Skip to main content

AIPL1 Antibody - BSA Free

Novus Biologicals, part of Bio-Techne | Catalog # NBP1-76956

Novus Biologicals, part of Bio-Techne

Key Product Details

Species Reactivity

Human, Mouse, Rat

Applications

Immunohistochemistry, Immunohistochemistry-Paraffin, Western Blot, ELISA, Immunocytochemistry/ Immunofluorescence

Label

Unconjugated

Antibody Source

Polyclonal Rabbit IgG

Format

BSA Free

Concentration

1 mg/ml

Product Specifications

Immunogen

Antibody was raised against a 18 amino acid synthetic peptide near the center of the human Aipl1. The immunogen is located within amino acids 140 - 190 of Aipl1. Amino Acid Squence: DAPSDYQRETWNLSNHEK

Clonality

Polyclonal

Host

Rabbit

Isotype

IgG

Description

Novus Biologicals Rabbit AIPL1 Antibody - BSA Free (NBP1-76956) is a polyclonal antibody validated for use in IHC, WB, ELISA and ICC/IF. All Novus Biologicals antibodies are covered by our 100% guarantee.

Scientific Data Images for AIPL1 Antibody - BSA Free

Western Blot: AIPL1 AntibodyBSA Free [NBP1-76956]

Western Blot: AIPL1 AntibodyBSA Free [NBP1-76956]

Western Blot: AIPL1 Antibody [NBP1-76956] - Rat brain tissue lysate with Aipl1 antibody at (A) 1 and (B) 2 ug/ml.
AIPL1 Antibody - BSA Free

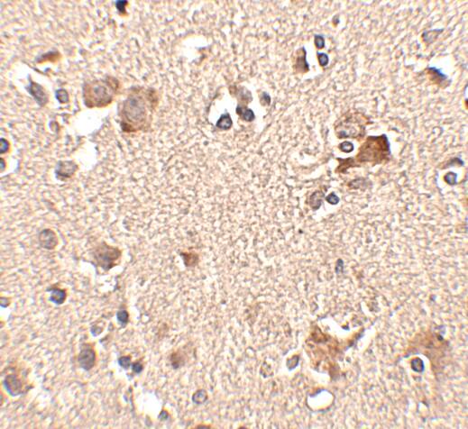
Immunohistochemistry: AIPL1 Antibody - BSA Free [NBP1-76956] -

Immunohistochemistry: AIPL1 Antibody - BSA Free [NBP1-76956] - Immunohistochemistry of AIPL1 in human brain tissue with AIPL1 antibody at 2.5 ug/mL.
AIPL1 Antibody - BSA Free

Immunocytochemistry/ Immunofluorescence: AIPL1 Antibody - BSA Free [NBP1-76956] -

Immunocytochemistry/ Immunofluorescence: AIPL1 Antibody - BSA Free [NBP1-76956] - Immunofluorescence of aipl1 in human brain tissue with aipl1 antibody at 20 ug/mL.

Applications for AIPL1 Antibody - BSA Free

Application
Recommended Usage

ELISA

1:100-1:2000

Immunocytochemistry/ Immunofluorescence

20 ug/ml

Immunohistochemistry

2.5 ug/ml

Immunohistochemistry-Paraffin

2.5 ug/ml

Western Blot

1-2 ug/ml

Formulation, Preparation, and Storage

Purification

Peptide affinity purified

Formulation

PBS

Format

BSA Free

Preservative

0.02% Sodium Azide

Concentration

1 mg/ml

Shipping

The product is shipped with polar packs. Upon receipt, store it immediately at the temperature recommended below.

Stability & Storage

Store at 4C short term. Aliquot and store at -20C long term. Avoid freeze-thaw cycles.

Background: AIPL1

Aipl1 was initially identified as a protein implicated in Leber congenital amaurosis (LCA), an autosomal recessive disorder thought to be caused by the abnormal development of photoreceptors. Aipl1 is a tetratricopeptide repeat protein that is highly homologous to ARA9, a protein involved in the HSP90-mediated nuclear translocation and transactivation of the aryl hydrocarbon receptor. Aipl1 has also been found to function as part of a chaperone heterocomplex, interacting with Hsp90 and Hsp70. Aipl1 also associates with the cell cycle regulator NUB1. It is thought that Aipl1 cooperates with Hsp70 but not Hsp90 to suppress the formation of NUB1 inclusions, and these interactions are necessary in the normal photoreceptor maturation, as mutations that lead to LCA also compromise the interactions with the Hsp chaperones. At least three isoforms of Aipl1 are known to exist.

Alternate Names

AIPL2, aryl hydrocarbon receptor interacting protein-like 1, aryl hydrocarbon receptor-interacting protein-like 1, aryl-hydrocarbon-interacting protein-like 1, LCA4

Gene Symbol

AIPL1

Additional AIPL1 Products

Product Documents for AIPL1 Antibody - BSA Free

Certificate of Analysis

To download a Certificate of Analysis, please enter a lot number in the search box below.

Product Specific Notices for AIPL1 Antibody - BSA Free

This product is for research use only and is not approved for use in humans or in clinical diagnosis. Primary Antibodies are guaranteed for 1 year from date of receipt.

Loading...
Loading...
Loading...
Loading...
Loading...