Skip to main content

Alanyl tRNA synthetase Antibody - BSA Free

Novus Biologicals, part of Bio-Techne | Catalog # NBP3-35492

Novus Biologicals, part of Bio-Techne
Catalog #
Availability
Size / Price
Qty
Loading...
NBP3-35492-100ul
NBP3-35492-20ul

Key Product Details

Species Reactivity

Human, Mouse, Rat

Applications

Immunohistochemistry, Immunohistochemistry-Paraffin, Western Blot, ELISA, Immunocytochemistry/ Immunofluorescence

Label

Unconjugated

Antibody Source

Polyclonal Rabbit IgG

Format

BSA Free

Concentration

Please see the vial label for concentration. If unlisted please contact technical services.

Product Specifications

Immunogen

A synthetic peptide corresponding to a sequence within amino acids 1-100 of human Alanyl tRNA synthetase (NP_001596.2).

Sequence:
MDSTLTASEIRQRFIDFFKRNEHTYVHSSATIPLDDPTLLFANAGMNQFKPIFLNTIDPSHPMAKLSRAANTQKCIRAGGKHNDLDDVGKDVYHHTFFEM

Clonality

Polyclonal

Host

Rabbit

Isotype

IgG

Theoretical MW

107 kDa.
Disclaimer note: The observed molecular weight of the protein may vary from the listed predicted molecular weight due to post translational modifications, post translation cleavages, relative charges, and other experimental factors.

Description

Novus Biologicals Rabbit Alanyl tRNA synthetase Antibody - BSA Free (NBP3-35492) is a polyclonal antibody validated for use in IHC, WB, ELISA and ICC/IF. All Novus Biologicals antibodies are covered by our 100% guarantee.

Scientific Data Images for Alanyl tRNA synthetase Antibody - BSA Free

Alanyl tRNA synthetase Antibody

Immunohistochemistry: Alanyl tRNA synthetase Antibody [NBP3-35492] -

Immunohistochemistry: Alanyl tRNA synthetase Antibody [NBP3-35492] - Immunohistochemistry analysis of paraffin-embedded Rat spleen using Alanyl tRNA synthetase Rabbit pAb at dilution of 1:100 (40x lens). Microwave antigen retrieval performed with 0.01M PBS Buffer (pH 7.2) prior to IHC staining.
Alanyl tRNA synthetase Antibody

Immunohistochemistry: Alanyl tRNA synthetase Antibody [NBP3-35492] -

Immunohistochemistry: Alanyl tRNA synthetase Antibody [NBP3-35492] - Immunohistochemistry analysis of paraffin-embedded Mouse liver using Alanyl tRNA synthetase Rabbit pAb at dilution of 1:100 (40x lens). Microwave antigen retrieval performed with 0.01M PBS Buffer (pH 7.2) prior to IHC staining.
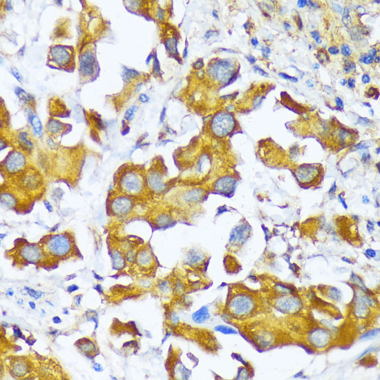
Alanyl tRNA synthetase Antibody

Immunohistochemistry: Alanyl tRNA synthetase Antibody [NBP3-35492] -

Immunohistochemistry: Alanyl tRNA synthetase Antibody [NBP3-35492] - Immunohistochemistry analysis of paraffin-embedded Human lung cancer using Alanyl tRNA synthetase Rabbit pAb at dilution of 1:100 (40x lens). Microwave antigen retrieval performed with 0.01M PBS Buffer (pH 7.2) prior to IHC staining.

Applications for Alanyl tRNA synthetase Antibody - BSA Free

Application
Recommended Usage

Immunocytochemistry/ Immunofluorescence

1:50 - 1:200

Immunohistochemistry-Paraffin

1:50 - 1:200

Western Blot

1:500 - 1:2000

Formulation, Preparation, and Storage

Purification

Affinity purified

Formulation

PBS (pH 7.3), 50% glycerol

Format

BSA Free

Preservative

0.01% Thimerosal

Concentration

Please see the vial label for concentration. If unlisted please contact technical services.

Shipping

The product is shipped with polar packs. Upon receipt, store it immediately at the temperature recommended below.

Stability & Storage

Store at -20C. Avoid freeze-thaw cycles.

Background: Alanyl tRNA synthetase

The human alanyl-tRNA synthetase (AARS) belongs to a family of tRNA synthases, of the class II enzymes. Class II tRNA synthases evolved early in evolution and are highly conserved. This is reflected by the fact that 498 of the 968-residue polypeptide human AARS shares 41% identity witht the E.coli protein. tRNA synthases are the enzymes that interpret the RNA code and attach specific aminoacids to the tRNAs that contain the cognate trinucleotide anticodons. They consist of a catalytic domain which interacts with the amino acid acceptor-T psi C helix of the tRNA, and a second domain which interacts with the rest of the tRNA structure. [provided by RefSeq]

Alternate Names

alanine tRNA ligase 1, cytoplasmic, Alanine--tRNA ligase, alanyl-tRNA synthetase, alanyl-tRNA synthetase, cytoplasmic, alaRS, CMT2N, EC 6.1.1, EC 6.1.1.7, Renal carcinoma antigen NY-REN-42

Gene Symbol

AARS

Additional Alanyl tRNA synthetase Products

Product Documents for Alanyl tRNA synthetase Antibody - BSA Free

Certificate of Analysis

To download a Certificate of Analysis, please enter a lot number in the search box below.

Product Specific Notices for Alanyl tRNA synthetase Antibody - BSA Free

This product is for research use only and is not approved for use in humans or in clinical diagnosis. Primary Antibodies are guaranteed for 1 year from date of receipt.

Loading...
Loading...
Loading...
Loading...