Skip to main content

AIPL1 Antibody (OTI3B4)

Novus Biologicals, part of Bio-Techne | Catalog # NBP2-01327

Novus Biologicals, part of Bio-Techne
Catalog #
Availability
Size / Price
Qty
Loading...
NBP2-01327

Key Product Details

Species Reactivity

Human, Mouse, Rat

Applications

Flow Cytometry, Immunocytochemistry/ Immunofluorescence, Immunohistochemistry, Immunohistochemistry-Paraffin, Western Blot

Label

Unconjugated

Antibody Source

Monoclonal Mouse IgG1 Clone # OTI3B4

Concentration

1 mg/ml

Product Specifications

Immunogen

Full length human recombinant protein of human AIPL1(NP_055151) produced in HEK293T cell.

Reactivity Notes

Please note that this antibody is reactive to Mouse and derived from the same host, Mouse. Mouse-On-Mouse blocking reagent may be needed for IHC and ICC experiments to reduce high background signal. You can find these reagents under catalog numbers PK-2200-NB and MP-2400-NB. Please contact Technical Support if you have any questions.

Clonality

Monoclonal

Host

Mouse

Isotype

IgG1

Theoretical MW

43.7 kDa.
Disclaimer note: The observed molecular weight of the protein may vary from the listed predicted molecular weight due to post translational modifications, post translation cleavages, relative charges, and other experimental factors.

Description

Novus Biologicals Mouse AIPL1 Antibody (OTI3B4) (NBP2-01327) is a monoclonal antibody validated for use in IHC, WB, Flow and ICC/IF. All Novus Biologicals antibodies are covered by our 100% guarantee.

Scientific Data Images for AIPL1 Antibody (OTI3B4)

Western Blot: AIPL1 Antibody (3B4) [NBP2-01327] Analysis of extracts (35ug) from 9 different cell lines by using anti-AIPL1 monoclonal antibody.
Immunocytochemistry/ Immunofluorescence: AIPL1 Antibody (OTI3B4) [NBP2-01327]

Immunocytochemistry/ Immunofluorescence: AIPL1 Antibody (OTI3B4) [NBP2-01327]

Immunocytochemistry/Immunofluorescence: AIPL1 Antibody (3B4) [NBP2-01327] - Staining of COS7 cells transiently transfected by pCMV6-ENTRY AIPL1.
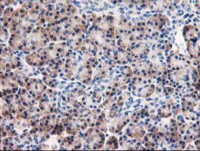
Immunohistochemistry-Paraffin: AIPL1 Antibody (OTI3B4) [NBP2-01327]

Immunohistochemistry-Paraffin: AIPL1 Antibody (OTI3B4) [NBP2-01327]

Immunohistochemistry-Paraffin: AIPL1 Antibody (3B4) [NBP2-01327] - Staining of paraffin-embedded Human pancreas tissue using anti-AIPL1 mouse monoclonal antibody.

Applications for AIPL1 Antibody (OTI3B4)

Application
Recommended Usage

Flow Cytometry

1:100

Immunocytochemistry/ Immunofluorescence

1:100

Immunohistochemistry

1:150

Immunohistochemistry-Paraffin

1:150

Western Blot

1:500-2000

Formulation, Preparation, and Storage

Purification

Immunogen affinity purified

Formulation

PBS (pH 7.3), 1.0% BSA and 50% Glycerol

Preservative

0.02% Sodium Azide

Concentration

1 mg/ml

Shipping

The product is shipped with polar packs. Upon receipt, store it immediately at the temperature recommended below.

Stability & Storage

Store at -20C. Avoid freeze-thaw cycles.

Background: AIPL1

Leber congenital amaurosis (LCA) accounts for at least 5% of all inherited retinal disease and is the most severe inherited retinopathy with the earliest age of onset. Individuals affected with LCA are diagnosed at birth or in the first few months of life with severely impaired vision or blindness, nystagmus and an abnormal or flat electroretinogram. The photoreceptor/pineal -expressed gene, AIPL1, encoding aryl-hydrocarbon interacting protein-like 1, was mapped within the LCA4 candidate region. The protein contains three tetratricopeptide motifs, consistent with nuclear transport or chaperone activity. AIPL1 mutations may cause approximately 20% of recessive LCA. [provided by RefSeq].

Alternate Names

AIPL2, aryl hydrocarbon receptor interacting protein-like 1, aryl hydrocarbon receptor-interacting protein-like 1, aryl-hydrocarbon-interacting protein-like 1, LCA4

Entrez Gene IDs

23746 (Human)

Gene Symbol

AIPL1

Additional AIPL1 Products

Product Documents for AIPL1 Antibody (OTI3B4)

Certificate of Analysis

To download a Certificate of Analysis, please enter a lot number in the search box below.

Product Specific Notices for AIPL1 Antibody (OTI3B4)

This product is for research use only and is not approved for use in humans or in clinical diagnosis. Primary Antibodies are guaranteed for 1 year from date of receipt.

Loading...
Loading...
Loading...
Loading...
Loading...
Loading...