Skip to main content

actin-related protein 2/3 complex subunit 1B Antibody - BSA Free

Novus Biologicals, part of Bio-Techne | Catalog # NBP1-90114

Novus Biologicals, part of Bio-Techne
Catalog #
Availability
Size / Price
Qty
Loading...
NBP1-90114
NBP1-90114-25ul

Key Product Details

Validated by

Orthogonal Validation

Species Reactivity

Validated:

Human

Cited:

Human

Predicted:

Mouse (94%), Rat (94%). Backed by our 100% Guarantee.

Applications

Validated:

Immunohistochemistry, Immunohistochemistry-Paraffin, Western Blot, Immunocytochemistry/ Immunofluorescence

Cited:

Western Blot, Immunocytochemistry/ Immunofluorescence

Label

Unconjugated

Antibody Source

Polyclonal Rabbit IgG

Format

BSA Free

Concentration

Concentrations vary lot to lot. See vial label for concentration. If unlisted please contact technical services.

Product Specifications

Immunogen

This antibody was developed against Recombinant Protein corresponding to amino acids: TVCLADADKKMAVATLASETLPLLALTFITDNSLVAAGHDCFPVLFTYDAAAGMLSFGGRLDVPKQSSQRGLTARERFQNLDKKASSEGGTAAGAGLDSLHKNSVSQISVLSGGKAKCSQFCTTGMDGGMSIWDVKSLESA

Clonality

Polyclonal

Host

Rabbit

Isotype

IgG

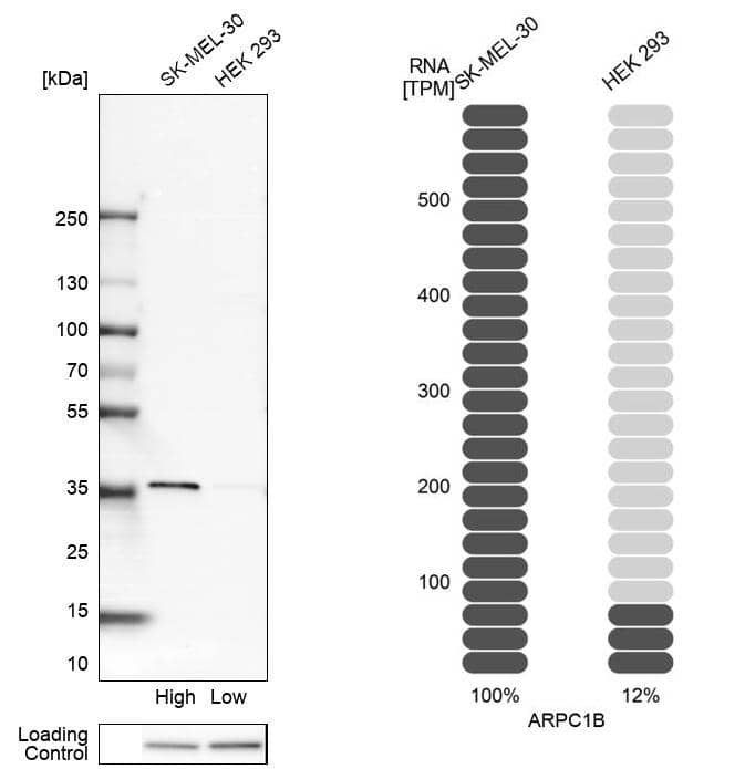
Theoretical MW

41 kDa.
Disclaimer note: The observed molecular weight of the protein may vary from the listed predicted molecular weight due to post translational modifications, post translation cleavages, relative charges, and other experimental factors.

Description

Novus Biologicals Rabbit actin-related protein 2/3 complex subunit 1B Antibody - BSA Free (NBP1-90114) is a polyclonal antibody validated for use in IHC, WB and ICC/IF. Anti-actin-related protein 2/3 complex subunit 1B Antibody: Cited in 4 publications. All Novus Biologicals antibodies are covered by our 100% guarantee.

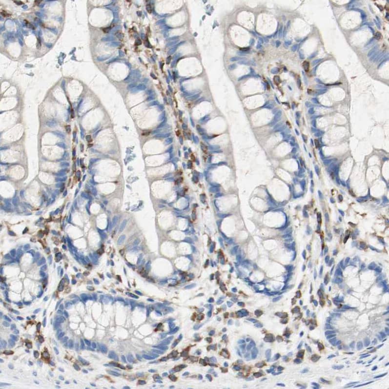
Scientific Data Images for actin-related protein 2/3 complex subunit 1B Antibody - BSA Free

actin-related protein 2/3 complex subunit 1B Antibody - BSA Free Immunohistochemistry: actin-related protein 2/3 complex subunit 1B Antibody - BSA Free [NBP1-90114]

Immunohistochemistry: actin-related protein 2/3 complex subunit 1B Antibody - BSA Free [NBP1-90114]

Analysis in human lymph node and skeletal muscle tissues using NBP1-90114 antibody. Corresponding ARPC1B RNA-seq data are presented for the same tissues.
actin-related protein 2/3 complex subunit 1B Antibody - BSA Free Immunohistochemistry: actin-related protein 2/3 complex subunit 1B Antibody - BSA Free [NBP1-90114]

Immunohistochemistry: actin-related protein 2/3 complex subunit 1B Antibody - BSA Free [NBP1-90114]

Staining of human lymph node shows strong cytoplasmic positivity in germinal center cells.
actin-related protein 2/3 complex subunit 1B Antibody - BSA Free Immunohistochemistry: actin-related protein 2/3 complex subunit 1B Antibody - BSA Free [NBP1-90114]

Immunohistochemistry: actin-related protein 2/3 complex subunit 1B Antibody - BSA Free [NBP1-90114]

Staining of human skeletal muscle shows no positivity in myocytes as expected.

Applications for actin-related protein 2/3 complex subunit 1B Antibody - BSA Free

Application
Recommended Usage

Immunocytochemistry/ Immunofluorescence

Reactivity reported in (PMID: 26655834).

Immunohistochemistry

1:200 - 1:500

Immunohistochemistry-Paraffin

1:200 - 1:500

Western Blot

0.04-0.4 ug/ml
Application Notes
For IHC-Paraffin, HIER pH 6 retrieval is recommended.

Formulation, Preparation, and Storage

Purification

Immunogen affinity purified

Formulation

PBS (pH 7.2) and 40% Glycerol

Format

BSA Free

Preservative

0.02% Sodium Azide

Concentration

Concentrations vary lot to lot. See vial label for concentration. If unlisted please contact technical services.

Shipping

The product is shipped with polar packs. Upon receipt, store it immediately at the temperature recommended below.

Stability & Storage

Store at 4C short term. Aliquot and store at -20C long term. Avoid freeze-thaw cycles.

Background: actin-related protein 2/3 complex subunit 1B

actin-related protein 2/3 complex subunit 1B encodes one of seven subunits of the human Arp2/3 protein complex. This subunit is a member of the SOP2 family of proteins and is most similar to the protein encoded by gene ARPC1A. The similarity between these two proteins suggests that they both may function as p41 subunit of the human Arp2/3 complex that has been implicated in the control of actin polymerization in cells. It is possible that the p41 subunit is involved in assembling and maintaining the structure of the Arp2/3 complex. Multiple versions of the p41 subunit may adapt the functions of the complex to different cell types or developmental stages.

Alternate Names

actin related protein 2/3 complex, subunit 1B (41 kD), actin related protein 2/3 complex, subunit 1B, 41kDa, actin-related protein 2/3 complex subunit 1B, ARC41p41-ARCp40-ARC, Arp2/3 complex 41 kDa subunit, ARP2/3 protein complex subunit p41

Entrez Gene IDs

10095 (Human)

Gene Symbol

ARPC1B

UniProt

Additional actin-related protein 2/3 complex subunit 1B Products

Product Documents for actin-related protein 2/3 complex subunit 1B Antibody - BSA Free

Certificate of Analysis

To download a Certificate of Analysis, please enter a lot number in the search box below.

Product Specific Notices for actin-related protein 2/3 complex subunit 1B Antibody - BSA Free

This product is for research use only and is not approved for use in humans or in clinical diagnosis. Primary Antibodies are guaranteed for 1 year from date of receipt.

Loading...
Loading...
Loading...
Loading...