Skip to main content

ADAM12 Antibody - BSA Free

Novus Biologicals, part of Bio-Techne | Catalog # NBP2-33940

Novus Biologicals, part of Bio-Techne
Catalog #
Availability
Size / Price
Qty
Loading...
NBP2-33940
NBP2-33940-25ul

Key Product Details

Validated by

Orthogonal Validation

Species Reactivity

Human

Applications

Immunohistochemistry, Immunohistochemistry-Paraffin, Western Blot

Label

Unconjugated

Antibody Source

Polyclonal Rabbit IgG

Format

BSA Free

Concentration

Concentrations vary lot to lot. See vial label for concentration. If unlisted please contact technical services.

Product Specifications

Immunogen

This antibody was developed against a recombinant protein corresponding to amino acids: VTLAHELGHNFGMNHDTLDRGCSCQMAVEKGGCIMNASTGYPFPMVFSSCSRKDLETSLEKGMGVCLFNLPEVRESFGGQKCGNRFVEEG

Reactivity Notes

Immunogen displays the following percentage of sequence identity for non-tested species: Mouse (86%), Rat (84%)

Clonality

Polyclonal

Host

Rabbit

Isotype

IgG

Description

Novus Biologicals Rabbit ADAM12 Antibody - BSA Free (NBP2-33940) is a polyclonal antibody validated for use in IHC and WB. All Novus Biologicals antibodies are covered by our 100% guarantee.

Scientific Data Images for ADAM12 Antibody - BSA Free

Immunohistochemistry-Paraffin: ADAM12 Antibody [NBP2-33940]

Immunohistochemistry-Paraffin: ADAM12 Antibody [NBP2-33940]

Immunohistochemistry-Paraffin: ADAM12 Antibody [NBP2-33940] - Staining in human placenta and liver tissues . Corresponding ADAM12 RNA-seq data are presented for the same tissues.
Western Blot: ADAM12 Antibody [NBP2-33940]

Western Blot: ADAM12 Antibody [NBP2-33940]

Western Blot: ADAM12 Antibody [NBP2-33940] - Analysis in human cell line RT-4 and human cell line U-251 MG.
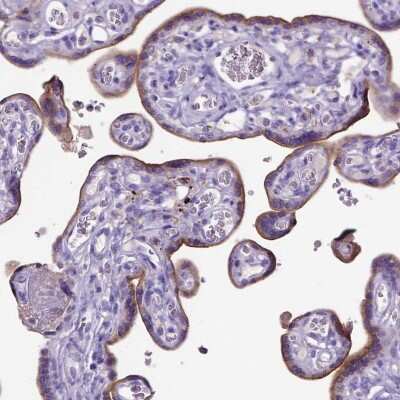
Immunohistochemistry-Paraffin: ADAM12 Antibody [NBP2-33940]

Immunohistochemistry-Paraffin: ADAM12 Antibody [NBP2-33940]

Immunohistochemistry-Paraffin: ADAM12 Antibody [NBP2-33940] - Staining of human placenta shows moderate positivity in trophoblastic cells.

Applications for ADAM12 Antibody - BSA Free

Application
Recommended Usage

Immunohistochemistry

1:200 - 1:500

Immunohistochemistry-Paraffin

1:200 - 1:500

Western Blot

0.04-0.4 ug/ml
Application Notes
For IHC-Paraffin, HIER pH 6 retrieval is recommended.

Formulation, Preparation, and Storage

Purification

Affinity purified

Formulation

PBS (pH 7.2) and 40% Glycerol

Format

BSA Free

Preservative

0.02% Sodium Azide

Concentration

Concentrations vary lot to lot. See vial label for concentration. If unlisted please contact technical services.

Shipping

The product is shipped with polar packs. Upon receipt, store it immediately at the temperature recommended below.

Stability & Storage

Store at 4C short term. Aliquot and store at -20C long term. Avoid freeze-thaw cycles.

Background: ADAM12

ADAM12 encodes a member of the ADAM (a disintegrin and metalloprotease) protein family. Members of this family are membrane-anchored proteins structurally related to snake venom disintegrins, and have been implicated in a variety of biological processes involving cell-cell and cell-matrix interactions, including fertilization, muscle development, and neurogenesis. This gene has two alternatively spliced transcripts: a shorter secreted form and a longer membrane-bound form. The shorter form is found to stimulate myogenesis.

Long Name

A Disintegrin and Metalloprotease-like Domain 12

Alternate Names

Meltrin alpha

Gene Symbol

ADAM12

UniProt

Additional ADAM12 Products

Product Documents for ADAM12 Antibody - BSA Free

Certificate of Analysis

To download a Certificate of Analysis, please enter a lot number in the search box below.

Product Specific Notices for ADAM12 Antibody - BSA Free

This product is for research use only and is not approved for use in humans or in clinical diagnosis. Primary Antibodies are guaranteed for 1 year from date of receipt.

Loading...
Loading...
Loading...
Loading...