Skip to main content

AFAP Antibody - BSA Free

Novus Biologicals, part of Bio-Techne | Catalog # NBP1-90216

Novus Biologicals, part of Bio-Techne
Catalog #
Availability
Size / Price
Qty
Loading...
NBP1-90216-25ul
NBP1-90216

Key Product Details

Validated by

Orthogonal Validation

Species Reactivity

Validated:

Human

Cited:

Human

Applications

Validated:

Immunohistochemistry, Immunohistochemistry-Paraffin, Immunocytochemistry/ Immunofluorescence

Cited:

Immunocytochemistry/ Immunofluorescence

Label

Unconjugated

Antibody Source

Polyclonal Rabbit IgG

Format

BSA Free

Concentration

Concentrations vary lot to lot. See vial label for concentration. If unlisted please contact technical services.

Product Specifications

Immunogen

This antibody was developed against Recombinant Protein corresponding to amino acids: PEALHYDYIDVEMSASVIQTAKQTFCFMNRRVISANPYLGGTSNGYAHPSGTALHYDDVPCINGSLKGKKPPVASNGVTGKGKTLSSQPKKADPAAVVKRTGSNAAQYKYGKNRVEADAKR

Reactivity Notes

Immunogen displays the following percentage of sequence identity for non-tested species: Mouse (80%)

Clonality

Polyclonal

Host

Rabbit

Isotype

IgG

Description

Novus Biologicals Rabbit AFAP Antibody - BSA Free (NBP1-90216) is a polyclonal antibody validated for use in IHC and ICC/IF. Anti-AFAP Antibody: Cited in 1 publication. All Novus Biologicals antibodies are covered by our 100% guarantee.

Scientific Data Images for AFAP Antibody - BSA Free

Immunocytochemistry/ Immunofluorescence: AFAP Antibody [NBP1-90216]

Immunocytochemistry/ Immunofluorescence: AFAP Antibody [NBP1-90216]

Immunocytochemistry/Immunofluorescence: AFAP Antibody [NBP1-90216] - Staining of human cell line U-251 MG shows positivity in cytoplasm, actin filaments and focal adhesion sites. Antibody staining is shown in green.
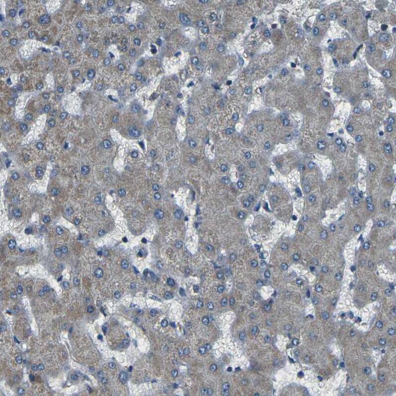
AFAP Antibody - BSA Free Immunohistochemistry: AFAP Antibody - BSA Free [NBP1-90216]

Immunohistochemistry: AFAP Antibody - BSA Free [NBP1-90216]

Analysis in human colon and liver tissues using NBP1-90216 antibody. Corresponding AFAP1 RNA-seq data are presented for the same tissues.
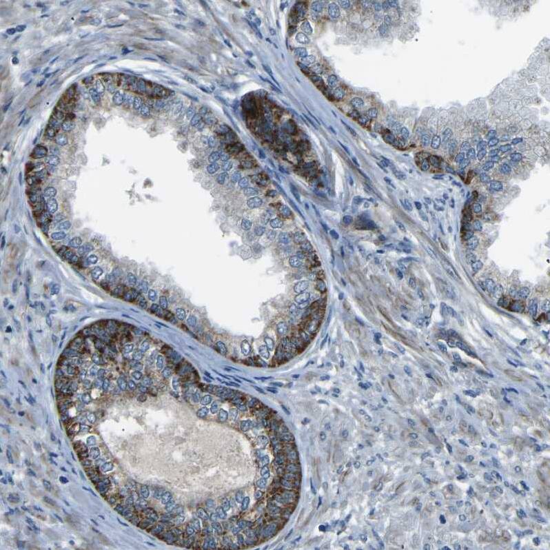
AFAP Antibody - BSA Free Immunohistochemistry: AFAP Antibody - BSA Free [NBP1-90216]

Immunohistochemistry: AFAP Antibody - BSA Free [NBP1-90216]

Staining of human colon shows strong cytoplasmic positivity in glandular cells.

Applications for AFAP Antibody - BSA Free

Application
Recommended Usage

Immunocytochemistry/ Immunofluorescence

0.25-2 ug/ml

Immunohistochemistry

1:20 - 1:50

Immunohistochemistry-Paraffin

1:20 - 1:50
Application Notes
For IHC-Paraffin, HIER pH 6 retrieval is recommended. ICC/IF Fixation Permeabilization: Use PFA/Triton X-100.

Formulation, Preparation, and Storage

Purification

Immunogen affinity purified

Formulation

PBS (pH 7.2) and 40% Glycerol

Format

BSA Free

Preservative

0.02% Sodium Azide

Concentration

Concentrations vary lot to lot. See vial label for concentration. If unlisted please contact technical services.

Shipping

The product is shipped with polar packs. Upon receipt, store it immediately at the temperature recommended below.

Stability & Storage

Store at 4C short term. Aliquot and store at -20C long term. Avoid freeze-thaw cycles.

Background: AFAP

AFAP, or Actin filament-associated protein 1, contains a 81 kDa and a 90 kDa isoform, and is involved in the manipulation of actin filaments to form network or bundle structures and the regulation of cell-matrix linkage. Disease research is currently being conducted with AFAP and its relation to familial adenomatous polyposis, adenocarcinoma, breast cancer, prostate adenocarcinoma, prostatitis, polyposis, prostate cancer, and carcinoma. This protein interacts with PRKCB, PRKCD, PRKCG, ACTC1, and PRKCZ during the processes of signal transduction regulation and mechanical stimulus response.

Long Name

Actin Filament-associated Protein, 110 kDa

Alternate Names

AFAP-110, AFAP1

Entrez Gene IDs

60312 (Human)

Gene Symbol

AFAP1

UniProt

Additional AFAP Products

Product Documents for AFAP Antibody - BSA Free

Certificate of Analysis

To download a Certificate of Analysis, please enter a lot number in the search box below.

Product Specific Notices for AFAP Antibody - BSA Free

This product is for research use only and is not approved for use in humans or in clinical diagnosis. Primary Antibodies are guaranteed for 1 year from date of receipt.

Loading...
Loading...
Loading...
Loading...