Skip to main content

AIP/ARA9 Antibody - BSA Free

Novus Biologicals, part of Bio-Techne | Catalog # NBP1-31347

Novus Biologicals, part of Bio-Techne
Catalog #
Availability
Size / Price
Qty
Loading...
NBP1-31347

Key Product Details

Species Reactivity

Validated:

Human, Mouse, Rat

Cited:

Human

Predicted:

Bovine (92%), Rhesus Macaque (97%). Backed by our 100% Guarantee.

Applications

Validated:

Immunohistochemistry, Immunohistochemistry-Paraffin, Western Blot, Immunocytochemistry/ Immunofluorescence

Cited:

Immunocytochemistry/ Immunofluorescence

Label

Unconjugated

Antibody Source

Polyclonal Rabbit IgG

Format

BSA Free

Concentration

Concentrations vary lot to lot. See vial label for concentration. If unlisted please contact technical services.

Product Specifications

Immunogen

Recombinant protein encompassing a sequence within the center region of human AIP/ARA9. The exact sequence is proprietary.

Localization

Cytoplasm

Clonality

Polyclonal

Host

Rabbit

Isotype

IgG

Theoretical MW

38 kDa.
Disclaimer note: The observed molecular weight of the protein may vary from the listed predicted molecular weight due to post translational modifications, post translation cleavages, relative charges, and other experimental factors.

Description

Novus Biologicals Rabbit AIP/ARA9 Antibody - BSA Free (NBP1-31347) is a polyclonal antibody validated for use in IHC, WB and ICC/IF. Anti-AIP/ARA9 Antibody: Cited in 1 publication. All Novus Biologicals antibodies are covered by our 100% guarantee.

Scientific Data Images for AIP/ARA9 Antibody - BSA Free

Western Blot: AIP/ARA9 Antibody [NBP1-31347]

Western Blot: AIP/ARA9 Antibody [NBP1-31347]

Western Blot: AIP/ARA9 Antibody [NBP1-31347] - Various whole cell extracts (30 ug) were separated by 10% SDS-PAGE, and the membrane was blotted with ARA9 antibody [N1C3] diluted at 1:500.
Immunocytochemistry/ Immunofluorescence: AIP/ARA9 Antibody [NBP1-31347]

Immunocytochemistry/ Immunofluorescence: AIP/ARA9 Antibody [NBP1-31347]

Immunocytochemistry/Immunofluorescence: AIP/ARA9 Antibody [NBP1-31347] - Paraformaldehyde-fixed HeLa, using antibody at 1:200 dilution.
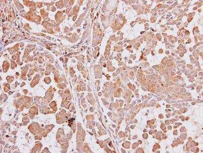
Immunohistochemistry-Paraffin: AIP/ARA9 Antibody [NBP1-31347]

Immunohistochemistry-Paraffin: AIP/ARA9 Antibody [NBP1-31347]

Immunohistochemistry-Paraffin: AIP/ARA9 Antibody [NBP1-31347] - Human lung carcinoma. ARA9 antibody [N1C3] diluted at 1:250. Antigen Retrieval: Trilogy™ (EDTA based, pH 8.0) buffer, 15min.

Applications for AIP/ARA9 Antibody - BSA Free

Application
Recommended Usage

Immunocytochemistry/ Immunofluorescence

1:100-1:1000

Immunohistochemistry

1:100-1:1000

Immunohistochemistry-Paraffin

1:100-1:1000

Western Blot

1:500-1:10000

Formulation, Preparation, and Storage

Purification

Antigen Affinity-purified

Formulation

0.1M Tris, 0.1M Glycine, 10% Glycerol

Format

BSA Free

Preservative

0.01% Thimerosal

Concentration

Concentrations vary lot to lot. See vial label for concentration. If unlisted please contact technical services.

Shipping

The product is shipped with polar packs. Upon receipt, store it immediately at the temperature recommended below.

Stability & Storage

Aliquot and store at -20C or -80C. Avoid freeze-thaw cycles.

Background: AIP/ARA9

Aryl-hydrocarbon receptor-interacting protein immunophilin homolog ARA9, also known as AIP and XAP-2, is known to affect the potency and efficacy of AHR agonists and have functional consequences on AHR signal transduction. ARA9 may also play a positive role in AHR-mediated signaling, by influencing its ligand receptivity and/or nuclear targeting ability. Defects in AIP can lead to familial isolated pituitary adenoma (FIPA), growth hormone-secreting pituitary adenoma (GHSPA), ACTH-secreting pituitary adenoma (ASPA), and prolactin-secreting pituitary adenoma (PSPA).

Alternate Names

ARA9, FKBP16, FKBP37, SMTPHN, XAP2, XAP-2

Entrez Gene IDs

9049 (Human); 11632 (Mouse)

Gene Symbol

AIP

UniProt

Additional AIP/ARA9 Products

Product Documents for AIP/ARA9 Antibody - BSA Free

Certificate of Analysis

To download a Certificate of Analysis, please enter a lot number in the search box below.

Product Specific Notices for AIP/ARA9 Antibody - BSA Free

This product is for research use only and is not approved for use in humans or in clinical diagnosis. Primary Antibodies are guaranteed for 1 year from date of receipt.

Loading...
Loading...
Loading...
Loading...

⚠ WARNING: This product can expose you to chemicals including mercury, which is known to the State of California to cause reproductive toxicity with developmental effects.  For more information go to www.P65Warnings.ca.gov.