Skip to main content

ACSL6 Antibody - BSA Free

Novus Biologicals, part of Bio-Techne | Catalog # NBP1-89269

Novus Biologicals, part of Bio-Techne
Catalog #
Availability
Size / Price
Qty
Loading...
NBP1-89269-25ul
NBP1-89269

Key Product Details

Validated by

Orthogonal Validation

Species Reactivity

Human

Applications

Immunohistochemistry, Immunohistochemistry-Paraffin

Label

Unconjugated

Antibody Source

Polyclonal Rabbit IgG

Format

BSA Free

Concentration

Concentrations vary lot to lot. See vial label for concentration. If unlisted please contact technical services.

Product Specifications

Immunogen

This antibody was developed against Recombinant Protein corresponding to amino acids: RYIINTADISTVIVDKPQKAVLLLEHVERKETPGLKLIILMDPFEEALKERGQKCGVVIKSMQAVEDCGQENHQAPVPPQPDDLSIVCFTSGTTGNPKGAMLTHGNVVADF

Reactivity Notes

Mouse (87%), Rat (86%).

Clonality

Polyclonal

Host

Rabbit

Isotype

IgG

Scientific Data Images for ACSL6 Antibody - BSA Free

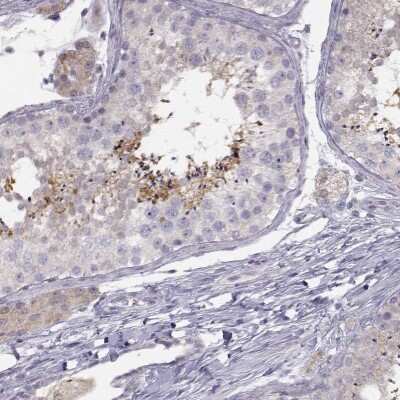
Immunohistochemistry-Paraffin: ACSL6 Antibody [NBP1-89269]

Immunohistochemistry-Paraffin: ACSL6 Antibody [NBP1-89269]

Immunohistochemistry-Paraffin: ACSL6 Antibody [NBP1-89269] - Staining in human testis and skin tissues using anti-ACSL6 antibody. Corresponding ACSL6 RNA-seq data are presented for the same tissues.
Immunohistochemistry-Paraffin: ACSL6 Antibody [NBP1-89269]

Immunohistochemistry-Paraffin: ACSL6 Antibody [NBP1-89269]

Immunohistochemistry-Paraffin: ACSL6 Antibody [NBP1-89269] - Staining of human skin shows low expression as expected.
Immunohistochemistry-Paraffin: ACSL6 Antibody [NBP1-89269]

Immunohistochemistry-Paraffin: ACSL6 Antibody [NBP1-89269]

Immunohistochemistry-Paraffin: ACSL6 Antibody [NBP1-89269] - Staining of human testis shows high expression.

Applications for ACSL6 Antibody - BSA Free

Application
Recommended Usage

Immunohistochemistry

1:200 -1:500

Immunohistochemistry-Paraffin

1:200 - 1:500
Application Notes
For IHC-Paraffin, HIER pH 6 retrieval is recommended.

Formulation, Preparation, and Storage

Purification

Affinity purified

Formulation

PBS (pH 7.2) and 40% Glycerol

Format

BSA Free

Preservative

0.02% Sodium Azide

Concentration

Concentrations vary lot to lot. See vial label for concentration. If unlisted please contact technical services.

Shipping

The product is shipped with polar packs. Upon receipt, store it immediately at the temperature recommended below.

Stability & Storage

Store at 4C short term. Aliquot and store at -20C long term. Avoid freeze-thaw cycles.

Background: ACSL6

Long-chain-fatty-acid--CoA ligase 6, or ACSL6, is an isozyme of the long-chain fatty-acid-coenzyme A ligase family. These proteins play an important role in both the synthesis of cellular lipids and in beta-oxidation degradation. Like other isozymes of this family, ALCS6 converts free long-chain fatty acids into fatty acyl-CoA esters. Specifially, ACSL6 is critical for fatty acid metabolism in the brain and the acyl-CoAs produced may be utilized exclusively for the synthesis of the brain lipid.

ACSL6 is expressed predominantly in erythrocyte precursors, in particular in reticulocytes, fetal blood cells derived from fetal liver, hemopoietic stem cells from cord blood, bone marrow and brain.

Alternate Names

ACS2long-chain 6, acyl-CoA synthetase long-chain family member 6, EC 6.2.1, EC 6.2.1.3, FLJ16173, LACS 6, long fatty acyl-CoA synthetase 2, Long-chain acyl-CoA synthetase 6, long-chain-fatty-acid--CoA ligase 6

Gene Symbol

ACSL6

Additional ACSL6 Products

Product Documents for ACSL6 Antibody - BSA Free

Certificate of Analysis

To download a Certificate of Analysis, please enter a lot number in the search box below.

Product Specific Notices for ACSL6 Antibody - BSA Free

This product is for research use only and is not approved for use in humans or in clinical diagnosis. Primary Antibodies are guaranteed for 1 year from date of receipt.

Loading...
Loading...
Loading...
Loading...