Skip to main content

ADAR Antibody (CL0176) - Azide and BSA Free

Novus Biologicals, part of Bio-Techne | Catalog # NBP3-44046

Novus Biologicals, part of Bio-Techne

Key Product Details

Validated by

Knockout/Knockdown, Orthogonal Validation

Species Reactivity

Human

Applications

Immunohistochemistry-Paraffin, Western Blot, Immunocytochemistry/ Immunofluorescence

Label

Unconjugated

Antibody Source

Monoclonal Mouse IgG1 Clone # CL0176

Format

Azide and BSA Free

Concentration

LYOPH mg/ml

Product Specifications

Immunogen

This antibody was generated using a recombinant protein sequence of P55265, with the exact immunogen sequence remaining proprietary.

Clonality

Monoclonal

Host

Mouse

Isotype

IgG1

Description

Novus Biologicals Mouse ADAR Antibody (CL0176) - Azide and BSA Free (NBP3-05500) is a monoclonal antibody validated for use in IHC, WB and ICC/IF. All Novus Biologicals antibodies are covered by our 100% guarantee.

Scientific Data Images for ADAR Antibody (CL0176) - Azide and BSA Free

ADAR Antibody (CL0176) - Azide and BSA Free Immunocytochemistry/ Immunofluorescence: ADAR Antibody [NBP3-44046]

Immunocytochemistry/ Immunofluorescence: ADAR Antibody [NBP3-44046]

Staining of A549 cells using the Anti-ADAR monoclonal antibody) .
ADAR Antibody (CL0176) - Azide and BSA Free Immunohistochemistry-Paraffin: ADAR Antibody [NBP3-44046]

Immunohistochemistry-Paraffin: ADAR Antibody [NBP3-44046]

Analysis in human cerebral cortex and skeletal muscle tissues using NBP3-44046 antibody. Corresponding ADAR RNA-seq data are presented for the same tissues.
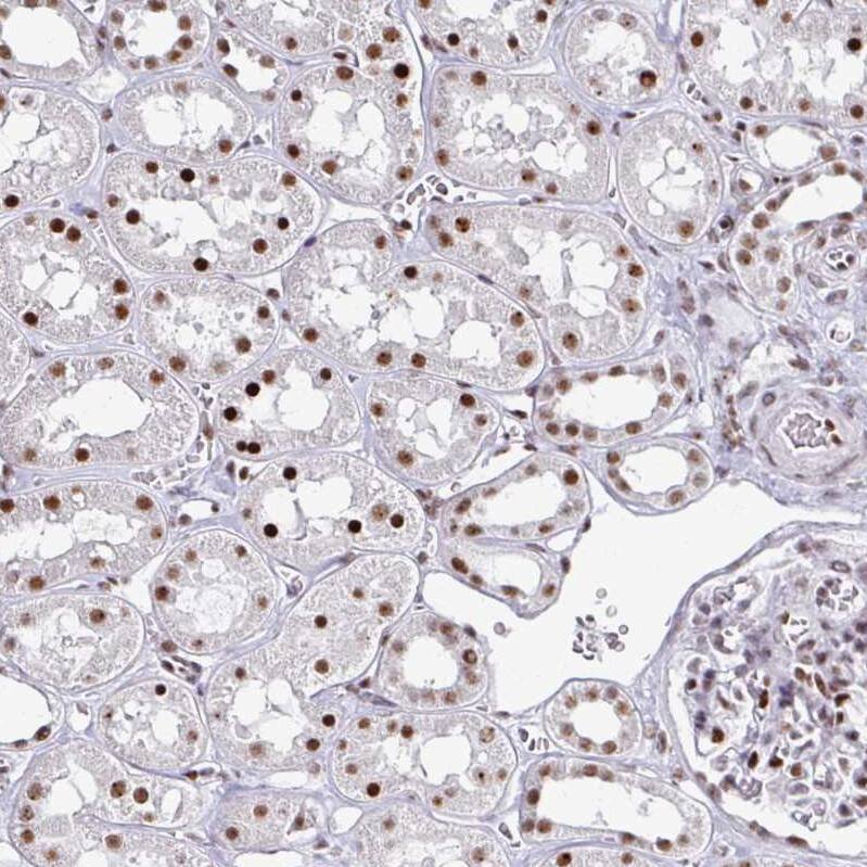
ADAR Antibody (CL0176) - Azide and BSA Free Immunohistochemistry-Paraffin: ADAR Antibody [NBP3-44046]

Immunohistochemistry-Paraffin: ADAR Antibody [NBP3-44046]

Staining of human kidney shows strong nuclear positivity in cells in tubules.

Applications for ADAR Antibody (CL0176) - Azide and BSA Free

Application
Recommended Usage

Immunocytochemistry/ Immunofluorescence

2-10 ug/ml

Immunohistochemistry-Paraffin

1:500 - 1:1000

Western Blot

1 ug/ml
Application Notes
For IHC-Paraffin, HIER pH 6 retrieval is recommended. For Immunocytochemistry/ Immunofluorescence/IF fixation permeabilization use PFA/Triton X-100.

Formulation, Preparation, and Storage

Purification

Protein A purified

Reconstitution

Centrifuge the vial of lyophilized antibody at 12,000 x g for 20 seconds. Reconstitute by adding sterile, distilled water to achieve a final antibody concentration of 1mg/ml.

Formulation

Lyophilized from a 0.2 um filtered solution in PBS with Trehalose

Format

Azide and BSA Free

Preservative

No Preservative

Concentration

LYOPH mg/ml

Shipping

The product is shipped at ambient temperature. Upon receipt, store it immediately at the temperature recommended below.

Stability & Storage

Store at 4C short term. Aliquot and store at -20C long term. Avoid freeze-thaw cycles.

Background: ADAR

ADAR encodes the enzyme responsible for RNA editing by site-specific deamination of adenosines. This enzyme destabilizes double stranded RNA through conversion of adenosine to inosine. Mutations in this gene have been associated with dyschromatosis symmetrica hereditaria. Alternate transcriptional splice variants, encoding different isoforms, have been characterized. [provided by RefSeq]

Long Name

Double-stranded RNA-specific adenosine deaminase

Alternate Names

ADAR1, DRADA, DSRAD, EC 3.5.4.37, G1P1, IFI-4, IFI4, K88DSRBP, p136

Gene Symbol

ADAR

Additional ADAR Products

Product Documents for ADAR Antibody (CL0176) - Azide and BSA Free

Certificate of Analysis

To download a Certificate of Analysis, please enter a lot number in the search box below.

Product Specific Notices for ADAR Antibody (CL0176) - Azide and BSA Free

This product is for research use only and is not approved for use in humans or in clinical diagnosis. Primary Antibodies are guaranteed for 1 year from date of receipt.

Loading...
Loading...
Loading...
Loading...
Loading...