Skip to main content

Actin Antibody (mAbGEa) - Azide and BSA Free

Novus Biologicals, part of Bio-Techne | Catalog # NBP2-80561

Novus Biologicals, part of Bio-Techne
Catalog #
Availability
Size / Price
Qty
Loading...
NBP2-80561

Key Product Details

Species Reactivity

Human, Mouse, Rat, Bovine, Chinese Hamster, Drosophila, Fungi, Plant, Protozoa, Rabbit, Sheep, Xenopus, Yeast, Zebrafish

Applications

Immunohistochemistry, Immunohistochemistry-Paraffin, Western Blot, ELISA, Flow Cytometry, Flow (Intracellular), Immunocytochemistry/ Immunofluorescence, Simple Western, CyTOF-ready

Label

Unconjugated

Antibody Source

Monoclonal Mouse IgM Kappa Clone # mAbGEa

Format

Azide and BSA Free

Concentration

1 mg/ml

Product Specifications

Immunogen

Purified recombinant Arabidopsis Actin protein [UniProt# P0CJ46]

Reactivity Notes

Chinese hamster data from customer review. Sordaria macrospora reactivity reported in scientific literature (PMID: 24720701).

Localization

Cytoplasm > cytoskeleton

Clonality

Monoclonal

Host

Mouse

Isotype

IgM Kappa

Description

Novus Biologicals Mouse Actin Antibody (mAbGEa) - Azide and BSA Free (NB100-74340) is a monoclonal antibody validated for use in IHC, WB, ELISA, Flow, ICC/IF and Simple Western. All Novus Biologicals antibodies are covered by our 100% guarantee.

Scientific Data Images for Actin Antibody (mAbGEa) - Azide and BSA Free

Western Blot: Actin Antibody (mAbGEa)Azide and BSA Free [NBP2-80561]

Western Blot: Actin Antibody (mAbGEa)Azide and BSA Free [NBP2-80561]

Western Blot: Actin Antibody (mAbGEa) - Azide and BSA Free [NBP2-80561] - Total protein from HeLa, 3T3, PC12 and Bovine normal tissue was separated on a 12% gel by SDS-PAGE, transferred to PVDF membrane and blocked in 5% non-fat milk in TBST. The membrane was probed with 1.0 ug/mL anti-Actin in 5% blocking buffer and detected with an anti-mouse IgM secondary antibody using chemiluminescence. Image from the standard format of this antibody.
Immunocytochemistry/ Immunofluorescence: Actin Antibody (mAbGEa) - Azide and BSA Free [NBP2-80561]

Immunocytochemistry/ Immunofluorescence: Actin Antibody (mAbGEa) - Azide and BSA Free [NBP2-80561]

Immunocytochemistry/Immunofluorescence: Actin Antibody (mAbGEa) - Azide and BSA Free [NBP2-80561] - NIH-3T3 cells were fixed for 10 minutes using 10% formalin and then permeabilized for 5 minutes using 1X PBS + 0.05% Triton X-100. The cells were incubated with anti-Actin (mAbGEa) at 5 ug/mL overnight at 4C and detected with an anti-Mouse IgM DyLight 488 (Green) at a 1:500 dilution. Nuclei were counterstained with DAPI (Blue). Cells were imaged using a 40X objective. Image from the standard format of this antibody.
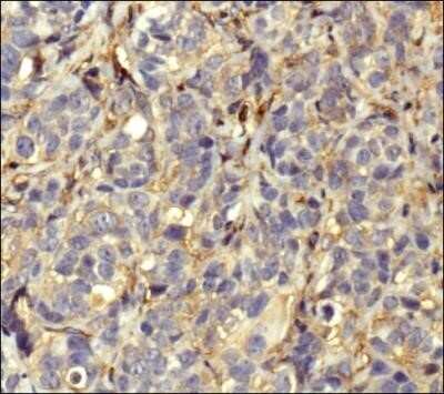
Immunohistochemistry-Paraffin: Actin Antibody (mAbGEa) - Azide and BSA Free [NBP2-80561]

Immunohistochemistry-Paraffin: Actin Antibody (mAbGEa) - Azide and BSA Free [NBP2-80561]

Immunohistochemistry-Paraffin: Actin Antibody (mAbGEa) - Azide and BSA Free [NBP2-80561] - Both normal and cancer biopsies of deparaffinized Human tonsil tissues. Image from the standard format of this antibody.

Applications for Actin Antibody (mAbGEa) - Azide and BSA Free

Application
Recommended Usage

ELISA

1:100 - 1:2000

Flow Cytometry

1:10 - 1:1000

Immunocytochemistry/ Immunofluorescence

1:20 - 1:100

Immunohistochemistry-Paraffin

1:200

Simple Western

1:25

Western Blot

1:100 - 1:1000
Application Notes
In Western blot, a band is seen at ~45 kDa representing Actin. The observed molecular weight of the protein may vary from the listed predicted molecular weight due to post translational modifications, post translation cleavages, relative charges, and other experimental factors. In IHC-P and ICC/IF, cytoplasmic staining is observed. Prior to immunostaining paraffin tissues, antigen retrieval with sodium citrate buffer (pH 6.0) is recommended. In Simple Western only 10 - 15 uL of the recommended dilution is used per data point.
See Simple Western Antibody Database for Simple Western validation: antibody dilution of 1:25. Separated by Size-Wes, Sally Sue/Peggy Sue.

Formulation, Preparation, and Storage

Purification

IgM purified

Formulation

PBS

Format

Azide and BSA Free

Preservative

No Preservative

Concentration

1 mg/ml

Shipping

The product is shipped with polar packs. Upon receipt, store it immediately at the temperature recommended below.

Stability & Storage

Store at 4C short term. Aliquot and store at -20C long term. Avoid freeze-thaw cycles.

Background: Actin

Actins are highly conserved proteins that are involved in various types of cell motility, and maintenance of the cytoskeleton. In vertebrates, three main groups of actin isoforms, alpha, beta and gamma have been identified. The alpha actins are found in muscle tissues and are a major constituent of the contractile apparatus. The beta and gamma actins co-exist in most cell types as components of the cytoskeleton, and as mediators of internal cell motility.

Alternate Names

ACTA, actin, alpha 1, skeletal muscle, alpha skeletal muscle, alpha skeletal muscle actin, alpha-actin-1, ASMA, CFTD, CFTDM, MPFD, NEM1, NEM2, NEM3

Gene Symbol

ACTA1

Additional Actin Products

Product Documents for Actin Antibody (mAbGEa) - Azide and BSA Free

Certificate of Analysis

To download a Certificate of Analysis, please enter a lot number in the search box below.

Product Specific Notices for Actin Antibody (mAbGEa) - Azide and BSA Free

This product is for research use only and is not approved for use in humans or in clinical diagnosis. Primary Antibodies are guaranteed for 1 year from date of receipt.

Loading...
Loading...
Loading...
Loading...
Loading...
Loading...