Skip to main content

Adenylate Cyclase 8 Antibody (ADCY8/7573)

Novus Biologicals, part of Bio-Techne | Catalog # NBP3-23609

Novus Biologicals, part of Bio-Techne
Catalog #
Availability
Size / Price
Qty
Loading...
NBP3-23609-20ug
NBP3-23609-100ug

Key Product Details

Species Reactivity

Human

Applications

Immunohistochemistry-Paraffin

Label

Unconjugated

Antibody Source

Monoclonal Mouse IgG2 kappa Clone # ADCY8/7573

Concentration

0.2 mg/ml

Product Specifications

Immunogen

Recombinant fragment (around aa1-200) of human Adenylate Cyclase 8 protein (exact sequence is proprietary)

Localization

Cell surface. Multi-pass membrane protein. Cytoplasm.

Clonality

Monoclonal

Host

Mouse

Isotype

IgG2 kappa

Description

Store at 2 to 8C. Non-hazardous. No MSDS required.

Scientific Data Images for Adenylate Cyclase 8 Antibody (ADCY8/7573)

Adenylate Cyclase 8 Antibody (ADCY8/7573)

Immunohistochemistry-Paraffin: Adenylate Cyclase 8 Antibody (ADCY8/7573) [NBP3-23609] -

Formalin-fixed, paraffin-embedded human salivary gland stained with Adenylate Cyclase 8 antibody (ADCY8/7573). HIER: Tris/EDTA, pH9.0, 45min. Secondary: HRP-polymer, 30min. DAB, 5min.
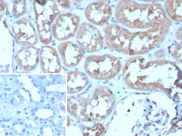
Adenylate Cyclase 8 Antibody (ADCY8/7573)

Immunohistochemistry-Paraffin: Adenylate Cyclase 8 Antibody (ADCY8/7573) [NBP3-23609] -

Formalin-fixed, paraffin-embedded human kidney stained with Adenylate Cyclase 8 antibody (ADCY8/7573). Inset: PBS instead of primary antibody; secondary only negative control.

Applications for Adenylate Cyclase 8 Antibody (ADCY8/7573)

Application
Recommended Usage

Immunohistochemistry-Paraffin

1-2ug/ml
Application Notes
Immunohistochemistry-Paraffin: 1-2ug/ml for 30 minutes at RT. Staining of formalin-fixed tissues requires heating tissue sections in 10mM Tris with 1mM EDTA, pH 9.0, for 45 min at 95C followed by cooling at RT for 20 minutes. Optimal dilution for a specific application should be determined.

Formulation, Preparation, and Storage

Purification

Protein A or G purified

Formulation

10mM PBS with 0.05% BSA

Preservative

0.05% Sodium Azide

Concentration

0.2 mg/ml

Shipping

The product is shipped with polar packs. Upon receipt, store it immediately at the temperature recommended below.

Stability & Storage

Store at 4C.

Background: Adenylate Cyclase 8

ADCY8, also known as Adenylate cyclase type 8, is a 140 kDa 1,251 amino acid protein, and is involved in the encoding of a membrane-bound enzyme that has to do with learning. This protein has also been shown to have interactions with CALM1, CALM2, CALM3, PPP2CA, and CFTR in the Signaling by FGFR, PKA activation in glucagon signaling, DAG and IP3 signaling, Regulation of Water Balance by Renal Aquaporins, and Opioid Signalling pathway. Disease research is currently being studied with relation to ADCY8 and drug dependence, bipolar disorder, cholera, and Alzheimer's disease.

Long Name

Adenylate cyclase type 8

Alternate Names

AC8, ADCY8, Adenylyl cyclase 8

Gene Symbol

ADCY8

Additional Adenylate Cyclase 8 Products

Product Documents for Adenylate Cyclase 8 Antibody (ADCY8/7573)

Certificate of Analysis

To download a Certificate of Analysis, please enter a lot number in the search box below.

Product Specific Notices for Adenylate Cyclase 8 Antibody (ADCY8/7573)

This product is for research use only and is not approved for use in humans or in clinical diagnosis. Primary Antibodies are guaranteed for 1 year from date of receipt.

Loading...
Loading...
Loading...
Loading...