Skip to main content

AIG1 Antibody - BSA Free

Novus Biologicals, part of Bio-Techne | Catalog # NBP3-48192

Novus Biologicals, part of Bio-Techne
Catalog #
Availability
Size / Price
Qty
Loading...
NBP3-48192

Key Product Details

Species Reactivity

Human, Mouse, Rat

Applications

Immunohistochemistry, Western Blot, ELISA

Label

Unconjugated

Antibody Source

Polyclonal Rabbit IgG

Format

BSA Free

Concentration

Please see the vial label for concentration. If unlisted please contact technical services.

Product Specifications

Immunogen

androgen-induced 1. (Uniprot# Q9NVV5)

Clonality

Polyclonal

Host

Rabbit

Isotype

IgG

Theoretical MW

30 kDa.
Disclaimer note: The observed molecular weight of the protein may vary from the listed predicted molecular weight due to post translational modifications, post translation cleavages, relative charges, and other experimental factors.

Description

Novus Biologicals Rabbit AIG1 Antibody - BSA Free (NBP3-48192) is a polyclonal antibody validated for use in IHC, WB and ELISA. All Novus Biologicals antibodies are covered by our 100% guarantee.

Scientific Data Images for AIG1 Antibody - BSA Free

AIG1 Antibody - BSA Free

Western Blot: AIG1 Antibody - BSA Free [NBP3-48192] -

Western Blot: AIG1 Antibody - BSA Free [NBP3-48192] - Mouse testis tissue were subjected to SDS PAGE followed by western blot with (AIG1 antibody) at dilution of 1:400
AIG1 Antibody - BSA Free

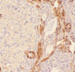
Immunohistochemistry: AIG1 Antibody - BSA Free [NBP3-48192] -

Immunohistochemistry: AIG1 Antibody - BSA Free [NBP3-48192] - Immunohistochemistry of paraffin-embedded human ovary tumor using (AIG1 antibody) at dilution of 1:100

Applications for AIG1 Antibody - BSA Free

Application
Recommended Usage

Immunohistochemistry

1:20-200

Western Blot

1:200-1:1000

Formulation, Preparation, and Storage

Purification

Immunogen affinity purified

Formulation

PBS, 50% Glycerol, pH (7.3)

Format

BSA Free

Preservative

0.02% Sodium Azide

Concentration

Please see the vial label for concentration. If unlisted please contact technical services.

Shipping

The product is shipped with polar packs. Upon receipt, store it immediately at the temperature recommended below.

Stability & Storage

Store at -20C. Avoid freeze-thaw cycles.

Background: AIG1

AIG1 may play a role in androgen-regulated growth of hair follicles

Alternate Names

androgen-induced 1, androgen-induced gene 1 protein, C-terminus truncated, DKFZp686F03136

Gene Symbol

AIG1

Additional AIG1 Products

Product Documents for AIG1 Antibody - BSA Free

Certificate of Analysis

To download a Certificate of Analysis, please enter a lot number in the search box below.

Product Specific Notices for AIG1 Antibody - BSA Free

This product is for research use only and is not approved for use in humans or in clinical diagnosis. Primary Antibodies are guaranteed for 1 year from date of receipt.

Loading...
Loading...
Loading...
Loading...