Skip to main content

AGXT Antibody - BSA Free

Novus Biologicals, part of Bio-Techne | Catalog # NBP2-34198

Novus Biologicals, part of Bio-Techne
Catalog #
Availability
Size / Price
Qty
Loading...
NBP2-34198
NBP2-34198-25ul

Key Product Details

Validated by

Orthogonal Validation, Independent Antibodies

Species Reactivity

Human

Applications

Immunocytochemistry/ Immunofluorescence, Immunohistochemistry, Immunohistochemistry-Paraffin

Label

Unconjugated

Antibody Source

Polyclonal Rabbit IgG

Format

BSA Free

Concentration

Concentrations vary lot to lot. See vial label for concentration. If unlisted please contact technical services.

Product Specifications

Immunogen

This antibody was developed against a recombinant protein corresponding to amino acids: QLFVKDPALRLPTVTTVAVPAGYDWRDIVSYVIDHFDIEIMGGLGPSTGKVLRIGLLGCNATRENVDRVTEALRAALQHCPKKKL

Clonality

Polyclonal

Host

Rabbit

Isotype

IgG

Description

Novus Biologicals Rabbit AGXT Antibody - BSA Free (NBP2-34198) is a polyclonal antibody validated for use in IHC and ICC/IF. All Novus Biologicals antibodies are covered by our 100% guarantee.

Scientific Data Images for AGXT Antibody - BSA Free

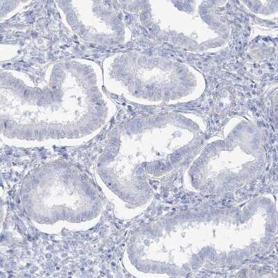
Immunohistochemistry-Paraffin: AGXT Antibody [NBP2-34198]

Immunohistochemistry-Paraffin: AGXT Antibody [NBP2-34198]

Immunohistochemistry-Paraffin: AGXT Antibody [NBP2-34198] - Analysis in human liver and pancreas tissues. Corresponding AGXT RNA-seq data are presented for the same tissues.
Immunohistochemistry-Paraffin: AGXT Antibody [NBP2-34198]

Immunohistochemistry-Paraffin: AGXT Antibody [NBP2-34198]

Immunohistochemistry-Paraffin: AGXT Antibody [NBP2-34198] - Staining of human endometrium, liver, pancreas and tonsil using Anti-AGXT antibody (A) NBP2-34198 shows similar protein distribution across tissues to independent antibody NBP1-89200 (B).
Immunocytochemistry/ Immunofluorescence: AGXT Antibody [NBP2-34198]

Immunocytochemistry/ Immunofluorescence: AGXT Antibody [NBP2-34198]

Immunocytochemistry/Immunofluorescence: AGXT Antibody [NBP2-34198] - Staining of human cell line U-2 OS shows localization to vesicles. Antibody staining is shown in green.

Applications for AGXT Antibody - BSA Free

Application
Recommended Usage

Immunocytochemistry/ Immunofluorescence

0.25-2 ug/ml

Immunohistochemistry

1:500 - 1:1000

Immunohistochemistry-Paraffin

1:500 - 1:1000
Application Notes
For IHC-Paraffin, HIER pH 6 retrieval is recommended. ICC/IF Fixation Permeabilization: Use PFA/Triton X-100.

Formulation, Preparation, and Storage

Purification

Immunogen affinity purified

Formulation

PBS (pH 7.2) and 40% Glycerol

Format

BSA Free

Preservative

0.02% Sodium Azide

Concentration

Concentrations vary lot to lot. See vial label for concentration. If unlisted please contact technical services.

Shipping

The product is shipped with polar packs. Upon receipt, store it immediately at the temperature recommended below.

Stability & Storage

Store at 4C short term. Aliquot and store at -20C long term. Avoid freeze-thaw cycles.

Background: AGXT

AGXT, also known as Serine--pyruvate aminotransferase, is 43kDa and 392 amino acids long. AGXT is localized to the peroxisome and is only expressed in the liver. AGXT is implicated in glyoxylate detoxification and mutations in the AGXT gene have been linked with type I primary hyperoxaluria. AGXT has been shown to have interactions with AGXT2, PEX5, ALAS2, 14-3-3 epsilon and Synphilin-1.

Alternate Names

AGT1L-alanine: glyoxylate aminotransferase 1, AGThepatic peroxisomal alanine:glyoxylate aminotransferase, AGXT1, alanine-glyoxylate aminotransferase, Alanine--glyoxylate aminotransferase, EC 2.6.1.44, EC 2.6.1.51, PH1, serine:pyruvate aminotransferase, SPATserine-pyruvate aminotransferase, SPTserine--pyruvate aminotransferase, TLH6

Gene Symbol

AGXT

UniProt

Additional AGXT Products

Product Documents for AGXT Antibody - BSA Free

Certificate of Analysis

To download a Certificate of Analysis, please enter a lot number in the search box below.

Product Specific Notices for AGXT Antibody - BSA Free

This product is for research use only and is not approved for use in humans or in clinical diagnosis. Primary Antibodies are guaranteed for 1 year from date of receipt.

Loading...
Loading...
Loading...
Loading...