Skip to main content

Adiponectin/Acrp30 Antibody - BSA Free

Novus Biologicals, part of Bio-Techne | Catalog # NBP1-77217

Novus Biologicals, part of Bio-Techne

Key Product Details

Species Reactivity

Human, Mouse, Rat

Applications

Immunohistochemistry, Immunohistochemistry-Paraffin, Western Blot, ELISA, Immunocytochemistry/ Immunofluorescence

Label

Unconjugated

Antibody Source

Polyclonal Rabbit IgG

Format

BSA Free

Concentration

1 mg/ml

Product Specifications

Immunogen

Antibody was raised against a 15 amino acid synthetic peptide from near the carboxy terminus of human adiponectin. The immunogen is located within the last 50 amino acids of Adiponectin. Amino Acid Squence: YGEGERNGLYADNDND

Clonality

Polyclonal

Host

Rabbit

Isotype

IgG

Theoretical MW

26 kDa.
Disclaimer note: The observed molecular weight of the protein may vary from the listed predicted molecular weight due to post translational modifications, post translation cleavages, relative charges, and other experimental factors.

Description

Novus Biologicals Rabbit Adiponectin/Acrp30 Antibody - BSA Free (NBP1-77217) is a polyclonal antibody validated for use in IHC, WB, ELISA and ICC/IF. All Novus Biologicals antibodies are covered by our 100% guarantee.

Scientific Data Images for Adiponectin/Acrp30 Antibody - BSA Free

Western Blot: Adiponectin/Acrp30 AntibodyBSA Free [NBP1-77217]

Western Blot: Adiponectin/Acrp30 AntibodyBSA Free [NBP1-77217]

Western Blot: Adiponectin/Acrp30 Antibody [NBP1-77217] - analysis of adiponectin in HL60 cell lysate with adiponectin antibody at (A) 0.5, (B) 1, and (C) 2 ug/mL.
Adiponectin/Acrp30 Antibody - BSA Free

Immunocytochemistry/ Immunofluorescence: Adiponectin/Acrp30 Antibody - BSA Free [NBP1-77217] -

Immunocytochemistry/ Immunofluorescence: Adiponectin/Acrp30 Antibody - BSA Free [NBP1-77217] - Immunofluorescence of Adiponectin/Acrp30 in Rat Brain cells with Adiponectin/Acrp30 antibody at 10 ug/mL.
Adiponectin/Acrp30 Antibody - BSA Free

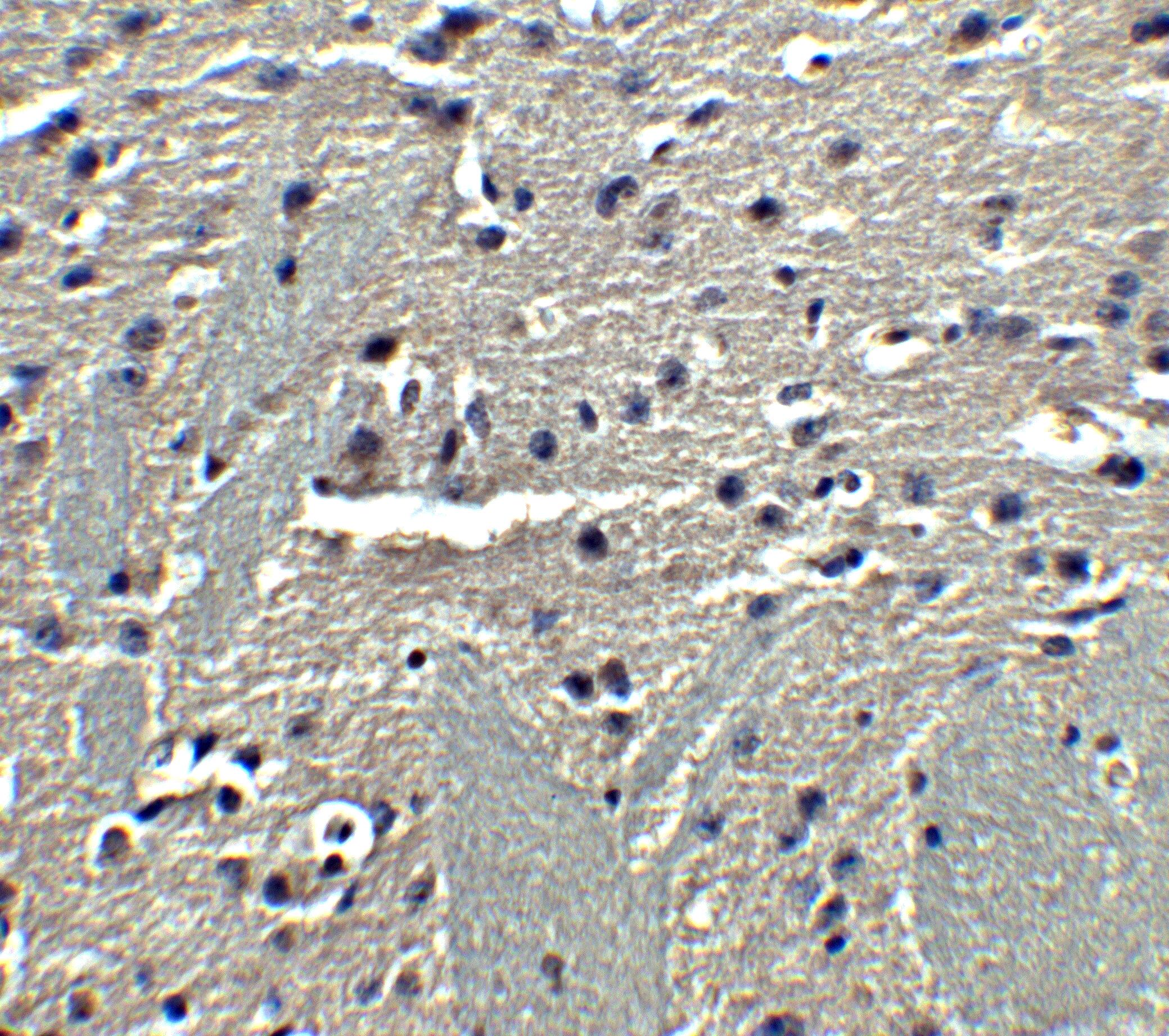
Immunohistochemistry: Adiponectin/Acrp30 Antibody - BSA Free [NBP1-77217] -

Immunohistochemistry: Adiponectin/Acrp30 Antibody - BSA Free [NBP1-77217] - Immunohistochemistry of Adiponectin in mouse brain tissue with Adiponectin antibody at 5 u/ml.

Applications for Adiponectin/Acrp30 Antibody - BSA Free

Application
Recommended Usage

Immunocytochemistry/ Immunofluorescence

20 ug/mL

Immunohistochemistry

5 ug/mL

Immunohistochemistry-Paraffin

5 ug/mL

Western Blot

0.5- 2 ug/ml

Formulation, Preparation, and Storage

Purification

Peptide affinity purified

Formulation

PBS

Format

BSA Free

Preservative

0.02% Sodium Azide

Concentration

1 mg/ml

Shipping

The product is shipped with polar packs. Upon receipt, store it immediately at the temperature recommended below.

Stability & Storage

Store at 4C short term. Aliquot and store at -20C long term. Avoid freeze-thaw cycles.

Background: Adiponectin/Acrp30

Adipose tissue of an organism plays a major role in regulating physiologic and pathologic processes such as metabolism and immunity by producing and secreting a variety of bioactive molecules termed adipokines. One highly conserved family of adipokines is adiponectin/ACRP30 and its structural and functional paralogs, the C1q/tumor necrosis factor-alpha-related proteins (CTRPs) 1-7. Unlike the CTRPs, which are expressed in a wide variety of tissues, adiponectin is reported to be expressed exclusively by differentiated adipocytes. These proteins are thought to act mainly on liver and muscle tissue to control glucose and lipid metabolism. An analysis of the crystal structure of adiponectin revealed a structural and evolutionary link between TNF and C1q-containing proteins, suggesting that these proteins arose from a common ancestral innate immunity gene. It is present in high levels in normal human plasma, but is reduced in obese subjects and often in those with increased insulin resistance and type 2 diabetes, suggesting that adiponectin may be a useful pharmacological target in various metabolic diseases.

Alternate Names

Acrp30, AdipoQ, ApM1, GBP28

Gene Symbol

ADIPOQ

UniProt

Additional Adiponectin/Acrp30 Products

Product Documents for Adiponectin/Acrp30 Antibody - BSA Free

Certificate of Analysis

To download a Certificate of Analysis, please enter a lot number in the search box below.

Product Specific Notices for Adiponectin/Acrp30 Antibody - BSA Free

This product is for research use only and is not approved for use in humans or in clinical diagnosis. Primary Antibodies are guaranteed for 1 year from date of receipt.

Loading...
Loading...
Loading...
Loading...