Skip to main content

AIF1L Antibody - BSA Free

Novus Biologicals, part of Bio-Techne | Catalog # NBP2-38808

Novus Biologicals, part of Bio-Techne
Catalog #
Availability
Size / Price
Qty
Loading...
NBP2-38808
NBP2-38808-25ul

Key Product Details

Validated by

Orthogonal Validation

Species Reactivity

Validated:

Human

Predicted:

Mouse (93%), Rat (93%). Backed by our 100% Guarantee.

Applications

Immunohistochemistry, Immunohistochemistry-Paraffin

Label

Unconjugated

Antibody Source

Polyclonal Rabbit IgG

Format

BSA Free

Concentration

Concentrations vary lot to lot. See vial label for concentration. If unlisted please contact technical services.

Product Specifications

Immunogen

This antibody was developed against a recombinant protein corresponding to amino acids: RQERRLAEINREFLCDQKYSDEENLPE

Clonality

Polyclonal

Host

Rabbit

Isotype

IgG

Description

Novus Biologicals Rabbit AIF1L Antibody - BSA Free (NBP2-38808) is a polyclonal antibody validated for use in IHC. All Novus Biologicals antibodies are covered by our 100% guarantee.

Scientific Data Images for AIF1L Antibody - BSA Free

Immunohistochemistry-Paraffin: AIF1L Antibody [NBP2-38808]

Immunohistochemistry-Paraffin: AIF1L Antibody [NBP2-38808]

Immunohistochemistry-Paraffin: AIF1L Antibody [NBP2-38808] - Staining of human lymph node shows low expression as expected.
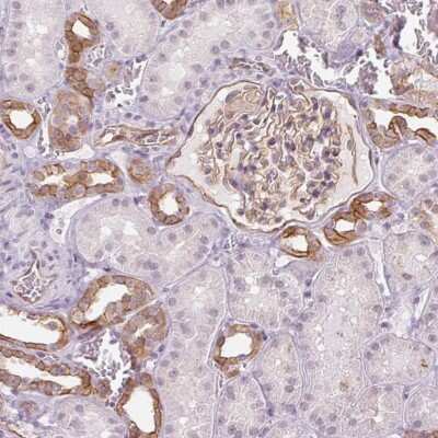
Immunohistochemistry: AIF1L Antibody [NBP2-38808]

Immunohistochemistry: AIF1L Antibody [NBP2-38808]

Immunohistochemistry: AIF1L Antibody [NBP2-38808] - Staining of human kidney shows moderate cytoplasmic and membranous positivity in cells in tubules and glomeruli.
Immunohistochemistry-Paraffin: AIF1L Antibody [NBP2-38808]

Immunohistochemistry-Paraffin: AIF1L Antibody [NBP2-38808]

Immunohistochemistry-Paraffin: AIF1L Antibody [NBP2-38808] - Staining in human kidney and lymph node tissues using anti-AIF1L antibody. Corresponding AIF1L RNA-seq data are presented for the same tissues.

Applications for AIF1L Antibody - BSA Free

Application
Recommended Usage

Immunohistochemistry

1:500 - 1:1000

Immunohistochemistry-Paraffin

1:500 - 1:1000
Application Notes
For IHC-Paraffin, HIER pH 6 retrieval is recommended.

Formulation, Preparation, and Storage

Purification

Immunogen affinity purified

Formulation

PBS (pH 7.2) and 40% Glycerol

Format

BSA Free

Preservative

0.02% Sodium Azide

Concentration

Concentrations vary lot to lot. See vial label for concentration. If unlisted please contact technical services.

Shipping

The product is shipped with polar packs. Upon receipt, store it immediately at the temperature recommended below.

Stability & Storage

Store at 4C short term. Aliquot and store at -20C long term. Avoid freeze-thaw cycles.

Background: AIF1L

Actin-binding protein that promotes actin bundling. May neither bind calcium nor depend on calcium forfunction

Alternate Names

allograft inflammatory factor 1-like, C9orf58, chromosome 9 open reading frame 58, IBA2FLJ12783, ionized calcium binding adapter molecule 2, Ionized calcium-binding adapter molecule 2, MGC29466

Gene Symbol

AIF1L

UniProt

Additional AIF1L Products

Product Documents for AIF1L Antibody - BSA Free

Certificate of Analysis

To download a Certificate of Analysis, please enter a lot number in the search box below.

Product Specific Notices for AIF1L Antibody - BSA Free

This product is for research use only and is not approved for use in humans or in clinical diagnosis. Primary Antibodies are guaranteed for 1 year from date of receipt.

Loading...
Loading...
Loading...
Loading...