Skip to main content

ADAMTS16 Antibody - BSA Free

Novus Biologicals, part of Bio-Techne | Catalog # NBP3-42002

Novus Biologicals, part of Bio-Techne
Catalog #
Availability
Size / Price
Qty
Loading...
NBP3-42002

Key Product Details

Species Reactivity

Human

Applications

Western Blot

Label

Unconjugated

Antibody Source

Polyclonal Rabbit

Format

BSA Free

Concentration

0.5 mg/ml

Product Specifications

Immunogen

Immunized with recombinant Human ADAMTS16 (Uniprot#: Q8TE57; Leu290-Pro641 (Uniprot#: Q8TE57)

Clonality

Polyclonal

Host

Rabbit

Description

Novus Biologicals Rabbit ADAMTS16 Antibody - BSA Free (NBP3-42002) is a polyclonal antibody validated for use in WB. All Novus Biologicals antibodies are covered by our 100% guarantee.

Scientific Data Images for ADAMTS16 Antibody - BSA Free

ADAMTS16 Antibody

Western Blot: ADAMTS16 Antibody [NBP3-42002] -

Western Blot: ADAMTS16 Antibody [NBP3-42002] - Sample: Recombinant ADAMTS16, Human.
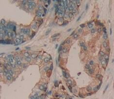
ADAMTS16 Antibody

Immunohistochemistry-Paraffin: ADAMTS16 Antibody [NBP3-42002] -

Immunohistochemistry-Paraffin: ADAMTS16 Antibody [NBP3-42002] - Used in DAB staining on fromalin fixed paraffin- embedded Kidney tissue

Applications for ADAMTS16 Antibody - BSA Free

Application
Recommended Usage

Western Blot

0.01-2ug/mL

Formulation, Preparation, and Storage

Purification

Antigen and protein A Affinity-purified

Formulation

0.01M PBS, pH7.4, 50% glycerol

Format

BSA Free

Preservative

0.05% Proclin 300

Concentration

0.5 mg/ml

Shipping

The product is shipped with polar packs. Upon receipt, store it immediately at the temperature recommended below.

Stability & Storage

Store at 4C short term. Aliquot and store at -20C long term. Avoid freeze-thaw cycles.

Background: ADAMTS16

The ADAMTS16 gene encodes a member of the ADAMTS (a disintegrin and metalloproteinase with thrombospondin motifs) proteinfamily. ADAMTS family members share several distinct protein modules, including a propeptide region, ametalloproteinase domain, a disintegrin-

Alternate Names

A disintegrin and metalloproteinase with thrombospondin motifs 16, ADAM metallopeptidase with thrombospondin type 1 motif, 16, ADAMTS16s

Gene Symbol

ADAMTS16

Additional ADAMTS16 Products

Product Documents for ADAMTS16 Antibody - BSA Free

Certificate of Analysis

To download a Certificate of Analysis, please enter a lot number in the search box below.

Product Specific Notices for ADAMTS16 Antibody - BSA Free

This product is for research use only and is not approved for use in humans or in clinical diagnosis. Primary Antibodies are guaranteed for 1 year from date of receipt.

Loading...
Loading...
Loading...
Loading...