry/ Immunofluorescence: ALDH1A3 Antibody [NBP1-91657]

Immunocytochemistry/ Immunofluorescence: ALDH1A3 Antibody [NBP1-91657]

Immunocytochemistry/Immunofluorescence: ALDH1A3 Antibody [NBP1-91657] - Staining of human cell line A-431 shows positivity in plasma membrane and cytoplasm. Antibody staining is shown in green.

Applications for ALDH1A3 Antibody - BSA Free

Application
Recommended Usage

Immunocytochemistry/ Immunofluorescence

0.25-2 ug/ml

Immunohistochemistry

1:20 - 1:50

Immunohistochemistry-Frozen

Validated from a verified customer review

Immunohistochemistry-Paraffin

1:20-1:50

Western Blot

0.04-0.4 ug/ml
Application Notes
For IHC-Paraffin, HIER pH 6 retrieval method is recommended. ICC/IF Fixation Permeabilization, Use PFA/Triton X-100.

Reviewed Applications

Read 1 review rated 5 using NBP1-91657 in the following applications:

Formulation, Preparation, and Storage

Purification

Immunogen affinity purified

Formulation

PBS (pH 7.2) and 40% Glycerol

Format

BSA Free

Preservative

0.02% Sodium Azide

Concentration

Concentrations vary lot to lot. See vial label for concentration. If unlisted please contact technical services.

Shipping

The product is shipped with polar packs. Upon receipt, store it immediately at the temperature recommended below.

Stability & Storage

Store at 4C short term. Aliquot and store at -20C long term. Avoid freeze-thaw cycles.

Background: Aldehyde Dehydrogenase 1-A3/ALDH1A3

Aldehyde dehydrogenase isozymes are thought to play a major role in the detoxification of aldehydes generated by alcohol metabolism and lipid peroxidation. The enzyme encoded by this gene uses retinal as a substrate, either in a free or cellular retinol-binding protein form. [provided by RefSeq].

Long Name

Aldehyde Dehydrogenase 1 Family Member A3

Alternate Names

ALDH1A3, ALDH6, MCOP8, RALDH3

Entrez Gene IDs

220 (Human)

Gene Symbol

ALDH1A3

UniProt

Additional Aldehyde Dehydrogenase 1-A3/ALDH1A3 Products

Product Documents for ALDH1A3 Antibody - BSA Free

Certificate of Analysis

To download a Certificate of Analysis, please enter a lot number in the search box below.

Product Specific Notices for ALDH1A3 Antibody - BSA Free

This product is for research use only and is not approved for use in humans or in clinical diagnosis. Primary Antibodies are guaranteed for 1 year from date of receipt.

Loading...
Loading...
Loading...
Loading...