Skip to main content

ALDH1A2 Antibody (JE41-38)

Novus Biologicals, part of Bio-Techne | Catalog # NBP3-32020

Recombinant Monoclonal Antibody
Novus Biologicals, part of Bio-Techne
Catalog #
Availability
Size / Price
Qty
Loading...
NBP3-32020

Key Product Details

Species Reactivity

Human, Mouse, Rat

Applications

Immunohistochemistry, Immunohistochemistry-Paraffin, Western Blot

Label

Unconjugated

Antibody Source

Recombinant Monoclonal Rabbit IgG Clone # JE41-38 expressed in HEK293

Concentration

1 mg/ml

Product Specifications

Immunogen

Synthetic peptide within Human ALDH1A2 aa 1-50 / 518. (Uniprot: O94788)

Localization

Cytoplasm.

Clonality

Monoclonal

Host

Rabbit

Isotype

IgG

Theoretical MW

57 kDa.
Disclaimer note: The observed molecular weight of the protein may vary from the listed predicted molecular weight due to post translational modifications, post translation cleavages, relative charges, and other experimental factors.

Description

Novus Biologicals Rabbit ALDH1A2 Antibody (JE41-38) (NBP3-32020) is a recombinant monoclonal antibody validated for use in IHC and WB. All Novus Biologicals antibodies are covered by our 100% guarantee.

Scientific Data Images for ALDH1A2 Antibody (JE41-38)

ALDH1A2 Antibody (JE41-38)

Western Blot: ALDH1A2 Antibody (JE41-38) [NBP3-32020]

Western Blot: ALDH1A2 Antibody (JE41-38) [NBP3-32020] - Western blot analysis of ALDH1A2 on different lysates with Rabbit anti-ALDH1A2 antibody (NBP3-32020) at 1/1,000 dilution.

Lane 1: K-562 cell lysate (20 ug/Lane)
Lane 2: Mouse testis tissue lysate (40 ug/Lane)

Predicted band size: 57 kDa
Observed band size: 53 kDa

Exposure time: 3 minutes;

4-20% SDS-PAGE gel.

Proteins were transferred to a PVDF membrane and blocked with 5% NFDM/TBST for 1 hour at room temperature. The primary antibody (NBP3-32020) at 1/1,000 dilution was used in 5% NFDM/TBST at room temperature for 2 hours. Goat Anti-Rabbit IgG - HRP Secondary Antibody at 1:100,000 dilution was used for 1 hour at room temperature.
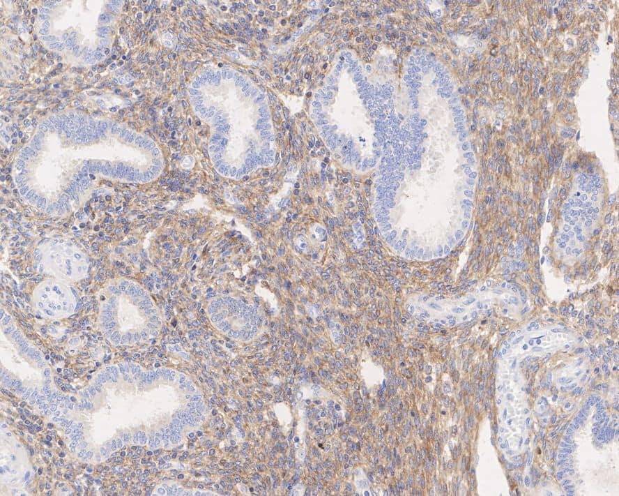
ALDH1A2 Antibody (JE41-38)

Immunohistochemistry: ALDH1A2 Antibody (JE41-38) [NBP3-32020]

Immunohistochemistry: ALDH1A2 Antibody (JE41-38) [NBP3-32020] - Immunohistochemical analysis of paraffin-embedded human endometrium tissue with Rabbit anti-ALDH1A2 antibody (NBP3-32020) at 1/1,000 dilution.

The section was pre-treated using heat mediated antigen retrieval with Tris-EDTA buffer (pH 9.0) for 20 minutes. The tissues were blocked in 1% BSA for 20 minutes at room temperature, washed with ddH2O and PBS, and then probed with the primary antibody (NBP3-32020) at 1/1,000 dilution for 1 hour at room temperature. The detection was performed using an HRP conjugated compact polymer system. DAB was used as the chromogen. Tissues were counterstained with hematoxylin and mounted with DPX.

Applications for ALDH1A2 Antibody (JE41-38)

Application
Recommended Usage

Immunohistochemistry-Paraffin

1:200-1:1000

Western Blot

1:1000

Formulation, Preparation, and Storage

Purification

Protein A purified

Formulation

1*TBS (pH7.4), 0.05% BSA and 40% Glycerol

Preservative

0.05% Sodium Azide

Concentration

1 mg/ml

Shipping

The product is shipped with polar packs. Upon receipt, store it immediately at the temperature recommended below.

Stability & Storage

Store at 4C short term. Aliquot and store at -20C long term. Avoid freeze-thaw cycles.

Background: ALDH1A2

ALDH1A2 belongs to the aldehyde dehydrogenase family of proteins. The product of this gene is an enzyme that catalyzes the synthesis of retinoic acid (RA) from retinaldehyde. Retinoic acid, the active derivative of vitamin A (retinol), is a hormonal signaling molecule that functions in developing and adult tissues. The studies of a similar mouse gene suggest that this enzyme and the cytochrome CYP26A1, concurrently establish local embryonic retinoic acid levels which facilitate posterior organ development and prevent spina bifida. Three transcript variants encoding distinct isoforms have been identified for this gene. [provided by RefSeq]

Long Name

Aldehyde Dehydrogenase 1 Family, Member A2

Alternate Names

ALDH 1A2, RALDH, RALDH2

Gene Symbol

ALDH1A2

Additional ALDH1A2 Products

Product Documents for ALDH1A2 Antibody (JE41-38)

Certificate of Analysis

To download a Certificate of Analysis, please enter a lot number in the search box below.

Product Specific Notices for ALDH1A2 Antibody (JE41-38)

This product is for research use only and is not approved for use in humans or in clinical diagnosis. Primary Antibodies are guaranteed for 1 year from date of receipt.

Loading...
Loading...
Loading...
Loading...