Skip to main content

AKAP4 Antibody - BSA Free

Novus Biologicals, part of Bio-Techne | Catalog # NBP1-89164

Novus Biologicals, part of Bio-Techne
Catalog #
Availability
Size / Price
Qty
Loading...
NBP1-89164
NBP1-89164-25ul

Key Product Details

Validated by

Orthogonal Validation, Independent Antibodies

Species Reactivity

Human

Applications

Immunohistochemistry, Immunohistochemistry-Paraffin

Label

Unconjugated

Antibody Source

Polyclonal Rabbit IgG

Format

BSA Free

Concentration

Concentrations vary lot to lot. See vial label for concentration. If unlisted please contact technical services.

Product Specifications

Immunogen

This antibody was developed against Recombinant Protein corresponding to amino acids: EIIVIKDTEKKDQSKTEGSVCLFKQAPSDPVSVLNWLLSDLQKYALGFQHALSPSTSTCKHKVGDTEGEYHRASSENCYSVYADQVNIDYLMNRPQNLRLEMTAAKNTNNNQSPSAPPAKPPSTQRAVISPDGECSIDD

Reactivity Notes

Immunogen displays the following percentage of sequence identity for non-tested species: Mouse (81%), Rat (82%)

Clonality

Polyclonal

Host

Rabbit

Isotype

IgG

Description

Novus Biologicals Rabbit AKAP4 Antibody - BSA Free (NBP1-89164) is a polyclonal antibody validated for use in IHC. All Novus Biologicals antibodies are covered by our 100% guarantee.

Scientific Data Images for AKAP4 Antibody - BSA Free

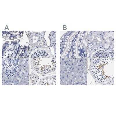
Immunohistochemistry-Paraffin: AKAP4 Antibody [NBP1-89164]

Immunohistochemistry-Paraffin: AKAP4 Antibody [NBP1-89164]

Immunohistochemistry-Paraffin: AKAP4 Antibody [NBP1-89164] - Staining of human colon.
Immunohistochemistry-Paraffin: AKAP4 Antibody [NBP1-89164]

Immunohistochemistry-Paraffin: AKAP4 Antibody [NBP1-89164]

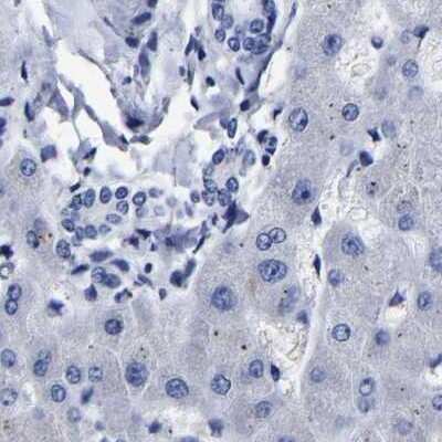
Immunohistochemistry-Paraffin: AKAP4 Antibody [NBP1-89164] - Staining of human endometrium shows low expression as expected.
Immunohistochemistry-Paraffin: AKAP4 Antibody [NBP1-89164]

Immunohistochemistry-Paraffin: AKAP4 Antibody [NBP1-89164]

Immunohistochemistry-Paraffin: AKAP4 Antibody [NBP1-89164] - Staining of human testis shows high expression.

Applications for AKAP4 Antibody - BSA Free

Application
Recommended Usage

Immunohistochemistry

1:500 - 1:1000

Immunohistochemistry-Paraffin

1:500 - 1:1000
Application Notes
For IHC-Paraffin, HIER pH 6 retrieval is recommended.

Formulation, Preparation, and Storage

Purification

Affinity purified

Formulation

PBS (pH 7.2) and 40% Glycerol

Format

BSA Free

Preservative

0.02% Sodium Azide

Concentration

Concentrations vary lot to lot. See vial label for concentration. If unlisted please contact technical services.

Shipping

The product is shipped with polar packs. Upon receipt, store it immediately at the temperature recommended below.

Stability & Storage

Store at 4C short term. Aliquot and store at -20C long term. Avoid freeze-thaw cycles.

Background: AKAP4

The A-kinase anchor proteins (AKAPs) are a group of structurally diverse proteins, which have the common function of binding to the regulatory subunit of protein kinase A (PKA) and confining the holoenzyme to discrete locations within the cell. This gene encodes a member of the AKAP family. The encoded protein is localized to the sperm flagellum and may be involved in the regulation of sperm motility. Alternative splicing of this gene results in two transcript variants encoding different isoforms.

Alternate Names

A kinase (PRKA) anchor protein 4, AKAP-4, AKAP82AKAP 82, A-kinase anchor protein 4, A-kinase anchor protein 82 kDa, cancer/testis antigen 99, CT99, hAKAP82Fsc1, HIFSC1, Major sperm fibrous sheath protein, p82, PRKA4, protein kinase A anchoring protein 4, Protein kinase A-anchoring protein 4, testis-specific gene HI

Entrez Gene IDs

8852 (Human)

Gene Symbol

AKAP4

UniProt

Additional AKAP4 Products

Product Documents for AKAP4 Antibody - BSA Free

Certificate of Analysis

To download a Certificate of Analysis, please enter a lot number in the search box below.

Product Specific Notices for AKAP4 Antibody - BSA Free

This product is for research use only and is not approved for use in humans or in clinical diagnosis. Primary Antibodies are guaranteed for 1 year from date of receipt.

Loading...
Loading...
Loading...
Loading...