Skip to main content

AK2 Antibody - Azide and BSA Free

Novus Biologicals, part of Bio-Techne | Catalog # NBP2-99896

Novus Biologicals, part of Bio-Techne

Key Product Details

Species Reactivity

Human

Applications

Immunohistochemistry, Immunohistochemistry-Paraffin, Western Blot, ELISA, Immunoprecipitation

Label

Unconjugated

Antibody Source

Polyclonal Rabbit IgG

Format

Azide and BSA Free

Concentration

Please see the vial label for concentration. If unlisted please contact technical services.

Product Specifications

Immunogen

Produced in rabbits immunized with purified, recombinant Human AK2 (Uniprot#: P54819-1; Met 1-Ile 239).

Clonality

Polyclonal

Host

Rabbit

Isotype

IgG

Description

This antibody can be stored at 2C to 8C for one month without detectable loss of activity. Antibody products are stable for twelve months from date of receipt when stored at -20C to -80C. Avoid repeated freeze-thaw cycles.

Scientific Data Images for AK2 Antibody - Azide and BSA Free

Western Blot: AK2 Antibody [NBP2-99896]

Western Blot: AK2 Antibody [NBP2-99896]

Western Blot: AK2 Antibody [NBP2-99896] - Anti-AK2 rabbit polyclonal antibody at 1:500 dilution. Lane A: Jurkat Whole Cell Lysate. Lysates/proteins at 30 ug per lane. Secondary Goat Anti-Rabbit IgG H&L (Dylight 800) at 1/10000 dilution. Developed using the Odyssey technique. Performed under reducing conditions. Predicted band size: 26 kDa. Observed band size: 33 kDa
Immunohistochemistry-Paraffin: AK2 Antibody [NBP2-99896]

Immunohistochemistry-Paraffin: AK2 Antibody [NBP2-99896]

Immunohistochemistry-Paraffin: AK2 Antibody [NBP2-99896] - Immunochemical staining of human AK2 in human liver with rabbit polyclonal antibody (1:1000, formalin-fixed paraffin embedded sections).
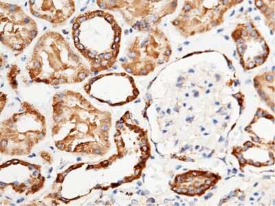
Immunohistochemistry-Paraffin: AK2 Antibody [NBP2-99896]

Immunohistochemistry-Paraffin: AK2 Antibody [NBP2-99896]

Immunohistochemistry-Paraffin: AK2 Antibody [NBP2-99896] - Immunochemical staining of human AK2 in human kidney with rabbit polyclonal antibody (1:1000, formalin-fixed paraffin embedded sections).

Applications for AK2 Antibody - Azide and BSA Free

Application
Recommended Usage

ELISA

1:5000-1:10000

Immunohistochemistry-Paraffin

1:500-1:2000

Immunoprecipitation

1-4 uL/mg of lysate

Western Blot

1:500-1:2000

Formulation, Preparation, and Storage

Purification

Antigen and protein A Affinity-purified

Formulation

0.2 um filtered solution in PBS

Format

Azide and BSA Free

Preservative

No Preservative

Concentration

Please see the vial label for concentration. If unlisted please contact technical services.

Shipping

The product is shipped with polar packs. Upon receipt, store it immediately at the temperature recommended below.

Stability & Storage

Store at 4C short term. Aliquot and store at -20C long term. Avoid freeze-thaw cycles.

Background: AK2

Adenylate kinases are involved in regulating the adenine nucleotide composition within a cell by catalyzing the reversible transfer of phosphate groups among adenine nucleotides. Three isozymes of adenylate kinase, namely 1, 2, and 3, have been identified in vertebrates; this gene encodes isozyme 2. Expression of these isozymes is tissue-specific and developmentally regulated. Isozyme 2 is localized in the mitochondrial intermembrane space and may play a role in apoptosis. Two transcript variants encoding distinct isoforms have been identified for this gene. [provided by RefSeq]

Long Name

Adenylate kinase 2, mitochondrial

Alternate Names

ADK2, AK 2

Gene Symbol

AK2

Additional AK2 Products

Product Documents for AK2 Antibody - Azide and BSA Free

Certificate of Analysis

To download a Certificate of Analysis, please enter a lot number in the search box below.

Product Specific Notices for AK2 Antibody - Azide and BSA Free

This product is for research use only and is not approved for use in humans or in clinical diagnosis. Primary Antibodies are guaranteed for 1 year from date of receipt.

Loading...
Loading...
Loading...
Loading...