Skip to main content

ACSM1 Antibody - BSA Free

Novus Biologicals, part of Bio-Techne | Catalog # NBP2-15254

Novus Biologicals, part of Bio-Techne
Catalog #
Availability
Size / Price
Qty
Loading...
NBP2-15254

Key Product Details

Species Reactivity

Human

Applications

Immunohistochemistry, Immunohistochemistry-Paraffin, Western Blot

Label

Unconjugated

Antibody Source

Polyclonal Rabbit IgG

Format

BSA Free

Concentration

Concentrations vary lot to lot. See vial label for concentration. If unlisted please contact technical services.

Product Specifications

Immunogen

Recombinant protein encompassing a sequence within the center region of human ACSM1. The exact sequence is proprietary.

Localization

Mitochondrion matrix

Clonality

Polyclonal

Host

Rabbit

Isotype

IgG

Theoretical MW

65 kDa.
Disclaimer note: The observed molecular weight of the protein may vary from the listed predicted molecular weight due to post translational modifications, post translation cleavages, relative charges, and other experimental factors.

Description

Novus Biologicals Rabbit ACSM1 Antibody - BSA Free (NBP2-15254) is a polyclonal antibody validated for use in IHC and WB. All Novus Biologicals antibodies are covered by our 100% guarantee.

Scientific Data Images for ACSM1 Antibody - BSA Free

Western Blot: ACSM1 Antibody [NBP2-15254]

Western Blot: ACSM1 Antibody [NBP2-15254]

Western Blot: ACSM1 Antibody [NBP2-15254] - Sample (30 ug of whole cell lysate) A: Jurkat B: Raji C: THP-1 7. 5% SDS PAGE; antibody diluted at 1:1000.
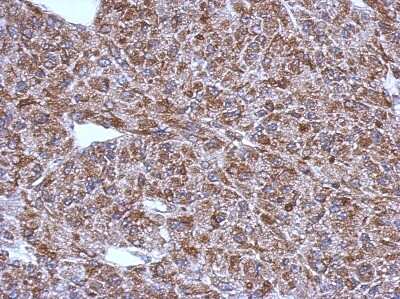
Immunohistochemistry-Paraffin: ACSM1 Antibody [NBP2-15254]

Immunohistochemistry-Paraffin: ACSM1 Antibody [NBP2-15254]

Immunohistochemistry-Paraffin: ACSM1 Antibody [NBP2-15254] - Paraffin-embedded U87 xenograft, using antibody at 1:500 dilution.

Applications for ACSM1 Antibody - BSA Free

Application
Recommended Usage

Immunohistochemistry

1:100-1:1000

Immunohistochemistry-Paraffin

1:100-1:1000

Western Blot

1:500-1:3000

Formulation, Preparation, and Storage

Purification

Antigen Affinity-purified

Formulation

0.1M Tris, 0.1M Glycine, 20% Glycerol

Format

BSA Free

Preservative

0.01% Thimerosal

Concentration

Concentrations vary lot to lot. See vial label for concentration. If unlisted please contact technical services.

Shipping

The product is shipped with polar packs. Upon receipt, store it immediately at the temperature recommended below.

Stability & Storage

Aliquot and store at -20C or -80C. Avoid freeze-thaw cycles.

Background: ACSM1

Has medium-chain fatty acid:CoA ligase activity with broad substrate specificity (in vitro). Acts on acids from C(4) to C(11) and on the corresponding 3-hydroxy- and 2,3- or 3,4-unsaturated acids (in vitro). Functions as GTP-dependent lipoate-activating enzyme that generates the substrate for lipoyltransferase.

Alternate Names

acyl-CoA synthetase medium-chain family member 1EC 6.2.1.2, acyl-coenzyme A synthetase ACSM1, mitochondrial, BUCS1, Butyrate CoA ligase, Butyrate--CoA ligase 1, butyryl Coenzyme A synthetase 1, Butyryl-coenzyme A synthetase 1, EC 6.2.1, LAE, Lipoate-activating enzyme, MACS1MGC150532, medium-chain acyl-CoA synthetase, Middle-chain acyl-CoA synthetase 1

Gene Symbol

ACSM1

Additional ACSM1 Products

Product Documents for ACSM1 Antibody - BSA Free

Certificate of Analysis

To download a Certificate of Analysis, please enter a lot number in the search box below.

Product Specific Notices for ACSM1 Antibody - BSA Free

This product is for research use only and is not approved for use in humans or in clinical diagnosis. Primary Antibodies are guaranteed for 1 year from date of receipt.

Loading...
Loading...
Loading...
Loading...

⚠ WARNING: This product can expose you to chemicals including mercury, which is known to the State of California to cause reproductive toxicity with developmental effects.  For more information go to www.P65Warnings.ca.gov.