Skip to main content

ACTL7B Antibody - BSA Free

Novus Biologicals, part of Bio-Techne | Catalog # NBP3-48225

Novus Biologicals, part of Bio-Techne
Catalog #
Availability
Size / Price
Qty
Loading...
NBP3-48225

Key Product Details

Species Reactivity

Human, Mouse, Rat

Applications

Immunohistochemistry, Western Blot, ELISA

Label

Unconjugated

Antibody Source

Polyclonal Rabbit IgG

Format

BSA Free

Concentration

Please see the vial label for concentration. If unlisted please contact technical services.

Product Specifications

Immunogen

actin-like 7B. (Uniprot# Q9Y614)

Clonality

Polyclonal

Host

Rabbit

Isotype

IgG

Theoretical MW

45 kDa.
Disclaimer note: The observed molecular weight of the protein may vary from the listed predicted molecular weight due to post translational modifications, post translation cleavages, relative charges, and other experimental factors.

Description

Novus Biologicals Rabbit ACTL7B Antibody - BSA Free (NBP3-48225) is a polyclonal antibody validated for use in IHC, WB and ELISA. All Novus Biologicals antibodies are covered by our 100% guarantee.

Scientific Data Images for ACTL7B Antibody - BSA Free

ACTL7B Antibody - BSA Free

Western Blot: ACTL7B Antibody - BSA Free [NBP3-48225] -

Western Blot: ACTL7B Antibody - BSA Free [NBP3-48225] - Human testis tissue were subjected to SDS PAGE followed by western blot with (ACTL7B antibody) at dilution of 1:300
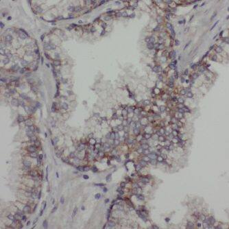
ACTL7B Antibody - BSA Free

Immunohistochemistry: ACTL7B Antibody - BSA Free [NBP3-48225] -

Immunohistochemistry: ACTL7B Antibody - BSA Free [NBP3-48225] - Immunohistochemistry of paraffin-embedded human prostate cancer using (ACTL7B antibody) at dilution of 1:100

Applications for ACTL7B Antibody - BSA Free

Application
Recommended Usage

Immunohistochemistry

1:20-1:200

Western Blot

1:500-1:5000

Formulation, Preparation, and Storage

Purification

Immunogen affinity purified

Formulation

PBS, 50% Glycerol, pH (7.3)

Format

BSA Free

Preservative

0.02% Sodium Azide

Concentration

Please see the vial label for concentration. If unlisted please contact technical services.

Shipping

The product is shipped with polar packs. Upon receipt, store it immediately at the temperature recommended below.

Stability & Storage

Store at -20C. Avoid freeze-thaw cycles.

Background: ACTL7B

ACTL7B is encoded by this gene is a member of a family of actin-related proteins (ARPs) which share significant amino acid sequence identity to conventional actins. Both actins and ARPs have an actin fold, which is an ATP-binding cleft, as a common feature. The ARPs are involved in diverse cellular processes, including vesicular transport, spindle orientation, nuclear migration and chromatin remodeling. This gene (ACTL7B), and related gene, ACTL7A, are intronless, and are located approximately 4 kb apart in a head-to-head orientation within the familial dysautonomia candidate region on 9q31. Based on mutational analysis of the ACTL7B gene in patients with this disorder, it was concluded that it is unlikely to be involved in the pathogenesis of dysautonomia. Unlike ACTL7A, the ACTL7B gene is expressed predominantly in the testis, however, its exact function is not known.

Alternate Names

actin-like 7B, actin-like 7-beta, actin-like protein 7B, Actin-like-7-beta, Tact1

Gene Symbol

ACTL7B

Additional ACTL7B Products

Product Documents for ACTL7B Antibody - BSA Free

Certificate of Analysis

To download a Certificate of Analysis, please enter a lot number in the search box below.

Product Specific Notices for ACTL7B Antibody - BSA Free

This product is for research use only and is not approved for use in humans or in clinical diagnosis. Primary Antibodies are guaranteed for 1 year from date of receipt.

Loading...
Loading...
Loading...
Loading...