Skip to main content

ADGB Antibody - BSA Free

Novus Biologicals, part of Bio-Techne | Catalog # NBP2-37881

Novus Biologicals, part of Bio-Techne
Catalog #
Availability
Size / Price
Qty
Loading...
NBP2-37881-25ul
NBP2-37881

Key Product Details

Validated by

Orthogonal Validation

Species Reactivity

Human

Applications

Immunohistochemistry, Immunohistochemistry-Paraffin

Label

Unconjugated

Antibody Source

Polyclonal Rabbit IgG

Format

BSA Free

Concentration

Concentrations vary lot to lot. See vial label for concentration. If unlisted please contact technical services.

Product Specifications

Immunogen

This antibody was developed against a recombinant protein corresponding to amino acids: DGLNLEREIVSQTTATQEKSQEELPTTNNSVSKEIWLDFEDFCVCFQNIYIFHKPSSYCLNFQKSEFKFSEERVSYYLFVDSLKPIELLVCFSALVR

Reactivity Notes

Immunogen displays the following percentage of sequence identity for non-tested species: Rat (80%)

Clonality

Polyclonal

Host

Rabbit

Isotype

IgG

Scientific Data Images for ADGB Antibody - BSA Free

Immunohistochemistry-Paraffin: ADGB Antibody [NBP2-37881]

Immunohistochemistry-Paraffin: ADGB Antibody [NBP2-37881]

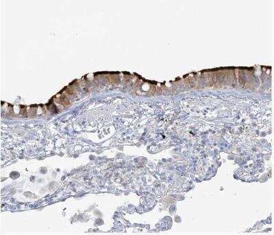
Immunohistochemistry-Paraffin: ADGB Antibody [NBP2-37881] - Analysis in human fallopian tube and pancreas tissues. Corresponding ADGB RNA-seq data are presented for the same tissues.
Immunohistochemistry-Paraffin: ADGB Antibody [NBP2-37881]

Immunohistochemistry-Paraffin: ADGB Antibody [NBP2-37881]

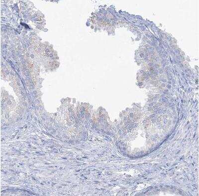
Immunohistochemistry-Paraffin: ADGB Antibody [NBP2-37881] - Staining of human prostate shows no positivity in glandular cells as expected.
Immunohistochemistry-Paraffin: ADGB Antibody [NBP2-37881]

Immunohistochemistry-Paraffin: ADGB Antibody [NBP2-37881]

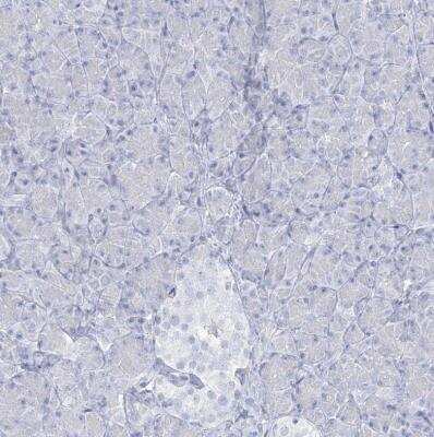
Immunohistochemistry-Paraffin: ADGB Antibody [NBP2-37881] - Staining of human pancreas shows no positivity in exocrine glandular cells as expected.

Applications for ADGB Antibody - BSA Free

Application
Recommended Usage

Immunohistochemistry

1:200 - 1:500

Immunohistochemistry-Paraffin

1:200 - 1:500
Application Notes
For IHC-Paraffin, HIER pH 6 retrieval is recommended.

Formulation, Preparation, and Storage

Purification

Affinity purified

Formulation

PBS (pH 7.2) and 40% Glycerol

Format

BSA Free

Preservative

0.02% Sodium Azide

Concentration

Concentrations vary lot to lot. See vial label for concentration. If unlisted please contact technical services.

Shipping

The product is shipped with polar packs. Upon receipt, store it immediately at the temperature recommended below.

Stability & Storage

Store at 4C short term. Aliquot and store at -20C long term. Avoid freeze-thaw cycles.

Background: ADGB

Alternate Names

androglobin, C6orf103, Calpain-7-Like Protein, CAPN7L, Chromosome 6 Open Reading Frame 103

Gene Symbol

ADGB

UniProt

Additional ADGB Products

Product Documents for ADGB Antibody - BSA Free

Certificate of Analysis

To download a Certificate of Analysis, please enter a lot number in the search box below.

Product Specific Notices for ADGB Antibody - BSA Free

This product is for research use only and is not approved for use in humans or in clinical diagnosis. Primary Antibodies are guaranteed for 1 year from date of receipt.

Loading...
Loading...
Loading...
Loading...