Skip to main content

AK7 Antibody - BSA Free

Novus Biologicals, part of Bio-Techne | Catalog # NBP1-83515

Novus Biologicals, part of Bio-Techne
Catalog #
Availability
Size / Price
Qty
Loading...
NBP1-83515
NBP1-83515-25ul

Key Product Details

Species Reactivity

Validated:

Human

Predicted:

Rat (92%). Backed by our 100% Guarantee.

Applications

Immunohistochemistry, Immunohistochemistry-Paraffin

Label

Unconjugated

Antibody Source

Polyclonal Rabbit IgG

Format

BSA Free

Concentration

Concentrations vary lot to lot. See vial label for concentration. If unlisted please contact technical services.

Product Specifications

Immunogen

This antibody was developed against Recombinant Protein corresponding to amino acids: QAKDLFNQEDEEEEDDVRGRMFPFDKLIIPEFVCALDASDEFLKERVINLPESIVAGTHYSQDRFLRALSNYRDINIDDETVFNYFDELEIHPIHIDVGKLEDAQNRLAIKQLIKEIGEPRNYGLTDEEKAEEE

Reactivity Notes

Mouse (89%).

Clonality

Polyclonal

Host

Rabbit

Isotype

IgG

Theoretical MW

83 kDa.
Disclaimer note: The observed molecular weight of the protein may vary from the listed predicted molecular weight due to post translational modifications, post translation cleavages, relative charges, and other experimental factors.

Description

Novus Biologicals Rabbit AK7 Antibody - BSA Free (NBP1-83515) is a polyclonal antibody validated for use in IHC. All Novus Biologicals antibodies are covered by our 100% guarantee.

Scientific Data Images for AK7 Antibody - BSA Free

AK7 Antibody - BSA Free Immunohistochemistry-Paraffin: AK7 Antibody - BSA Free [NBP1-83515]

Immunohistochemistry-Paraffin: AK7 Antibody - BSA Free [NBP1-83515]

Staining of human skeletal muscle shows no positivity in myocytes as expected.
AK7 Antibody - BSA Free Immunohistochemistry-Paraffin: AK7 Antibody - BSA Free [NBP1-83515]

Immunohistochemistry-Paraffin: AK7 Antibody - BSA Free [NBP1-83515]

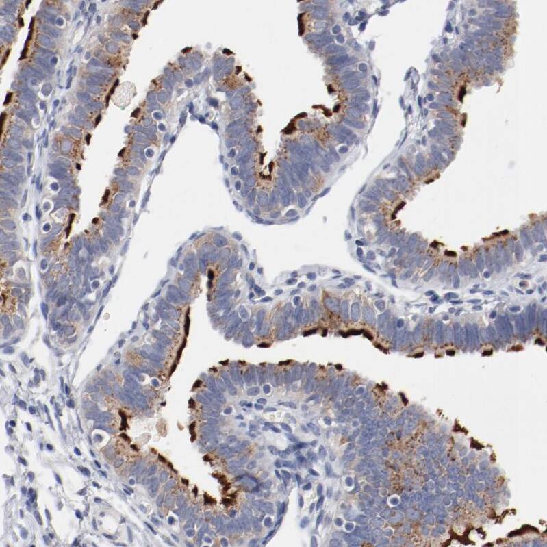
Staining of human bronchus shows strong positivity in cilia.
AK7 Antibody - BSA Free Immunohistochemistry-Paraffin: AK7 Antibody - BSA Free [NBP1-83515]

Immunohistochemistry-Paraffin: AK7 Antibody - BSA Free [NBP1-83515]

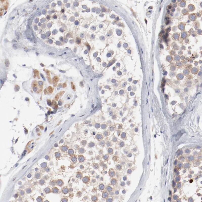
Staining of human testis shows moderate cytoplasmic positivity in cells in seminiferous ducts and Leydig cells.

Applications for AK7 Antibody - BSA Free

Application
Recommended Usage

Immunohistochemistry

1:50 - 1:200

Immunohistochemistry-Paraffin

1:50 - 1:200
Application Notes
For IHC-Paraffin, HIER pH 6 retrieval is recommended.

Formulation, Preparation, and Storage

Purification

Immunogen affinity purified

Formulation

PBS (pH 7.2) and 40% Glycerol

Format

BSA Free

Preservative

0.02% Sodium Azide

Concentration

Concentrations vary lot to lot. See vial label for concentration. If unlisted please contact technical services.

Shipping

The product is shipped with polar packs. Upon receipt, store it immediately at the temperature recommended below.

Stability & Storage

Store at 4C short term. Aliquot and store at -20C long term. Avoid freeze-thaw cycles.

Background: AK7

AK7 play a role in maintaining ciliary structure and function

Long Name

Adenylate kinase 7

Alternate Names

AK 7

Entrez Gene IDs

122481 (Human)

Gene Symbol

AK7

UniProt

Additional AK7 Products

Product Documents for AK7 Antibody - BSA Free

Certificate of Analysis

To download a Certificate of Analysis, please enter a lot number in the search box below.

Product Specific Notices for AK7 Antibody - BSA Free

This product is for research use only and is not approved for use in humans or in clinical diagnosis. Primary Antibodies are guaranteed for 1 year from date of receipt.

Loading...
Loading...
Loading...
Loading...