Skip to main content

ACSM1 Antibody - BSA Free

Novus Biologicals, part of Bio-Techne | Catalog # NBP3-41345

Novus Biologicals, part of Bio-Techne
Catalog #
Availability
Size / Price
Qty
Loading...
NBP3-41345

Key Product Details

Species Reactivity

Human, Mouse, Rat, Porcine

Applications

Immunohistochemistry, Immunohistochemistry-Paraffin, Western Blot

Label

Unconjugated

Antibody Source

Polyclonal Rabbit

Format

BSA Free

Concentration

0.5 mg/ml

Product Specifications

Immunogen

Immunized with recombinant Human ACSM1 (Uniprot#: Q08AH1; Ser370-Pro557 (Uniprot#: Q08AH1)

Clonality

Polyclonal

Host

Rabbit

Description

Novus Biologicals Rabbit ACSM1 Antibody - BSA Free (NBP3-41345) is a polyclonal antibody validated for use in IHC and WB. All Novus Biologicals antibodies are covered by our 100% guarantee.

Scientific Data Images for ACSM1 Antibody - BSA Free

ACSM1 Antibody

Western Blot: ACSM1 Antibody [NBP3-41345] -

Western Blot: ACSM1 Antibody [NBP3-41345] - Sample: Lane1: Rat Liver lysate; Lane2: Mouse Liver lysate Primary Ab: 0.01ug/ml NBP3-41345; Second Ab: 0.2ug/mL HRP-Linked Caprine Anti-Rabbit IgG Polyclonal Antibody
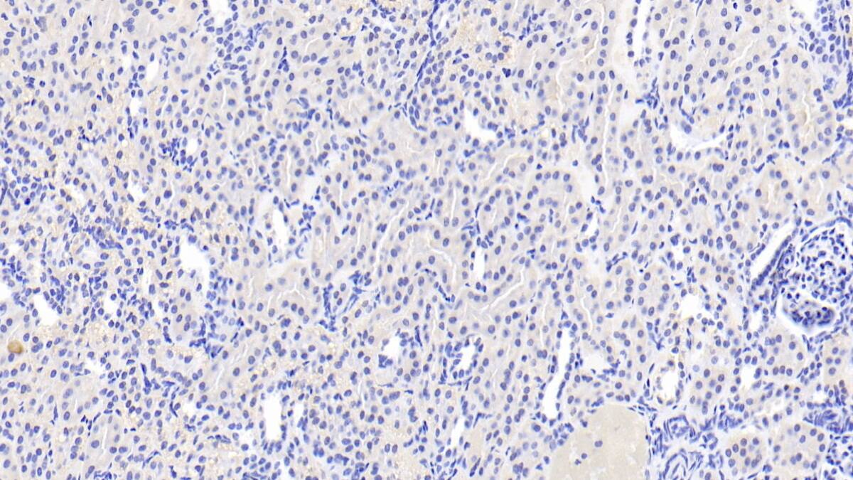
ACSM1 Antibody

Immunohistochemistry-Paraffin: ACSM1 Antibody [NBP3-41345] -

Immunohistochemistry-Paraffin: ACSM1 Antibody [NBP3-41345] - DAB staining on IHC-P; Samples: Human Kidney Tissue; Primary Ab: 20ug/ml NBP3-41345; Second Ab: 2ug/mL HRP-Linked Caprine Anti-Rabbit IgG Polyclonal Antibody
ACSM1 Antibody

Western Blot: ACSM1 Antibody [NBP3-41345] -

Western Blot: ACSM1 Antibody [NBP3-41345] - Sample: Lane1: Porcine Liver lysate; Lane2: Rat Eye lysate; Lane3: Mouse Gallbladder lysate Primary Ab: 2ug/ml NBP3-41345; Second Ab: 0.2ug/mL HRP-Linked Caprine Anti-Rabbit IgG Polyclonal Antibody

Applications for ACSM1 Antibody - BSA Free

Application
Recommended Usage

Immunohistochemistry

5-20ug/mL

Immunohistochemistry-Paraffin

5-20ug/mL

Western Blot

0.2-2ug/mL

Formulation, Preparation, and Storage

Purification

Antigen and protein A Affinity-purified

Formulation

0.01M PBS, pH7.4, 50% glycerol

Format

BSA Free

Preservative

0.05% Proclin 300

Concentration

0.5 mg/ml

Shipping

The product is shipped with polar packs. Upon receipt, store it immediately at the temperature recommended below.

Stability & Storage

Store at 4C short term. Aliquot and store at -20C long term. Avoid freeze-thaw cycles.

Background: ACSM1

ACSM1 has medium-chain fatty acid:CoA ligase activity with broad substrate specificity (in vitro). Acts on acidsfrom C(4) to C(11) and on the corresponding 3-hydroxy- and 2,3- or 3,4-unsaturated acids (in vitro). Functions asGTP-dependent lipoate-activating enz

Alternate Names

acyl-CoA synthetase medium-chain family member 1EC 6.2.1.2, acyl-coenzyme A synthetase ACSM1, mitochondrial, BUCS1, Butyrate CoA ligase, Butyrate--CoA ligase 1, butyryl Coenzyme A synthetase 1, Butyryl-coenzyme A synthetase 1, EC 6.2.1, LAE, Lipoate-activating enzyme, MACS1MGC150532, medium-chain acyl-CoA synthetase, Middle-chain acyl-CoA synthetase 1

Gene Symbol

ACSM1

Additional ACSM1 Products

Product Documents for ACSM1 Antibody - BSA Free

Certificate of Analysis

To download a Certificate of Analysis, please enter a lot number in the search box below.

Product Specific Notices for ACSM1 Antibody - BSA Free

This product is for research use only and is not approved for use in humans or in clinical diagnosis. Primary Antibodies are guaranteed for 1 year from date of receipt.

Loading...
Loading...
Loading...
Loading...