Alanyl tRNA synthetase Antibody - BSA Free
Novus Biologicals, part of Bio-Techne | Catalog # NBP2-15332
Key Product Details
Species Reactivity
Validated:
Human
Predicted:
Xenopus (90%). Backed by our 100% Guarantee.
Applications
Immunohistochemistry, Immunohistochemistry-Paraffin, Western Blot
Label
Unconjugated
Antibody Source
Polyclonal Rabbit IgG
Format
BSA Free
Concentration
Concentrations vary lot to lot. See vial label for concentration. If unlisted please contact technical services.
Product Specifications
Immunogen
Recombinant protein encompassing a sequence within the N-terminus region of human Alanyl tRNA synthetase. The exact sequence is proprietary.
Localization
Cytoplasm
Clonality
Polyclonal
Host
Rabbit
Isotype
IgG
Theoretical MW
107 kDa.
Disclaimer note: The observed molecular weight of the protein may vary from the listed predicted molecular weight due to post translational modifications, post translation cleavages, relative charges, and other experimental factors.
Disclaimer note: The observed molecular weight of the protein may vary from the listed predicted molecular weight due to post translational modifications, post translation cleavages, relative charges, and other experimental factors.
Description
Novus Biologicals Rabbit Alanyl tRNA synthetase Antibody - BSA Free (NBP2-15332) is a polyclonal antibody validated for use in IHC and WB. All Novus Biologicals antibodies are covered by our 100% guarantee.
Scientific Data Images for Alanyl tRNA synthetase Antibody - BSA Free
Western Blot: Alanyl tRNA synthetase Antibody [NBP2-15332]
Western Blot: Alanyl tRNA synthetase Antibody [NBP2-15332] - Sample (30 ug of whole cell lysate) A: 293T B: A431 C: HepG2 7. 5% SDS PAGE; antibody diluted at 1:1000.Immunohistochemistry-Paraffin: Alanyl tRNA synthetase Antibody [NBP2-15332]
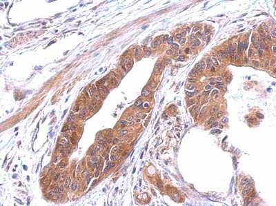
Immunohistochemistry-Paraffin: Alanyl tRNA synthetase Antibody [NBP2-15332] - Paraffin-embedded Hepatoma, using antibody at 1:500 dilution.Applications for Alanyl tRNA synthetase Antibody - BSA Free
Application
Recommended Usage
Immunohistochemistry
10 - 1:500
Immunohistochemistry-Paraffin
1:100-1:1000
Western Blot
1:500-1:3000
Formulation, Preparation, and Storage
Purification
Antigen Affinity-purified
Formulation
PBS, 20% Glycerol
Format
BSA Free
Preservative
0.01% Thimerosal
Concentration
Concentrations vary lot to lot. See vial label for concentration. If unlisted please contact technical services.
Shipping
The product is shipped with polar packs. Upon receipt, store it immediately at the temperature recommended below.
Stability & Storage
Aliquot and store at -20C or -80C. Avoid freeze-thaw cycles.
Background: Alanyl tRNA synthetase
Alternate Names
alanine tRNA ligase 1, cytoplasmic, Alanine--tRNA ligase, alanyl-tRNA synthetase, alanyl-tRNA synthetase, cytoplasmic, alaRS, CMT2N, EC 6.1.1, EC 6.1.1.7, Renal carcinoma antigen NY-REN-42
Gene Symbol
AARS1
UniProt
Additional Alanyl tRNA synthetase Products
Product Documents for Alanyl tRNA synthetase Antibody - BSA Free
Product Specific Notices for Alanyl tRNA synthetase Antibody - BSA Free
This product is for research use only and is not approved for use in humans or in clinical diagnosis. Primary Antibodies are guaranteed for 1 year from date of receipt.
Loading...
Loading...
Loading...
Loading...
⚠ WARNING: This product can expose you to chemicals including mercury, which is known to the State of California to cause reproductive toxicity with developmental effects. For more information go to www.P65Warnings.ca.gov.