AF10 Antibody - BSA Free
Novus Biologicals, part of Bio-Techne | Catalog # NBP1-90222
Key Product Details
Species Reactivity
Human
Applications
Immunohistochemistry, Immunohistochemistry-Paraffin, Immunocytochemistry/ Immunofluorescence, Chromatin Immunoprecipitation-exo-Seq
Label
Unconjugated
Antibody Source
Polyclonal Rabbit IgG
Format
BSA Free
Concentration
Concentrations vary lot to lot. See vial label for concentration. If unlisted please contact technical services.
Product Specifications
Immunogen
This antibody was developed against Recombinant Protein corresponding to amino acids: TPGSVKSSSGSSVQSPQDFLSFTDSDLRNDSYSHSQQSSATKDVHKGESGSQEGGVNSFSTLIGLPSTSAVTSQPKSFENSPGDLGNSSLPTAGYKRAQTSGIEEETVKEKKRKGNKQSKHGPGRPKGNKNQENVSHLSVSSASPTSSV
Reactivity Notes
Immunogen displays the following percentage of sequence identity for non-tested species: Mouse (89%), Rat (85%)
Clonality
Polyclonal
Host
Rabbit
Isotype
IgG
Scientific Data Images for AF10 Antibody - BSA Free
Immunocytochemistry/ Immunofluorescence: AF10 Antibody [NBP1-90222]
Immunocytochemistry/Immunofluorescence: AF10 Antibody [NBP1-90222] - Staining of human cell line A-431 shows localization to nucleoplasm.Immunohistochemistry-Paraffin: AF10 Antibody [NBP1-90222]
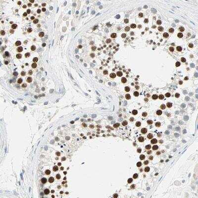
Immunohistochemistry-Paraffin: AF10 Antibody [NBP1-90222] - Staining of human testis shows strong nuclear positivity in cells of seminiferus ducts.Chromatin Immunoprecipitation-exo-Seq: AF10 Antibody - BSA Free [NBP1-90222]
ChIP-Exo-Seq composite graph for Anti-MLLT10 (NBP1-90222) tested in K562 cells. Strand-specific reads (blue: forward, red: reverse) and IgG controls (black: forward, grey: reverse) are plotted against the distance from a composite set of reference binding sites. The antibody exhibits robust target enrichment compared to a non-specific IgG control and precisely reveals its structural organization around the binding site. Data generated by Prof. B. F. Pugh´s Lab at Cornell University.Applications for AF10 Antibody - BSA Free
Application
Recommended Usage
Chromatin Immunoprecipitation-exo-Seq
1-10ug per reaction
Immunocytochemistry/ Immunofluorescence
0.25-2 ug/ml
Immunohistochemistry
1:200 - 1:500
Immunohistochemistry-Paraffin
1:200 - 1:500
Application Notes
For IHC-Paraffin, HIER pH 6 retrieval is recommended. Immunocytochemistry/Immunofluorescence Fixation Permeabilization: Use PFA/Triton X-100.
Formulation, Preparation, and Storage
Purification
Affinity purified
Formulation
PBS (pH 7.2) and 40% Glycerol
Format
BSA Free
Preservative
0.02% Sodium Azide
Concentration
Concentrations vary lot to lot. See vial label for concentration. If unlisted please contact technical services.
Shipping
The product is shipped with polar packs. Upon receipt, store it immediately at the temperature recommended below.
Stability & Storage
Store at 4C short term. Aliquot and store at -20C long term. Avoid freeze-thaw cycles.
Background: AF10
Alternate Names
AF10MGC75086, ALL1-fused gene from chromosome 10 protein, DKFZp686E10210, myeloid/lymphoid or mixed-lineage leukemia (trithorax (Drosophila) homolog);translocated to, 10, myeloid/lymphoid or mixed-lineage leukemia (trithorax homolog, Drosophila);translocated to, 10, protein AF-10, type I AF10 protein
Entrez Gene IDs
8028 (Human)
Gene Symbol
MLLT10
UniProt
Additional AF10 Products
Product Documents for AF10 Antibody - BSA Free
Product Specific Notices for AF10 Antibody - BSA Free
This product is for research use only and is not approved for use in humans or in clinical diagnosis. Primary Antibodies are guaranteed for 1 year from date of receipt.
Loading...
Loading...
Loading...
Loading...