Skip to main content

Key Product Details

Species Reactivity

Validated:

Human, Mouse, Rat

Predicted:

Bovine (100%). Backed by our 100% Guarantee.

Applications

ELISA, Immunocytochemistry/ Immunofluorescence, Immunohistochemistry, Immunohistochemistry-Paraffin, Western Blot

Label

Unconjugated

Antibody Source

Polyclonal Rabbit IgG

Format

BSA Free

Concentration

1 mg/ml

Product Specifications

Immunogen

Antibody was raised against a 15 amino acid synthetic peptide near the carboxy terminus of human AFAP1L2. The immunogen is located within the last 50 amino acids of AFAP1L2. Amino Acid Squence: TVLQKAKEWEKKGAS

Clonality

Polyclonal

Host

Rabbit

Isotype

IgG

Description

Novus Biologicals Rabbit AFAP1L2 Antibody - BSA Free (NBP1-77358) is a polyclonal antibody validated for use in IHC, WB, ELISA and ICC/IF. All Novus Biologicals antibodies are covered by our 100% guarantee.

Scientific Data Images for AFAP1L2 Antibody - BSA Free

Western Blot: AFAP1L2 AntibodyBSA Free [NBP1-77358]

Western Blot: AFAP1L2 AntibodyBSA Free [NBP1-77358]

Western Blot: AFAP1L2 Antibody [NBP1-77358] - Mouse liver tissue lysate with AFAP1L2 antibody at (A) 1 and (B) 2 ug/ml.
AFAP1L2 Antibody - BSA Free

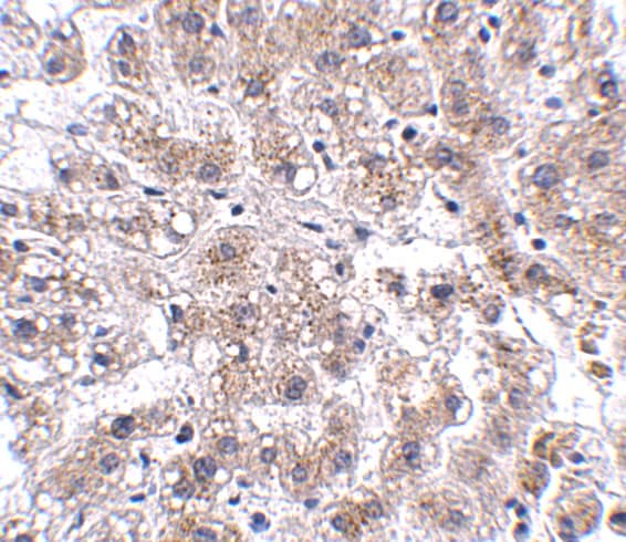
Immunohistochemistry: AFAP1L2 Antibody - BSA Free [NBP1-77358] -

Immunohistochemistry: AFAP1L2 Antibody - BSA Free [NBP1-77358] - Immunohistochemistry of AFAP1L2 in human liver tissue with AFAP1L2 antibody at 2.5 ug/mL.
AFAP1L2 Antibody - BSA Free

Immunocytochemistry/ Immunofluorescence: AFAP1L2 Antibody - BSA Free [NBP1-77358] -

Immunocytochemistry/ Immunofluorescence: AFAP1L2 Antibody - BSA Free [NBP1-77358] - Immunofluorescence of AFAP1L2 in human liver tissue with AFAP1L antibody at 20 ug/mL.

Applications for AFAP1L2 Antibody - BSA Free

Application
Recommended Usage

ELISA

1:100-1:2000

Immunocytochemistry/ Immunofluorescence

20 ug/ml

Immunohistochemistry

2.5 ug/ml

Immunohistochemistry-Paraffin

2.5 ug/ml

Western Blot

1-2 ug/ml

Formulation, Preparation, and Storage

Purification

Peptide affinity purified

Formulation

PBS

Format

BSA Free

Preservative

0.02% Sodium Azide

Concentration

1 mg/ml

Shipping

The product is shipped with polar packs. Upon receipt, store it immediately at the temperature recommended below.

Stability & Storage

Store at 4C short term. Aliquot and store at -20C long term. Avoid freeze-thaw cycles.

Background: AFAP1L2

AFAP1L2, also known as XB130, is structurally similar to actin-filament-associated protein (AFAP), containing several SH2- and SH3-binding motifs, two pleckstrin homology domains, a coiled-coil region, and many potential phosphorylation sites. It interacts with and is phosphorylated by c-Src tyrosine kinase. Suppression of AFAP1L2 via siRNA reduced Src activity, IL-8 production, EGF-induced phosphorylation of Akt and GSK3beta, and altered cell cycles in human lung epithelial cells suggesting that AFAP1L2 plays a role as an adaptor in the regulation of Src signal transduction and multiple cellular functions. Recent experiments have shown that AFAP1L2 is highly expressed in thyroid and is the substrate RET/PTC kinase, a thyroid-specific kinase that plays a pathogenic role in papillary thyroid cancer. Down-regulation of AFAP1L2 in these cancer cells reduced Akt activity, inhibiting cell-cycle progression and cancer cell survival in suspension, indicating that AFAP1L2 may be a valuable target in thyroid cancer therapy. At least four isoforms of AFAP1L2 are known to exist.

Alternate Names

actin filament associated protein 1-like 2, actin filament-associated protein 1-like 2, AFAP1-like protein 2, FLJ14564, KIAA1914Em:AC005383.4, XB130CTB-1144G6.4

Gene Symbol

AFAP1L2

Additional AFAP1L2 Products

Product Documents for AFAP1L2 Antibody - BSA Free

Certificate of Analysis

To download a Certificate of Analysis, please enter a lot number in the search box below.

Product Specific Notices for AFAP1L2 Antibody - BSA Free

This product is for research use only and is not approved for use in humans or in clinical diagnosis. Primary Antibodies are guaranteed for 1 year from date of receipt.

Loading...
Loading...
Loading...
Loading...