Skip to main content

ADAM10 Antibody (CL13809) - BSA Free

Novus Biologicals, part of Bio-Techne | Catalog # NBP3-24578

Novus Biologicals, part of Bio-Techne
Catalog #
Availability
Size / Price
Qty
Loading...
NBP3-24578-100ul
NBP3-24578-25ul

Key Product Details

Validated by

Orthogonal Validation

Species Reactivity

Validated:

Human

Predicted:

Mouse (100%), Rat (100%). Backed by our 100% Guarantee.

Applications

Immunohistochemistry, Immunohistochemistry-Paraffin, Western Blot

Label

Unconjugated

Antibody Source

Monoclonal Mouse IgG1 Clone # CL13809

Format

BSA Free

Concentration

Concentrations vary lot to lot. See vial label for concentration. If unlisted please contact technical services.

Product Specifications

Immunogen

This antibody was developed using a synthetic peptide derived from O14672, with the exact immunogen sequence remaining proprietary.

Clonality

Monoclonal

Host

Mouse

Isotype

IgG1

Description

Novus Biologicals Mouse ADAM10 Antibody (CL13809) - BSA Free (NBP3-24578) is a monoclonal antibody validated for use in IHC and WB. All Novus Biologicals antibodies are covered by our 100% guarantee.

Scientific Data Images for ADAM10 Antibody (CL13809) - BSA Free

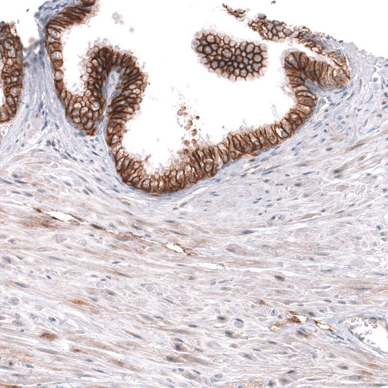
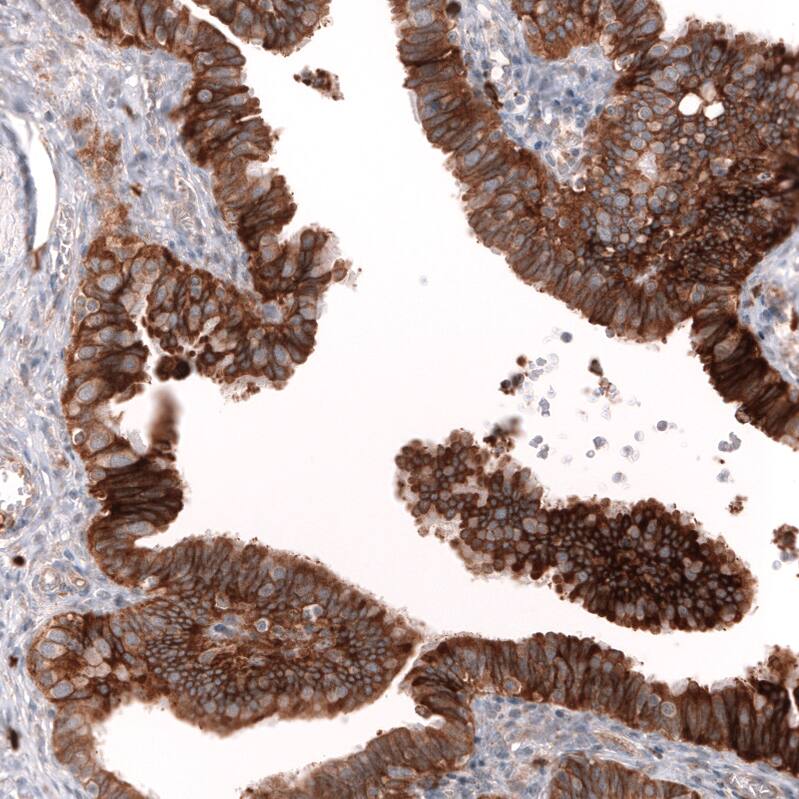
Immunohistochemistry-Paraffin: ADAM10 Antibody (CL13809) [NBP3-24578]

Analysis in human fallopian tube and skeletal muscle tissues using NBP3-24578 antibody. Corresponding ADAM10 RNA-seq data are presented for the same tissues.

Immunohistochemistry-Paraffin: ADAM10 Antibody (CL13809) [NBP3-24578]

Staining of human kidney cancer shows moderate to strong membranous positivity in tumor cells.

Immunohistochemistry-Paraffin: ADAM10 Antibody (CL13809) [NBP3-24578]

Staining of human skeletal muscle shows no positivity in myocytes as expected.

Applications for ADAM10 Antibody (CL13809) - BSA Free

Application
Recommended Usage

Immunohistochemistry

1:500 - 1:1000

Immunohistochemistry-Paraffin

1:500 - 1:1000

Western Blot

1ug/ml
Application Notes
For IHC-Paraffin, we recommend using Heat-Induced Epitope Retrieval (HIER) with a pH level of 6. This optimized retrieval method ensures the best results for your experiments.

Formulation, Preparation, and Storage

Purification

Protein A purified

Formulation

PBS, pH 7.2, 40% glycerol

Format

BSA Free

Preservative

0.02% Sodium Azide

Concentration

Concentrations vary lot to lot. See vial label for concentration. If unlisted please contact technical services.

Shipping

The product is shipped with polar packs. Upon receipt, store it immediately at the temperature recommended below.

Stability & Storage

Store at 4C short term. Aliquot and store at -20C long term. Avoid freeze-thaw cycles.

Background: ADAM10

Proinflammatory cytokine tumor necrosis factor-alpha (TNF-a) contributes to a variety of inflammatory responses and programmed cell death. Notch receptor and its ligand participate in cell fate decisions during vertebrate development and are associated with several human disorders, including a T-cell lymphoma. TNF-a, notch and its ligand delta are all membrane-bond molecules, which are cleaved by proteases to release mature proteins or functional receptor. ADAM10, a metalloprotease-disintegrin in the family of mammalian ADAM (for a disintegrin and metalloprotease), was recently identified to cleave TNF-a, notch and its ligand delta (1-3). The genes encoding human, mouse, and bovine ADAM10 were recently cloned and designated ADAM 10, kuzbanian (KUZ), and MADM, respectively, (1,2,4). ADAM10 mRNA is expressed in a variety of human and bovine tissues (1,4).

Long Name

A Disintegrin and Metalloprotease-like Domain 10

Alternate Names

CD156c, Kuzbanian, MADM

Gene Symbol

ADAM10

Additional ADAM10 Products

Product Documents for ADAM10 Antibody (CL13809) - BSA Free

Certificate of Analysis

To download a Certificate of Analysis, please enter a lot number in the search box below.

Product Specific Notices for ADAM10 Antibody (CL13809) - BSA Free

This product is for research use only and is not approved for use in humans or in clinical diagnosis. Primary Antibodies are guaranteed for 1 year from date of receipt.

Loading...
Loading...
Loading...
Loading...