Skip to main content

AKR1CL2 Antibody - BSA Free

Novus Biologicals, part of Bio-Techne | Catalog # NBP1-90195

Novus Biologicals, part of Bio-Techne
Catalog #
Availability
Size / Price
Qty
Loading...
NBP1-90195
NBP1-90195-25ul

Key Product Details

Validated by

Orthogonal Validation

Species Reactivity

Human

Applications

Immunohistochemistry, Immunohistochemistry-Paraffin, Western Blot

Label

Unconjugated

Antibody Source

Polyclonal Rabbit IgG

Format

BSA Free

Concentration

Concentrations vary lot to lot. See vial label for concentration. If unlisted please contact technical services.

Product Specifications

Immunogen

This antibody was developed against Recombinant Protein corresponding to amino acids: MGFKPPHPEWIMSCSELSFCLSHPRVQDLPLDESNMVIPSDTDFLDTWEAMEDLVITGLVKNIG

Clonality

Polyclonal

Host

Rabbit

Isotype

IgG

Description

Novus Biologicals Rabbit AKR1CL2 Antibody - BSA Free (NBP1-90195) is a polyclonal antibody validated for use in IHC and WB. All Novus Biologicals antibodies are covered by our 100% guarantee.

Scientific Data Images for AKR1CL2 Antibody - BSA Free

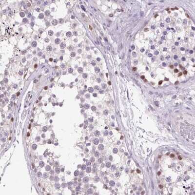
AKR1CL2 Antibody - BSA Free Immunohistochemistry: AKR1CL2 Antibody - BSA Free [NBP1-90195]

Immunohistochemistry: AKR1CL2 Antibody - BSA Free [NBP1-90195]

Analysis in human testis and liver tissues using Anti-AKR1E2 antibody. Corresponding AKR1E2 RNA-seq data are presented for the same tissues.
Immunohistochemistry-Paraffin: AKR1CL2 Antibody [NBP1-90195]

Immunohistochemistry-Paraffin: AKR1CL2 Antibody [NBP1-90195]

Immunohistochemistry-Paraffin: AKR1CL2 Antibody [NBP1-90195] - Staining of human testis shows high expression.
Immunohistochemistry-Paraffin: AKR1CL2 Antibody [NBP1-90195]

Immunohistochemistry-Paraffin: AKR1CL2 Antibody [NBP1-90195]

Immunohistochemistry-Paraffin: AKR1CL2 Antibody [NBP1-90195] - Staining of human liver shows low expression as expected.

Applications for AKR1CL2 Antibody - BSA Free

Application
Recommended Usage

Immunohistochemistry

1:1000 - 1:2500

Immunohistochemistry-Paraffin

1:1000 - 1:2500

Western Blot

0.04-0.4 ug/ml
Application Notes
For IHC-Paraffin, HIER pH 6 retrieval is recommended. Immunocytochemistry/Immunofluorescence Fixation Permeabilization: Use PFA/Triton X-100.

Formulation, Preparation, and Storage

Purification

Immunogen affinity purified

Formulation

PBS (pH 7.2) and 40% Glycerol

Format

BSA Free

Preservative

0.02% Sodium Azide

Concentration

Concentrations vary lot to lot. See vial label for concentration. If unlisted please contact technical services.

Shipping

The product is shipped with polar packs. Upon receipt, store it immediately at the temperature recommended below.

Stability & Storage

Store at 4C short term. Aliquot and store at -20C long term. Avoid freeze-thaw cycles.

Background: AKR1CL2

AKR1CL2 catalyzes the oxidation of hydrogen sulfide, with the help of a quinone

Alternate Names

AF reductase, AKR1CL2, AKRDC1, Aldo-keto reductase family 1 member C-like protein 21,5-anhydro-D-fructose reductase, Aldo-keto reductase family 1 member E2, aldo-keto reductase family 1, member C-like 2, aldo-keto reductase family 1, member E2, aldo-keto reductase loopADR, aldo-keto reductase related protein, EC 1.1.1, EC 1.1.1.263, hTSP, LoopADR, MGC10612, Testis-specific protein

Entrez Gene IDs

83592 (Human)

Gene Symbol

AKR1E2

UniProt

Additional AKR1CL2 Products

Product Documents for AKR1CL2 Antibody - BSA Free

Certificate of Analysis

To download a Certificate of Analysis, please enter a lot number in the search box below.

Product Specific Notices for AKR1CL2 Antibody - BSA Free

This product is for research use only and is not approved for use in humans or in clinical diagnosis. Primary Antibodies are guaranteed for 1 year from date of receipt.

Loading...
Loading...
Loading...
Loading...