ACSL5 Antibody (CL0275) - BSA Free
Novus Biologicals, part of Bio-Techne | Catalog # NBP2-52899
Conjugate
Catalog #
Forumulation
Catalog #
Key Product Details
Species Reactivity
Human
Applications
Immunohistochemistry, Immunohistochemistry-Paraffin, Western Blot
Label
Unconjugated
Antibody Source
Monoclonal Mouse IgG1 Clone # CL0275
Format
BSA Free
Concentration
Concentrations vary lot to lot. See vial label for concentration. If unlisted please contact technical services.
Product Specifications
Immunogen
This antibody was developed using a recombinant protein derived from Q9ULC5, with the exact immunogen sequence remaining proprietary.
Clonality
Monoclonal
Host
Mouse
Isotype
IgG1
Description
Novus Biologicals Mouse ACSL5 Antibody (CL0275) - BSA Free (NBP2-52899) is a monoclonal antibody validated for use in IHC and WB. All Novus Biologicals antibodies are covered by our 100% guarantee.
Scientific Data Images for ACSL5 Antibody (CL0275) - BSA Free
Western Blot: ACSL5 Antibody (CL0275) [NBP2-52899]
Western Blot: ACSL5 Antibody (CL0275) [NBP2-52899] - Lane 1: Marker [kDa], Lane 2: Negative control (vector only transfected HEK293T lysate) Lane 3: ACSL5 Over-expression Lysate (Co-expressed with a C-terminal myc-DDK tag (~3.1 kDa) in mammalian HEK293T cells)Immunohistochemistry-Paraffin: ACSL5 Antibody (CL0275) [NBP2-52899]
Immunohistochemistry-Paraffin: ACSL5 Antibody (CL0275) [NBP2-52899] - Staining of human small intestine shows very strong cytoplasmic and membrane immunoreactivity in the glandular cells.Immunohistochemistry-Paraffin: ACSL5 Antibody (CL0275) [NBP2-52899]
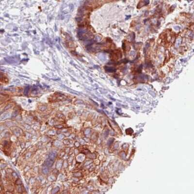
Immunohistochemistry-Paraffin: ACSL5 Antibody (CL0275) [NBP2-52899] - Staining of human colon (colorectal cancer) shows moderate membrane positivity in cancer cells.Applications for ACSL5 Antibody (CL0275) - BSA Free
Application
Recommended Usage
Immunohistochemistry
1:50 - 1:200
Immunohistochemistry-Paraffin
1:50 - 1:200
Western Blot
1 ug/ml
Application Notes
For IHC-Paraffin, HIER pH 6 retrieval is recommended.
Formulation, Preparation, and Storage
Purification
Protein A purified
Formulation
PBS (pH 7.2) and 40% Glycerol
Format
BSA Free
Preservative
0.02% Sodium Azide
Concentration
Concentrations vary lot to lot. See vial label for concentration. If unlisted please contact technical services.
Shipping
The product is shipped with polar packs. Upon receipt, store it immediately at the temperature recommended below.
Stability & Storage
Store at 4C short term. Aliquot and store at -20C long term. Avoid freeze-thaw cycles.
Background: ACSL5
This isozyme is highly expressed in uterus and spleen, and in trace amounts are found in normal brain. It also has significantly increased expression in malignant gliomas, where the protein functions in mediating fatty acid-induced glioma cell growth. Therefore, ALCS5 is thought to have a key role in the survival of glioma cells and may be a potential target for novel cancer treatments. Three transcript variants encoding two different isoforms have been found for this gene.
Alternate Names
ACS2, ACS5FACL5 for fatty acid coenzyme A ligase 5, acyl-CoA synthetase long-chain family member 5, EC 6.2.1, EC 6.2.1.3, FACL5fatty acid coenzyme A ligase 5, fatty-acid-Coenzyme A ligase, long-chain 5, LACS 5, Long-chain acyl-CoA synthetase 5, long-chain fatty acid coenzyme A ligase 5, long-chain-fatty-acid--CoA ligase 5
Gene Symbol
ACSL5
Additional ACSL5 Products
Product Documents for ACSL5 Antibody (CL0275) - BSA Free
Product Specific Notices for ACSL5 Antibody (CL0275) - BSA Free
This product is for research use only and is not approved for use in humans or in clinical diagnosis. Primary Antibodies are guaranteed for 1 year from date of receipt.
Loading...
Loading...
Loading...
Loading...