AGPAT9 Antibody - BSA Free
Novus Biologicals, part of Bio-Techne | Catalog # NBP1-93692
Key Product Details
Species Reactivity
Validated:
Human
Predicted:
Mouse (96%), Rat (93%). Backed by our 100% Guarantee.
Applications
Immunohistochemistry, Immunohistochemistry-Paraffin, Simple Western
Label
Unconjugated
Antibody Source
Polyclonal Rabbit IgG
Format
BSA Free
Concentration
Concentrations vary lot to lot. See vial label for concentration. If unlisted please contact technical services.
Product Specifications
Immunogen
This antibody was developed against Recombinant Protein corresponding to amino acids: ILVKTLEWATIRIEKGTPKESILKNSASVGIIQRDESPMEKGLSGLRGRDFELSDVFYFSKKGLEAIVEDEVTQRFSSEELVSWNLLTRTN
Clonality
Polyclonal
Host
Rabbit
Isotype
IgG
Theoretical MW
49 kDa.
Disclaimer note: The observed molecular weight of the protein may vary from the listed predicted molecular weight due to post translational modifications, post translation cleavages, relative charges, and other experimental factors.
Disclaimer note: The observed molecular weight of the protein may vary from the listed predicted molecular weight due to post translational modifications, post translation cleavages, relative charges, and other experimental factors.
Description
Novus Biologicals Rabbit AGPAT9 Antibody - BSA Free (NBP1-93692) is a polyclonal antibody validated for use in IHC and Simple Western. All Novus Biologicals antibodies are covered by our 100% guarantee.
Scientific Data Images for AGPAT9 Antibody - BSA Free
Immunohistochemistry-Paraffin: AGPAT9 Antibody [NBP1-93692]
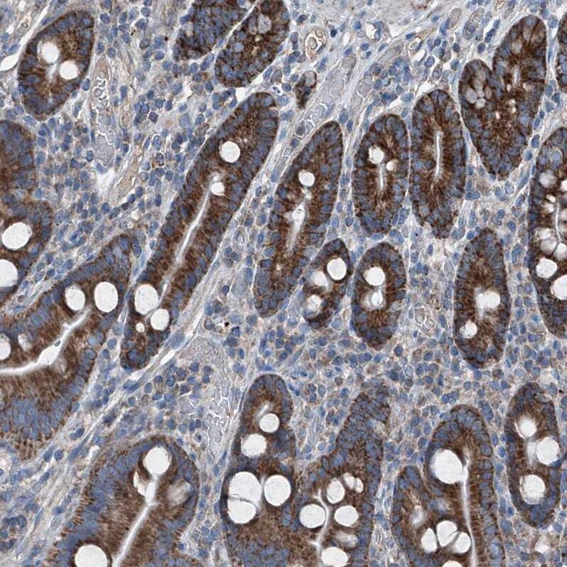
Immunohistochemistry-Paraffin: AGPAT9 Antibody [NBP1-93692] - Staining of human duodenum shows strong cytoplasmic positivity with a granular pattern in glandular cells.Immunohistochemistry: AGPAT9 Antibody - BSA Free [NBP1-93692]
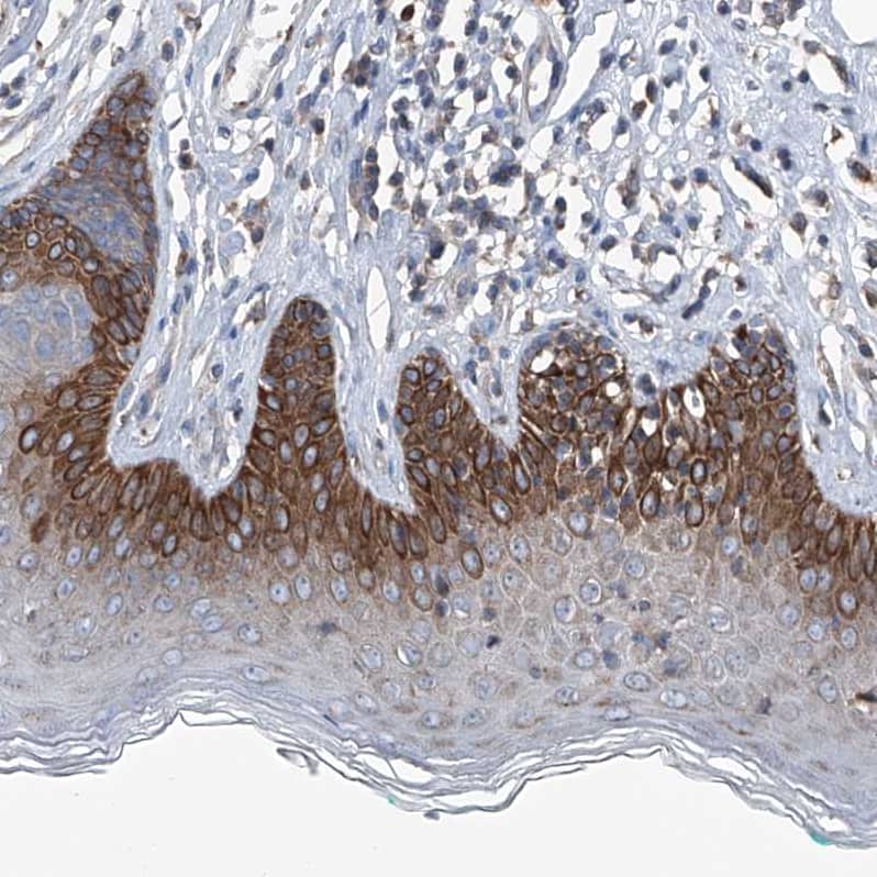
Staining of human skin shows strong cytoplasmic positivity in squamous epithelial cells in the suprabasal layer.Immunohistochemistry: AGPAT9 Antibody - BSA Free [NBP1-93692]
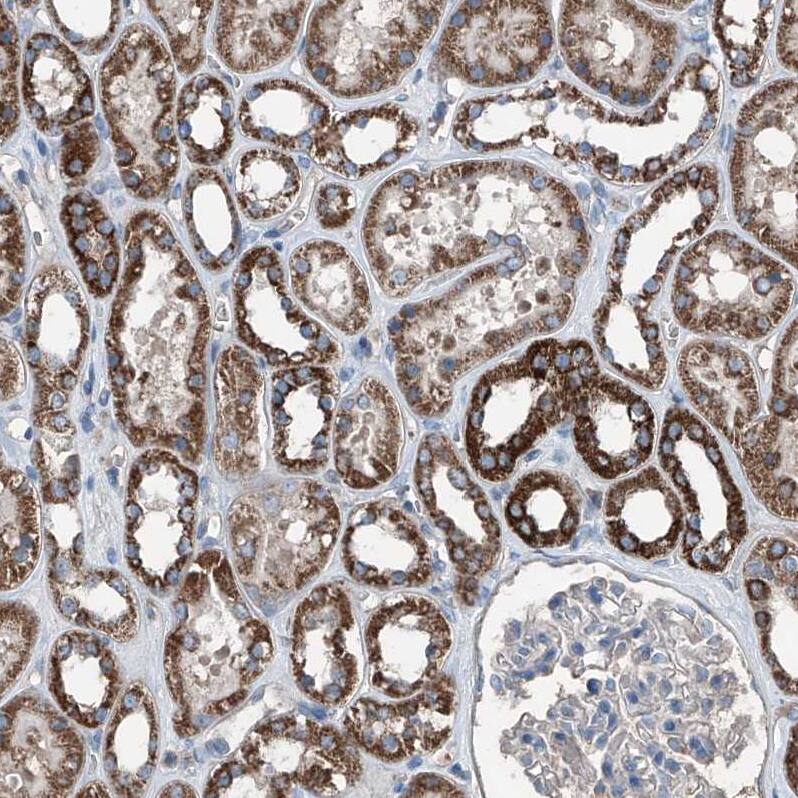
Staining of human kidney shows strong cytoplasmic positivity in cells in tubules.Applications for AGPAT9 Antibody - BSA Free
Application
Recommended Usage
Immunohistochemistry
1:500 - 1:1000
Immunohistochemistry-Paraffin
1:500 - 1:1000
Simple Western
1:100
Application Notes
For IHC-Paraffin, HIER pH 6 retrieval is recommended.
Formulation, Preparation, and Storage
Purification
Immunogen affinity purified
Formulation
PBS (pH 7.2) and 40% Glycerol
Format
BSA Free
Preservative
0.02% Sodium Azide
Concentration
Concentrations vary lot to lot. See vial label for concentration. If unlisted please contact technical services.
Shipping
The product is shipped with polar packs. Upon receipt, store it immediately at the temperature recommended below.
Stability & Storage
Store at 4C short term. Aliquot and store at -20C long term. Avoid freeze-thaw cycles.
Background: AGPAT9
Alternate Names
1-acylglycerol-3-phosphate O-acyltransferase 9, acyl-CoA:glycerol-3-phosphate acyltransferase 3, glycerol-3-phosphate acyltransferase 3, GPAT3, GPAT-3,1-acylglycerol-3-phosphate O-acyltransferase 8, hGPAT3, HMFN0839,1-AGP acyltransferase 9, lysophosphatidic acid acyltransferase theta, MAG1, MAG-1, MGC11324, theta, UNQ2753/PRO6492
Entrez Gene IDs
84803 (Human)
Gene Symbol
GPAT3
UniProt
Additional AGPAT9 Products
Product Documents for AGPAT9 Antibody - BSA Free
Product Specific Notices for AGPAT9 Antibody - BSA Free
This product is for research use only and is not approved for use in humans or in clinical diagnosis. Primary Antibodies are guaranteed for 1 year from date of receipt.
Loading...
Loading...
Loading...
Loading...