Skip to main content

AK5 Antibody - BSA Free

Novus Biologicals, part of Bio-Techne | Catalog # NBP3-35549

Novus Biologicals, part of Bio-Techne
Catalog #
Availability
Size / Price
Qty
Loading...
NBP3-35549-100ul
NBP3-35549-20ul

Key Product Details

Species Reactivity

Human, Mouse, Rat

Applications

Immunohistochemistry, Immunohistochemistry-Paraffin, Western Blot, ELISA

Label

Unconjugated

Antibody Source

Polyclonal Rabbit IgG

Format

BSA Free

Concentration

Please see the vial label for concentration. If unlisted please contact technical services.

Product Specifications

Immunogen

Recombinant fusion protein containing a sequence corresponding to amino acids 150-370 of human AK5 (NP_777283.1).

Sequence:
LKIAERYGFQYISVGELLRKKIHSTSSNRKWSLIAKIITTGELAPQETTITEIKQKLMQIPDEEGIVIDGFPRDVAQALSFEDQICTPDLVVFLACANQRLKERLLKRAEQQGRPDDNVKATQRRLMNFKQNAAPLVKYFQEKGLIMTFDADRDEDEVFYDISMAVDNKLFPNKEAAAGSSDLDPSMILDTGEIIDTGSDYEDQGDDQLNVFGEDTMGGFM

Clonality

Polyclonal

Host

Rabbit

Isotype

IgG

Theoretical MW

63 kDa.
Disclaimer note: The observed molecular weight of the protein may vary from the listed predicted molecular weight due to post translational modifications, post translation cleavages, relative charges, and other experimental factors.

Description

Novus Biologicals Rabbit AK5 Antibody - BSA Free (NBP3-35549) is a polyclonal antibody validated for use in IHC, WB and ELISA. All Novus Biologicals antibodies are covered by our 100% guarantee.

Scientific Data Images for AK5 Antibody - BSA Free

AK5 Antibody

Western Blot: AK5 Antibody [NBP3-35549] -

Western Blot: AK5 Antibody [NBP3-35549] - Western blot analysis of various lysates using AK5 Rabbit pAb at 1:1000 dilution.
Secondary antibody: HRP-conjugated Goat anti-Rabbit IgG (H+L) at 1:10000 dilution.
Lysates/proteins: 25ug per lane.
Blocking buffer: 3% nonfat dry milk in TBST.
Detection: ECL Basic Kit.
Exposure time: 10s.
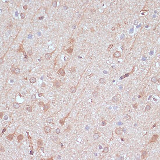
AK5 Antibody

Immunohistochemistry: AK5 Antibody [NBP3-35549] -

Immunohistochemistry: AK5 Antibody [NBP3-35549] - Immunohistochemistry analysis of paraffin-embedded Rat brain using AK5 Rabbit pAb at dilution of 1:100 (40x lens). Microwave antigen retrieval performed with 0.01M PBS Buffer (pH 7.2) prior to IHC staining.

Applications for AK5 Antibody - BSA Free

Application
Recommended Usage

Immunohistochemistry-Paraffin

1:50 - 1:200

Western Blot

1:200 - 1:2000

Formulation, Preparation, and Storage

Purification

Affinity purified

Formulation

PBS (pH 7.3), 50% glycerol

Format

BSA Free

Preservative

0.01% Thimerosal

Concentration

Please see the vial label for concentration. If unlisted please contact technical services.

Shipping

The product is shipped with polar packs. Upon receipt, store it immediately at the temperature recommended below.

Stability & Storage

Store at -20C. Avoid freeze-thaw cycles.

Background: AK5

AK5 encodes a member of the adenylate kinase family, which is involved in regulating the adenine nucleotide composition within a cell by catalyzing the reversible transfer of phosphate groups among adenine nucleotides. This member is related to the UMP/CMP kinase of several species. It is located in the cytosol and expressed exclusively in brain. Alternatively spliced transcript variants encoding distinct isoforms have been identified for this gene.

Long Name

Adenylate kinase isoenzyme 5

Alternate Names

AK 5

Gene Symbol

AK5

Additional AK5 Products

Product Documents for AK5 Antibody - BSA Free

Certificate of Analysis

To download a Certificate of Analysis, please enter a lot number in the search box below.

Product Specific Notices for AK5 Antibody - BSA Free

This product is for research use only and is not approved for use in humans or in clinical diagnosis. Primary Antibodies are guaranteed for 1 year from date of receipt.

Loading...
Loading...
Loading...
Loading...