Skip to main content

AG-2/AGR2 Antibody - BSA Free

Novus Biologicals, part of Bio-Techne | Catalog # NBP1-05933

Novus Biologicals, part of Bio-Techne

Key Product Details

Species Reactivity

Validated:

Human, Mouse

Predicted:

Bovine (100%). Backed by our 100% Guarantee.

Applications

ICC/IF (Negative), Immunohistochemistry, Immunohistochemistry-Paraffin

Label

Unconjugated

Antibody Source

Polyclonal Rabbit IgG

Format

BSA Free

Concentration

1 mg/ml

Product Specifications

Immunogen

Synthetic peptide made to an internal portion of human AGR2 (within residues 50-100). [Swiss-Prot# O95994]

Reactivity Notes

Immunogen displays the following percentage of sequence identity for non-tested species: bovine (100% ).

Localization

Secreted

Clonality

Polyclonal

Host

Rabbit

Isotype

IgG

Description

Novus Biologicals Rabbit AG-2/AGR2 Antibody - BSA Free (NBP1-05933) is a polyclonal antibody validated for use in IHC. All Novus Biologicals antibodies are covered by our 100% guarantee.

Scientific Data Images for AG-2/AGR2 Antibody - BSA Free

Immunohistochemistry-Paraffin: AG-2/AGR2 Antibody - BSA Free [NBP1-05933]

Immunohistochemistry-Paraffin: AG-2/AGR2 Antibody - BSA Free [NBP1-05933]

Immunohistochemistry-Paraffin: AG-2 Antibody [NBP1-05933] - Detection of AGR2 in mouse prostate.
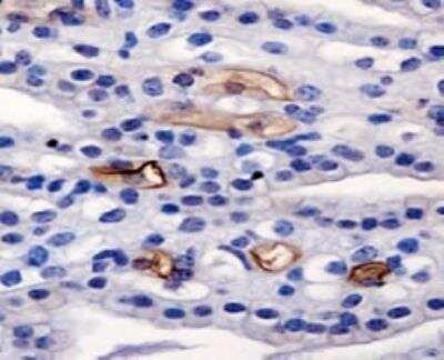
Immunohistochemistry: AG-2/AGR2 Antibody - BSA Free [NBP1-05933]

Immunohistochemistry: AG-2/AGR2 Antibody - BSA Free [NBP1-05933]

Immunohistochemistry: AG-2 Antibody [NBP1-05933] - Detection of AGR2 in mouse kidney.

Applications for AG-2/AGR2 Antibody - BSA Free

Application
Recommended Usage

Immunohistochemistry

1:100-1:300

Immunohistochemistry-Paraffin

1:100-1:300
Application Notes
This AGR2 antibody is useful for Immunohistochemistry paraffin embedded sections. It is not applicable for Immunocytochemistry/Immunofluorescence.

Formulation, Preparation, and Storage

Purification

Immunogen affinity purified

Formulation

PBS and 30% Glycerol

Format

BSA Free

Preservative

0.1% Sodium Azide

Concentration

1 mg/ml

Shipping

The product is shipped with polar packs. Upon receipt, store it immediately at the temperature recommended below.

Stability & Storage

Store at 4C short term. Aliquot and store at -20C long term. Avoid freeze-thaw cycles.

Background: AG-2/AGR2

Originally discovered in Xenopus laevis wherein it plays a role during early neural development, AGR2 (anterior gradient protein 2 homolog) is now known as a member of protein disulfide isomerase (PDI) family of ER-resident proteins which is expressed in a variety of normal as well as transformed epithelial tissues. AGR2 has been implicated in the folding of proteins as a chaperone protein. It interacts with LYPD3, DAG1 (alphaDAG1) and MUC2 (disulfide-linked), and is essential for MUC2 translation as well as secretion. AGR2 plays a key role in the production of mucus by intestinal cells and has also been suggested to be a proto-oncogene that may involve in cellular migration, differentiation and growth. Differential expression of AGR2 was first found in estrogen receptor (ER)-positive breast cancer cell lines and subsequently, elevated AGR2 levels have been seen in subsets of other cancers also wherein its upregulation enhances classical hallmarks of cancer such as metastasis, invasion, colony formation, and proliferation.

Long Name

Anterior Gradient 2 Homolog

Alternate Names

AG2, AGR2, GOB-4, HPC8, PDIA17

Gene Symbol

AGR2

Additional AG-2/AGR2 Products

Product Documents for AG-2/AGR2 Antibody - BSA Free

Certificate of Analysis

To download a Certificate of Analysis, please enter a lot number in the search box below.

Product Specific Notices for AG-2/AGR2 Antibody - BSA Free

This product is for research use only and is not approved for use in humans or in clinical diagnosis. Primary Antibodies are guaranteed for 1 year from date of receipt.

Loading...
Loading...
Loading...
Loading...