Skip to main content

AKT Antibody (HL2915)

Novus Biologicals, part of Bio-Techne | Catalog # NBP3-48751

Recombinant Monoclonal Antibody
Novus Biologicals, part of Bio-Techne
Catalog #
Availability
Size / Price
Qty
Loading...
NBP3-48751

Key Product Details

Species Reactivity

Human, Mouse, Rat

Applications

Immunohistochemistry, Immunohistochemistry-Paraffin, Western Blot, Immunocytochemistry/ Immunofluorescence

Label

Unconjugated

Antibody Source

Recombinant Monoclonal Rabbit IgG Clone # HL2915

Concentration

Concentrations vary lot to lot. See vial label for concentration. If unlisted please contact technical services.

Product Specifications

Immunogen

Recombinant fragment of human Akt Pan.

Clonality

Monoclonal

Host

Rabbit

Isotype

IgG

Description

Novus Biologicals Rabbit AKT Antibody (HL2915) (NBP3-48751) is a recombinant monoclonal antibody validated for use in IHC, WB and ICC/IF. All Novus Biologicals antibodies are covered by our 100% guarantee.

Scientific Data Images for AKT Antibody (HL2915)

AKT Antibody (HL2915)

Western Blot: AKT Antibody (HL2915) [NBP3-48751] -

Whole cell extract (30 ug) was separated by 10% SDS-PAGE, and the membrane was blotted with AKT antibody [HL2915] (NBP3-48751) diluted at 1:1000. The HRP-conjugated anti-rabbit IgG antibody was used to detect the primary antibody.
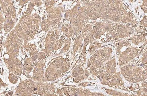
AKT Antibody (HL2915)

Immunohistochemistry-Paraffin: AKT Antibody (HL2915) [NBP3-48751] -

AKT antibody [HL2915] detects AKT protein by immunohistochemical analysis.
Sample: Paraffin-embedded rat esophagus.
AKT stained by AKT antibody [HL2915] (NBP3-48751) diluted at 1:100.
Antigen Retrieval: Citrate buffer, pH 6.0, 15 min
AKT Antibody (HL2915)

Western Blot: AKT Antibody (HL2915) [NBP3-48751] -

Non-transfected (-) and transfected (+) 293T whole cell extracts were separated by 10% SDS-PAGE, and the membrane was blotted with AKT antibody [HL2915] (NBP3-48751) diluted at 1:5000. The HRP-conjugated anti-rabbit IgG antibody was used to detect the primary antibody.

Applications for AKT Antibody (HL2915)

Application
Recommended Usage

Western Blot

1:500-1:10000

Formulation, Preparation, and Storage

Purification

Protein A purified

Formulation

PBS

Preservative

No Preservative

Concentration

Concentrations vary lot to lot. See vial label for concentration. If unlisted please contact technical services.

Shipping

The product is shipped with polar packs. Upon receipt, store it immediately at the temperature recommended below.

Stability & Storage

Store at 4C short term. Aliquot and store at -20C long term. Avoid freeze-thaw cycles.

Background: Akt

AKT (also known as protein kinase B (PKB) and RAC (related to A and C kinases)) is a critical intracellular serine/threonine kinase that translates signals from extracellular stimuli including growth factors, cytokines and neurotransmitters1. AKT signaling plays critical roles in cell growth, proliferation, survival and differentiation1. It is also involved in organogenesis, angiogenesis and metabolism. Three mammalian AKT isoforms have been identified. The AKT pathway can be activated by any of the three members who share a high level of protein homology but are independently encoded by AKT1 (PKB alpha; 14q32.32), AKT2 (PKB beta; 19q13.2), or AKT3 (PKB gamma; 1q44)1,2. Each AKT family member contains an N-terminal pleckstrin homology (PH) domain, a central kinase domain, and a C-terminal regulatory domain. AKT mediates many of the downstream events of phosphatidylinositol 3-kinase (PI3-K), a lipid kinase activated by growth factors, cytokines and insulin. PI3-K recruits AKT to the membrane, where it is activated by PDK1 phosphorylation. AKT has two main phosphorylation sites (Ser473 and Thr308, predicted molecular weight 56kD)3,4. Once phosphorylated, AKT dissociates from the membrane and phosphorylates targets in the cytoplasm and the cell nucleus including mammalian target of rapamycin (mTOR).

The main function of AKT is to control inhibition of apoptosis and promote cell proliferation. Survival factors can activate AKT Ser473 and Thr308 phosphorylation sites in a transcription-independent manner, resulting in the inactivation of apoptotic signaling transduction through the tumor suppressor PTEN, an antagonist to PI3-K5. PTEN exerts enzymatic activity as a phosphatidylinositol-3,4,5-trisphosphate (PIP3) phosphatase, opposing PI3K activity by increasing availability of PIP3 to proliferating cells, leading to overexpression and inappropriate activation of AKT noted in many types of cancer.

AKT1 function has been linked to overall physiological growth and function2. AKT1 has been correlated with proteus syndrome, a rare disorder characterized by overgrowth of various tissues caused by a mosaic variant in the AKT1 gene in humans.AKT2 is strongly correlated with Type II diabetes, including phenotypes of insulin resistance, hyperglycemia and atherosclerosis2,6.

The function of AKT3 is specifically associated to brain development, where disruptions to AKT3 are correlated with microcephaly, hemimegalencephaly, megalencephaly and intellectual disabilities2.

References

1. Ersahin, T., Tuncbag, N., & Cetin-Atalay, R. (2015). The PI3K/AKT/mTOR interactive pathway. Mol Biosyst, 11(7), 1946-1954. doi:10.1039/c5mb00101c

2. Cohen, M. M., Jr. (2013). The AKT genes and their roles in various disorders. Am J Med Genet A, 161a(12), 2931-2937. doi:10.1002/ajmg.a.36101

3. Georgescu, M. M. (2010). PTEN Tumor Suppressor Network in PI3K-Akt Pathway Control. Genes Cancer, 1(12), 1170-1177. doi:10.1177/1947601911407325

4. Mishra, P., Paital, B., Jena, S., Swain, S. S., Kumar, S., Yadav, M. K., . . . Samanta, L. (2019). Possible activation of NRF2 by Vitamin E/Curcumin against altered thyroid hormone induced oxidative stress via NFkB/AKT/mTOR/KEAP1 signalling in rat heart. Sci Rep, 9(1), 7408. doi:10.1038/s41598-019-43320-5

5. Wedel, S., Hudak, L., Seibel, J. M., Juengel, E., Oppermann, E., Haferkamp, A., & Blaheta, R. A. (2011). Critical analysis of simultaneous blockage of histone deacetylase and multiple receptor tyrosine kinase in the treatment of prostate cancer. Prostate, 71(7), 722-735. doi:10.1002/pros.21288

6. Rotllan, N., Chamorro-Jorganes, A., Araldi, E., Wanschel, A. C., Aryal, B., Aranda, J. F., . . . Fernandez-Hernando, C. (2015). Hematopoietic Akt2 deficiency attenuates the progression of atherosclerosis. Faseb j, 29(2), 597-610. doi:10.1096/fj.14-262097

Long Name

v-Akt Murine Thymoma Viral Oncogene Homolog

Alternate Names

PKB, RAC

Gene Symbol

AKT1

Additional Akt Products

Product Documents for AKT Antibody (HL2915)

Certificate of Analysis

To download a Certificate of Analysis, please enter a lot number in the search box below.

Product Specific Notices for AKT Antibody (HL2915)

This product is for research use only and is not approved for use in humans or in clinical diagnosis. Primary Antibodies are guaranteed for 1 year from date of receipt.

Loading...
Loading...
Loading...
Loading...