Skip to main content

Adenosine Deaminase/ADA Antibody - BSA Free

Novus Biologicals, part of Bio-Techne | Catalog # NBP1-87404

Novus Biologicals, part of Bio-Techne
Catalog #
Availability
Size / Price
Qty
Loading...
NBP1-87404
NBP1-87404-25ul

Key Product Details

Validated by

Orthogonal Validation, Independent Antibodies

Species Reactivity

Validated:

Human, Mouse, Rat

Cited:

Human, Mouse

Applications

Validated:

Immunohistochemistry, Immunohistochemistry-Paraffin, Western Blot, Flow Cytometry, Immunocytochemistry/ Immunofluorescence, Knockdown Validated

Cited:

Western Blot, Flow Cytometry, Knockdown Validated

Label

Unconjugated

Antibody Source

Polyclonal Rabbit IgG

Format

BSA Free

Concentration

Concentrations vary lot to lot. See vial label for concentration. If unlisted please contact technical services.

Product Specifications

Immunogen

This antibody was developed against Recombinant Protein corresponding to amino acids: GDETIPGSSLLPGHVQAYQEAVKSGIHRTVHAGEVGSAEVVKEAVDILKTERLGHGYHTLEDQALYNRLRQENMHFEICPWSSYLTGAWKPDTEHAVIRLKNDQANYSLNTDDPLIFKSTLDTDYQMTKRDMGFTEEE

Clonality

Polyclonal

Host

Rabbit

Isotype

IgG

Theoretical MW

41 kDa.
Disclaimer note: The observed molecular weight of the protein may vary from the listed predicted molecular weight due to post translational modifications, post translation cleavages, relative charges, and other experimental factors.

Description

Novus Biologicals Rabbit Adenosine Deaminase/ADA Antibody - BSA Free (NBP1-87404) is a polyclonal antibody validated for use in IHC, WB, Flow and ICC/IF. Anti-Adenosine Deaminase/ADA Antibody: Cited in 4 publications. All Novus Biologicals antibodies are covered by our 100% guarantee.

Scientific Data Images for Adenosine Deaminase/ADA Antibody - BSA Free

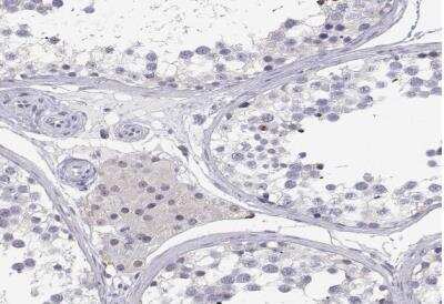
Immunohistochemistry-Paraffin: Adenosine Deaminase/ADA Antibody [NBP1-87404]

Immunohistochemistry-Paraffin: Adenosine Deaminase/ADA Antibody [NBP1-87404]

Immunohistochemistry-Paraffin: Adenosine Deaminase/ADA Antibody [NBP1-87404] - Analysis in human duodenum and testis tissues using NBP1-87404 antibody. Corresponding Adenosine Deaminase/ADA RNA-seq data are presented for the same tissues.
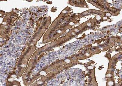
Immunohistochemistry-Paraffin: Adenosine Deaminase/ADA Antibody [NBP1-87404]

Immunohistochemistry-Paraffin: Adenosine Deaminase/ADA Antibody [NBP1-87404]

Immunohistochemistry-Paraffin: Adenosine Deaminase/ADA Antibody [NBP1-87404] - Staining of human duodenum, small intestine, stomach and testis using Anti-Adenosine Deaminase/ADA antibody NBP1-87404 (A) shows similar protein distribution across tissues to independent antibody NBP1-90361 (B).
Western Blot: Adenosine Deaminase/ADA Antibody [NBP1-87404]

Western Blot: Adenosine Deaminase/ADA Antibody [NBP1-87404]

Western Blot: Adenosine Deaminase/ADA Antibody [NBP1-87404] - Analysis in mouse cell line NIH-3T3 and rat cell line NBT-II.

Applications for Adenosine Deaminase/ADA Antibody - BSA Free

Application
Recommended Usage

Flow Cytometry

Reported in the scientific literature (PMID: 25172498).

Immunocytochemistry/ Immunofluorescence

0.25-2 ug/ml

Immunohistochemistry

1:5000 - 1:10000

Immunohistochemistry-Paraffin

1:5000 - 1:10000

Knockdown Validated

Reported in the scientific literature (PMID: 31978345).

Western Blot

0.04 - 0.4 ug/ml
Application Notes
IHC-Paraffin, HIER pH 6 retrieval is recommended. ICC/IF, Fixation/Permeabilization: PFA/Triton X-100.

Formulation, Preparation, and Storage

Purification

Affinity purified

Formulation

PBS (pH 7.2) and 40% Glycerol

Format

BSA Free

Preservative

0.02% Sodium Azide

Concentration

Concentrations vary lot to lot. See vial label for concentration. If unlisted please contact technical services.

Shipping

The product is shipped with polar packs. Upon receipt, store it immediately at the temperature recommended below.

Stability & Storage

Store at 4C short term. Aliquot and store at -20C long term. Avoid freeze-thaw cycles.

Background: Adenosine Deaminase/ADA

Adenosine deaminase is an enzyme involved in purine metabolism. It is needed for the breakdown of adenosine from food and from the turnover of nucleic acids in tissues. It irreversibly deaminates adenosine, converting it to the related nucleoside inosine by the removal of an amine group. Inosine can then be deribosylated (removed from ribose) by another enzyme called purine nucleoside phosphorylase (PNP), converting it to hypoxanthine. Mutations in the gene for adenosine deaminase causing it to not be expressed are one cause of severe combined immunodeficiency (SCID). Mutations causing it to be overexpressed are one cause of hemolytic anemia. There is some evidence that a different allelle (ADA2) may lead to autism. There are 2 isoforms of ADA: ADA1 and ADA2. ADA1 is found in most body cells, particularly lymphocytes and macrophages, where it is present not only in the cytosol but also as the ecto- form on the cell membrane attached to a protein called CD26. ADA2 has only been found in the macrophage where it co-exists with ADA1 where the two isoforms regulate the ratio of adenosine to deoxyadenosine to potentiate the killing of parasites. ADA2 is the predominant form present in human plasma and is increased in many diseases, particularly those associated with the immune system: for example rheumatoid arthritis, psoriasis and sarcoidosis. The plasma AD2 isoform is also increased in most cancers.

Long Name

Adenosine Aminohydrolase

Alternate Names

ADA, ADA1

Entrez Gene IDs

100 (Human)

Gene Symbol

ADA

UniProt

Additional Adenosine Deaminase/ADA Products

Product Documents for Adenosine Deaminase/ADA Antibody - BSA Free

Certificate of Analysis

To download a Certificate of Analysis, please enter a lot number in the search box below.

Product Specific Notices for Adenosine Deaminase/ADA Antibody - BSA Free

This product is for research use only and is not approved for use in humans or in clinical diagnosis. Primary Antibodies are guaranteed for 1 year from date of receipt.

Loading...
Loading...
Loading...
Loading...
Loading...