Skip to main content

ACSF2 Antibody - BSA Free

Novus Biologicals, part of Bio-Techne | Catalog # NBP3-48230

Novus Biologicals, part of Bio-Techne
Catalog #
Availability
Size / Price
Qty
Loading...
NBP3-48230

Key Product Details

Species Reactivity

Human, Mouse, Rat

Applications

Immunohistochemistry, Western Blot, ELISA

Label

Unconjugated

Antibody Source

Polyclonal Rabbit IgG

Format

BSA Free

Concentration

Please see the vial label for concentration. If unlisted please contact technical services.

Product Specifications

Immunogen

acyl-CoA synthetase family member 2. (Uniprot# Q96CM8)

Clonality

Polyclonal

Host

Rabbit

Isotype

IgG

Description

Novus Biologicals Rabbit ACSF2 Antibody - BSA Free (NBP3-48230) is a polyclonal antibody validated for use in IHC, WB and ELISA. All Novus Biologicals antibodies are covered by our 100% guarantee.

Scientific Data Images for ACSF2 Antibody - BSA Free

ACSF2 Antibody - BSA Free

Western Blot: ACSF2 Antibody - BSA Free [NBP3-48230] -

Western Blot: ACSF2 Antibody - BSA Free [NBP3-48230] - Mouse lung tissue were subjected to SDS PAGE followed by western blot with (ACSF2 Antibody) at dilution of 1:600
ACSF2 Antibody - BSA Free

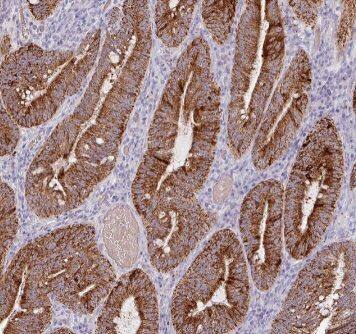
Immunohistochemistry: ACSF2 Antibody - BSA Free [NBP3-48230] -

Immunohistochemistry: ACSF2 Antibody - BSA Free [NBP3-48230] - Immunohistochemistry of paraffin-embedded human right adrenal gland using (ACSF2 Antibody) at dilution of 1:50

Applications for ACSF2 Antibody - BSA Free

Application
Recommended Usage

Immunohistochemistry

1:20-1:200

Western Blot

1:200-1:2000
Application Notes
Theoretical Molecular Weight is 55-70 kDa

Formulation, Preparation, and Storage

Purification

Immunogen affinity purified

Formulation

PBS, 50% Glycerol, pH (7.3)

Format

BSA Free

Preservative

0.02% Sodium Azide

Concentration

Please see the vial label for concentration. If unlisted please contact technical services.

Shipping

The product is shipped with polar packs. Upon receipt, store it immediately at the temperature recommended below.

Stability & Storage

Store at -20C. Avoid freeze-thaw cycles.

Background: ACSF2

Acyl-CoA synthases catalyze the initial reaction in fatty acid metabolism, by forming a thioester with CoA.Has some preference toward medium-chain substrates. Plays a role in adipodyte differentiation

Alternate Names

ACSMW, acyl-CoA synthetase family member 2, AVYV493, EC 6.2.1, EC 6.2.1.-, EC 6.2.1.26, mitochondrial, PPARG binding, long chain fatty acid acyl Co-A ligase like

Gene Symbol

ACSF2

Additional ACSF2 Products

Product Documents for ACSF2 Antibody - BSA Free

Certificate of Analysis

To download a Certificate of Analysis, please enter a lot number in the search box below.

Product Specific Notices for ACSF2 Antibody - BSA Free

This product is for research use only and is not approved for use in humans or in clinical diagnosis. Primary Antibodies are guaranteed for 1 year from date of receipt.

Loading...
Loading...
Loading...
Loading...