Skip to main content

AKAP10 Antibody - BSA Free

Novus Biologicals, part of Bio-Techne | Catalog # NBP1-31483

Novus Biologicals, part of Bio-Techne
Catalog #
Availability
Size / Price
Qty
Loading...
NBP1-31483

Key Product Details

Species Reactivity

Human, Mouse, Rat

Applications

Immunohistochemistry, Immunohistochemistry-Paraffin, Immunocytochemistry/ Immunofluorescence

Label

Unconjugated

Antibody Source

Polyclonal Rabbit IgG

Format

BSA Free

Concentration

Concentrations vary lot to lot. See vial label for concentration. If unlisted please contact technical services.

Product Specifications

Immunogen

Carrier-protein conjugated synthetic peptide encompassing a sequence within the C-terminus region of human AKAP10. The exact sequence is proprietary.

Localization

Mitochondrion, Membrane, Cytoplasm

Clonality

Polyclonal

Host

Rabbit

Isotype

IgG

Theoretical MW

74 kDa.
Disclaimer note: The observed molecular weight of the protein may vary from the listed predicted molecular weight due to post translational modifications, post translation cleavages, relative charges, and other experimental factors.

Description

Novus Biologicals Rabbit AKAP10 Antibody - BSA Free (NBP1-31483) is a polyclonal antibody validated for use in IHC and ICC/IF. All Novus Biologicals antibodies are covered by our 100% guarantee.

Scientific Data Images for AKAP10 Antibody - BSA Free

Immunocytochemistry/ Immunofluorescence: AKAP10 Antibody [NBP1-31483]

Immunocytochemistry/ Immunofluorescence: AKAP10 Antibody [NBP1-31483]

Immunocytochemistry/Immunofluorescence: AKAP10 Antibody [NBP1-31483] - Analysis of methanol-fixed HeLa, using antibody at 1:500 dilution.
Immunohistochemistry-Paraffin: AKAP10 Antibody [NBP1-31483]

Immunohistochemistry-Paraffin: AKAP10 Antibody [NBP1-31483]

Immunohistochemistry-Paraffin: AKAP10 Antibody [NBP1-31483] - Mouse brain. AKAP10 antibody [C3], C-term diluted at 1:100. Antigen Retrieval: Citrate buffer, pH 6.0, 15 min.
Immunohistochemistry-Paraffin: AKAP10 Antibody [NBP1-31483]

Immunohistochemistry-Paraffin: AKAP10 Antibody [NBP1-31483]

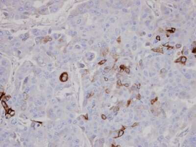
Immunohistochemistry-Paraffin: AKAP10 Antibody [NBP1-31483] - Human gastric cancer, using AKAP10 antibody at 1:100 dilution.Antigen Retrieval: Trilogy™ (EDTA based, pH 8.0) buffer, 15min.

Applications for AKAP10 Antibody - BSA Free

Application
Recommended Usage

Immunocytochemistry/ Immunofluorescence

1:100-1:1000

Immunohistochemistry

1:100-1:1000

Immunohistochemistry-Paraffin

1:100-1:1000

Formulation, Preparation, and Storage

Purification

Antigen Affinity-purified

Formulation

0.1M Tris, 0.1M Glycine, 10% Glycerol

Format

BSA Free

Preservative

0.01% Thimerosal

Concentration

Concentrations vary lot to lot. See vial label for concentration. If unlisted please contact technical services.

Shipping

The product is shipped with polar packs. Upon receipt, store it immediately at the temperature recommended below.

Stability & Storage

Aliquot and store at -20C or -80C. Avoid freeze-thaw cycles.

Background: AKAP10

The A-kinase anchor proteins (AKAPs) are a group of structurally diverse proteins, which have the common function of binding to the regulatory subunit of protein kinase A (PKA) and confining the holoenzyme to discrete locations within the cell. This gene encodes a member of the AKAP family. The encoded protein interacts with both the type I and type II regulatory subunits of PKA; therefore, it is a dual-specific AKAP. This protein is highly enriched in mitochondria. It contains RGS (regulator of G protein signalling) domains, in addition to a PKA-RII subunit-binding domain. The mitochondrial localization and the presence of RGS domains may have important implications for the function of this protein in PKA and G protein signal transduction.

Alternate Names

A kinase (PRKA) anchor protein 10, AKAP-10, A-kinase anchor protein 10, mitochondrial, D-AKAP2, D-AKAP-2, Dual specificity A kinase-anchoring protein 2, dual-specificity A-kinase anchoring protein 2, MGC9414, mitochondrial A kinase PPKA anchor protein 10, PRKA10a kinase anchor protein 10, mitochondrial, protein kinase A anchoring protein 10, Protein kinase A-anchoring protein 10

Gene Symbol

AKAP10

Additional AKAP10 Products

Product Documents for AKAP10 Antibody - BSA Free

Certificate of Analysis

To download a Certificate of Analysis, please enter a lot number in the search box below.

Product Specific Notices for AKAP10 Antibody - BSA Free

This product is for research use only and is not approved for use in humans or in clinical diagnosis. Primary Antibodies are guaranteed for 1 year from date of receipt.

Loading...
Loading...
Loading...
Loading...

⚠ WARNING: This product can expose you to chemicals including mercury, which is known to the State of California to cause reproductive toxicity with developmental effects.  For more information go to www.P65Warnings.ca.gov.