ADAR Antibody
Novus Biologicals, part of Bio-Techne | Catalog # NBP1-90242
Key Product Details
Validated by
Independent Antibodies
Species Reactivity
Human
Applications
Immunohistochemistry, Immunohistochemistry-Paraffin, Western Blot, Immunocytochemistry/ Immunofluorescence, Knockdown Validated
Label
Unconjugated
Antibody Source
Polyclonal Rabbit IgG
Concentration
Concentrations vary lot to lot. See vial label for concentration. If unlisted please contact technical services.
Product Specifications
Immunogen
This antibody was developed against Recombinant Protein corresponding to amino acids:SDNQPEGMISESLDNLESMMPNKVRKIGELVRYLNTNPVGGLLEYARSHGFAAEFKLVDQSGPPHEPKFVYQAKVGGRWFPAVCAHSKKQGKQEAADAALRVLIGENEKAERMGFTEVTPVTGASLRRTMLLLSRSPEA
Reactivity Notes
Mouse (86%), Rat (85%).
Clonality
Polyclonal
Host
Rabbit
Isotype
IgG
Scientific Data Images for ADAR Antibody
Immunohistochemistry-Paraffin: ADAR Antibody [NBP1-90242]
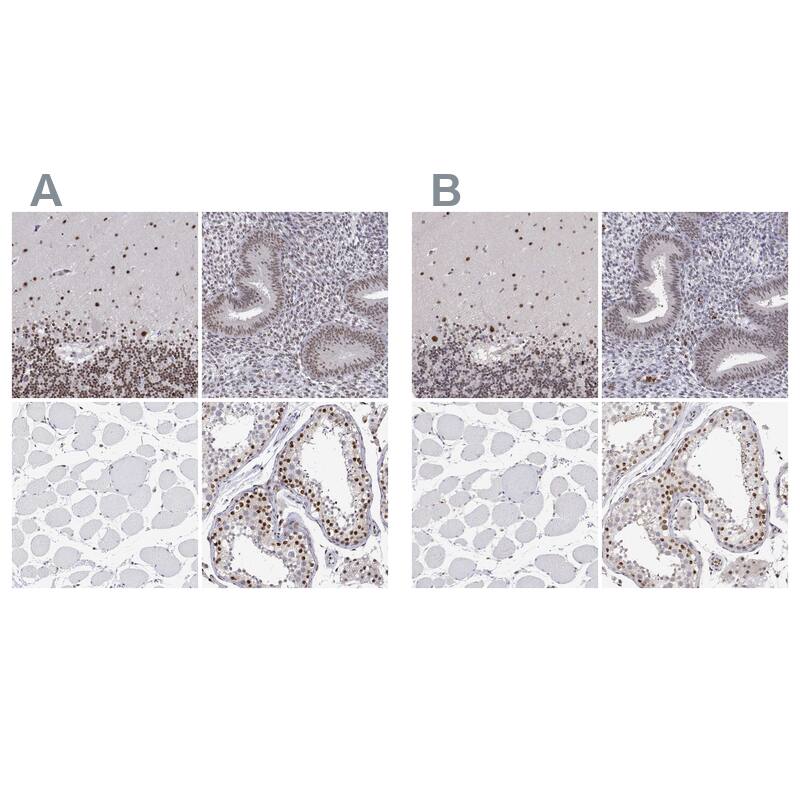
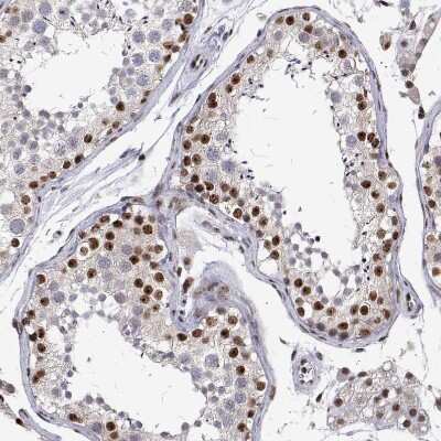
Immunohistochemistry-Paraffin: ADAR Antibody [NBP1-90242] - Staining in human testis and skeletal muscle tissues using NBP1-90242 antibody. Corresponding ADAR RNA-seq data are presented for the same tissues.Immunohistochemistry-Paraffin: ADAR Antibody [NBP1-90242]
Immunohistochemistry-Paraffin: ADAR Antibody [NBP1-90242] - Staining of human cerebellum shows strong nuclear positivity in all layers.Immunohistochemistry-Paraffin: ADAR Antibody [NBP1-90242]
Immunohistochemistry-Paraffin: ADAR Antibody [NBP1-90242] - Staining of human endometrium shows moderate nuclear positivity in glandular cells.Applications for ADAR Antibody
Application
Recommended Usage
Immunocytochemistry/ Immunofluorescence
0.25-2 ug/ml
Immunohistochemistry
1:500-1:1000
Immunohistochemistry-Paraffin
1:200 - 1:500
Western Blot
0.04 - 0.4 ug/ml
Application Notes
For IHC-Paraffin, HIER pH 6 retrieval is recommended. Immunocytochemistry/Immunofluorescence Fixation Permeabilization: PFA/Triton X-100
Formulation, Preparation, and Storage
Purification
Affinity purified
Formulation
PBS (pH 7.2) and 40% Glycerol
Preservative
0.02% Sodium Azide
Concentration
Concentrations vary lot to lot. See vial label for concentration. If unlisted please contact technical services.
Shipping
The product is shipped with polar packs. Upon receipt, store it immediately at the temperature recommended below.
Stability & Storage
Store at 4C short term. Aliquot and store at -20C long term. Avoid freeze-thaw cycles.
Background: ADAR
Long Name
Double-stranded RNA-specific adenosine deaminase
Alternate Names
ADAR1, DRADA, DSRAD, EC 3.5.4.37, G1P1, IFI-4, IFI4, K88DSRBP, p136
Gene Symbol
ADAR
UniProt
Additional ADAR Products
Product Documents for ADAR Antibody
Product Specific Notices for ADAR Antibody
This product is for research use only and is not approved for use in humans or in clinical diagnosis. Primary Antibodies are guaranteed for 1 year from date of receipt.
Loading...
Loading...
Loading...
Loading...