Skip to main content

Adenine Nucleotide Translocator 2 Antibody

Novus Biologicals, part of Bio-Techne | Catalog # NBP3-12220

Novus Biologicals, part of Bio-Techne
Catalog #
Availability
Size / Price
Qty
Loading...
NBP3-12220

Key Product Details

Species Reactivity

Human, Mouse, Rat

Applications

Immunohistochemistry, Immunohistochemistry-Paraffin, Western Blot, ELISA, Immunocytochemistry/ Immunofluorescence, Immunoprecipitation

Label

Unconjugated

Antibody Source

Polyclonal Rabbit

Concentration

Please see the vial label for concentration. If unlisted please contact technical services.

Product Specifications

Immunogen

Synthetic peptide taken within amino acid region 150-200 on human ADP/ATP translocase 2. Sequence: AEREFRGLGDCLVKIYKSDGIKGLYQGFNVSVQGIIIYRAAYFGIYDTAK

Clonality

Polyclonal

Host

Rabbit

Description

Novus Biologicals Rabbit Adenine Nucleotide Translocator 2 Antibody (NBP3-12220) is a polyclonal antibody validated for use in IHC, WB, ELISA, ICC/IF and IP. All Novus Biologicals antibodies are covered by our 100% guarantee.

Scientific Data Images for Adenine Nucleotide Translocator 2 Antibody

Western Blot: Adenine Nucleotide Translocator 2 Antibody [NBP3-12220]

Western Blot: Adenine Nucleotide Translocator 2 Antibody [NBP3-12220]

Western Blot: Adenine Nucleotide Translocator 2 Antibody [NBP3-12220] - WB of NBP3-12220 wtih rat muscle on 14% SDS gel. 1:250 antiobdy dilution in DiluObuffer for 1 hour at room temperature. Apparent MW is 36 kDa.
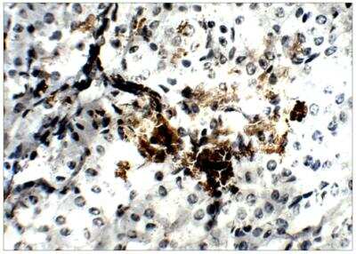
Immunohistochemistry-Paraffin: Adenine Nucleotide Translocator 2 Antibody [NBP3-12220]

Immunohistochemistry-Paraffin: Adenine Nucleotide Translocator 2 Antibody [NBP3-12220]

Immunohistochemistry-Paraffin: Adenine Nucleotide Translocator 2 Antibody [NBP3-12220] - Adenine Nucleotide translocator 2. 1:100 dilution with IHC blocking buffer. DAB (brown) staining and Hematoxylin QS (blue) counterstain. 40x magnification on leica DM4000B. FFPE section.

Applications for Adenine Nucleotide Translocator 2 Antibody

Application
Recommended Usage

ELISA

1:10000

Immunocytochemistry/ Immunofluorescence

1:100

Immunohistochemistry

1:100

Immunoprecipitation

1:200

Western Blot

1:500

Formulation, Preparation, and Storage

Purification

Affinity purified

Formulation

Contains Tris, HCl/glycine buffer (pH 7.4-7.8), 30% glycerol, 0.5% BSA, along with cryo-protective agents, and HEPES (exact storage and stabilization buffer information is proprietary).

Preservative

0.02% Sodium Azide

Concentration

Please see the vial label for concentration. If unlisted please contact technical services.

Shipping

The product is shipped with polar packs. Upon receipt, store it immediately at the temperature recommended below.

Stability & Storage

Store at 4C short term. Store at -20C long term. Avoid freeze-thaw cycles.

Background: Adenine Nucleotide Translocator 2

ADP/ATP translocase, the most abundant mitochondrial protein, is an integral component of the inner mitochondrial membrane. It facilitates exchange of ADP and ATP between the cytosol and the mitochondria, thereby linking the subcellular compartment of ATP production to those of ATP utilization. SLC25A5 is 1 of at least 3 transcriptionally active ADP/ATP translocase genes in humans (Chen et al., 1990 [PubMed 2157297]). Battini et al. (1987) [PubMed 3031073] cloned an ADP/ATP translocase gene from an Okayama-Berg library derived from SV40-transformed human fibroblasts. Ku et al. (1990) [PubMed 2168878] cloned and sequenced the ANT2 gene. Chen et al. (1990) [PubMed 2157297] isolated 7 ADP/ATP translocase pseudogenes from recombinant human genomic libraries. Each pseudogene sequence had more than 85% identity with the sequence of the translocase cDNA derived from fibroblast mRNA, but each had mutations that precluded synthesis of a functional protein.[supplied by OMIM]

Alternate Names

Adenine nucleotide translocator 2, adenine nucleotide translocator 2 (fibroblast), ADP, ADP/ATP carrier protein, ADP/ATP translocase 2, ANT2AAC2, 2F1, ATP carrier protein 2, ATP carrier protein, fibroblast isoform, solute carrier family 25 (mitochondrial carrier; adenine nucleotidetranslocator), member 5, Solute carrier family 25 member 5, T2, T3ANT 2

Gene Symbol

SLC25A5

Additional Adenine Nucleotide Translocator 2 Products

Product Documents for Adenine Nucleotide Translocator 2 Antibody

Certificate of Analysis

To download a Certificate of Analysis, please enter a lot number in the search box below.

Product Specific Notices for Adenine Nucleotide Translocator 2 Antibody

This product is for research use only and is not approved for use in humans or in clinical diagnosis. Primary Antibodies are guaranteed for 1 year from date of receipt.

Loading...
Loading...
Loading...
Loading...