AGXT2 Antibody - BSA Free
Novus Biologicals, part of Bio-Techne | Catalog # NBP3-06037
Conjugate
Catalog #
Key Product Details
Species Reactivity
Human
Applications
Immunohistochemistry, Immunohistochemistry-Paraffin
Label
Unconjugated
Antibody Source
Polyclonal Rabbit IgG
Format
BSA Free
Concentration
Please see the vial label for concentration. If unlisted please contact technical services.
Product Specifications
Immunogen
Produced in rabbits immunized with E. coli-derived Human AGXT2 fragment.
Clonality
Polyclonal
Host
Rabbit
Isotype
IgG
Description
This antibody can be stored at 2C-8C for one month without detectable loss of activity. Antibody products are stable for twelve months from date of receipt when stored at -20C to -80C. Avoid repeated freeze-thaw cycles.
Scientific Data Images for AGXT2 Antibody - BSA Free
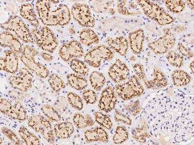
Immunohistochemistry-Paraffin: AGXT2 Antibody [NBP3-06037]
Immunohistochemistry-Paraffin: AGXT2 Antibody [NBP3-06037] - Immunochemical staining of human AGXT2 in human liver with rabbit polyclonal antibody at 1:500 dilution, formalin-fixed paraffin embedded sections.Immunohistochemistry-Paraffin: AGXT2 Antibody [NBP3-06037]
Immunohistochemistry-Paraffin: AGXT2 Antibody [NBP3-06037] - Immunochemical staining of human AGXT2 in human kidney with rabbit polyclonal antibody at 1:500 dilution, formalin-fixed paraffin embedded sections.Applications for AGXT2 Antibody - BSA Free
Application
Recommended Usage
Immunohistochemistry-Paraffin
1:200-1:1000
Formulation, Preparation, and Storage
Purification
Antigen and protein A Affinity-purified
Formulation
PBS
Format
BSA Free
Preservative
0.03% Proclin 300
Concentration
Please see the vial label for concentration. If unlisted please contact technical services.
Shipping
The product is shipped with polar packs. Upon receipt, store it immediately at the temperature recommended below.
Stability & Storage
Store at 4C short term. Aliquot and store at -20C long term. Avoid freeze-thaw cycles.
Background: AGXT2
Alternate Names
(R)-3-amino-2-methylpropionate--pyruvate transaminase, AGT 2, alanine-glyoxylate aminotransferase 2, alanine--glyoxylate aminotransferase 2, Beta-ALAAT II, Beta-alanine-pyruvate aminotransferase, DAIBAT, D-AIBAT, EC 2.6.1.40, EC 2.6.1.44, mitochondrial
Gene Symbol
AGXT2
Additional AGXT2 Products
Product Specific Notices for AGXT2 Antibody - BSA Free
This product is for research use only and is not approved for use in humans or in clinical diagnosis. Primary Antibodies are guaranteed for 1 year from date of receipt.
Loading...
Loading...
Loading...
Loading...