Skip to main content

AHNAK2 Antibody - BSA Free

Novus Biologicals, part of Bio-Techne | Catalog # NBP2-47554

Novus Biologicals, part of Bio-Techne
Catalog #
Availability
Size / Price
Qty
Loading...
NBP2-47554
NBP2-47554-25ul

Key Product Details

Validated by

Orthogonal Validation

Species Reactivity

Human

Applications

Immunohistochemistry, Immunohistochemistry-Paraffin

Label

Unconjugated

Antibody Source

Polyclonal Rabbit IgG

Format

BSA Free

Concentration

Concentrations vary lot to lot. See vial label for concentration. If unlisted please contact technical services.

Product Specifications

Immunogen

This antibody was developed against a recombinant protein corresponding to amino acids: APQDEEWASSDAQHGPQGKEKEDTDVADGCRETPTKTLEGDGDQERLISKPRVGRGRQSQRERLSWPKFQSIKSKRGPGPQRSHSSSEAYEPRDAHDVSPTSTDTEAQLTVERQEQKAGPGSQRRRKFLNLRFRTGSGQGPSSTG

Clonality

Polyclonal

Host

Rabbit

Isotype

IgG

Description

Novus Biologicals Rabbit AHNAK2 Antibody - BSA Free (NBP2-47554) is a polyclonal antibody validated for use in IHC. All Novus Biologicals antibodies are covered by our 100% guarantee.

Scientific Data Images for AHNAK2 Antibody - BSA Free

Immunohistochemistry-Paraffin: AHNAK2 Antibody [NBP2-47554]

Immunohistochemistry-Paraffin: AHNAK2 Antibody [NBP2-47554]

Immunohistochemistry-Paraffin: AHNAK2 Antibody [NBP2-47554] - Staining in human skin and skeletal muscle tissues using NBP2-47554 antibody. Corresponding AHNAK2 RNA-seq data are presented for the same tissues.
Immunohistochemistry-Paraffin: AHNAK2 Antibody [NBP2-47554]

Immunohistochemistry-Paraffin: AHNAK2 Antibody [NBP2-47554]

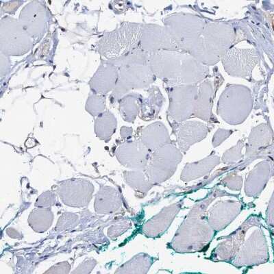
Immunohistochemistry-Paraffin: AHNAK2 Antibody [NBP2-47554] - Staining of human skeletal muscle shows no positivity in myocytes as expected.
Immunohistochemistry-Paraffin: AHNAK2 Antibody [NBP2-47554]

Immunohistochemistry-Paraffin: AHNAK2 Antibody [NBP2-47554]

Immunohistochemistry-Paraffin: AHNAK2 Antibody [NBP2-47554] - Staining of human skin shows strong cytoplasmic positivity in squamous epithelial cells.

Applications for AHNAK2 Antibody - BSA Free

Application
Recommended Usage

Immunohistochemistry

1:500 - 1:1000

Immunohistochemistry-Paraffin

1:500 - 1:1000
Application Notes
For IHC-Paraffin, HIER pH 6 retrieval is recommended.

Formulation, Preparation, and Storage

Purification

Affinity purified

Formulation

PBS (pH 7.2) and 40% Glycerol

Format

BSA Free

Preservative

0.02% Sodium Azide

Concentration

Concentrations vary lot to lot. See vial label for concentration. If unlisted please contact technical services.

Shipping

The product is shipped with polar packs. Upon receipt, store it immediately at the temperature recommended below.

Stability & Storage

Store at 4C short term. Aliquot and store at -20C long term. Avoid freeze-thaw cycles.

Background: AHNAK2

Alternate Names

AHNAK nucleoprotein 2, C14orf78, chromosome 14 open reading frame 78, KIAA2019, protein AHNAK2

Gene Symbol

AHNAK2

Additional AHNAK2 Products

Product Documents for AHNAK2 Antibody - BSA Free

Certificate of Analysis

To download a Certificate of Analysis, please enter a lot number in the search box below.

Product Specific Notices for AHNAK2 Antibody - BSA Free

This product is for research use only and is not approved for use in humans or in clinical diagnosis. Primary Antibodies are guaranteed for 1 year from date of receipt.

Loading...
Loading...
Loading...
Loading...