Skip to main content

Acrosin Antibody - BSA Free

Novus Biologicals, part of Bio-Techne | Catalog # NBP2-14260

Novus Biologicals, part of Bio-Techne
Catalog #
Availability
Size / Price
Qty
Loading...
NBP2-14260-25ul
NBP2-14260

Key Product Details

Validated by

Orthogonal Validation

Species Reactivity

Validated:

Human, Mouse, Rat

Cited:

Human, Mouse, Rat

Applications

Validated:

Immunohistochemistry, Immunohistochemistry-Paraffin, Immunocytochemistry/ Immunofluorescence

Cited:

Immunohistochemistry, Western Blot, Immunocytochemistry/ Immunofluorescence, IF/IHC

Label

Unconjugated

Antibody Source

Polyclonal Rabbit IgG

Format

BSA Free

Concentration

Concentrations vary lot to lot. See vial label for concentration. If unlisted please contact technical services.

Product Specifications

Immunogen

This antibody was developed against Recombinant Protein corresponding to amino acids: LMEARVDLIDLDLCNSTQWYNGRVQPTNVCAGYPVGKIDTCQ

Reactivity Notes

Rat reactivity reported in scientific literature (PMID: 27430551). Use in Mouse reported in scientific literature (PMID:32923619).

Clonality

Polyclonal

Host

Rabbit

Isotype

IgG

Scientific Data Images for Acrosin Antibody - BSA Free

Analysis in human testis and liver tissues using NBP2-14260 antibody. Corresponding ACR RNA-seq data are presented for the same tissues.

Analysis in human testis and liver tissues using NBP2-14260 antibody. Corresponding ACR RNA-seq data are presented for the same tissues.

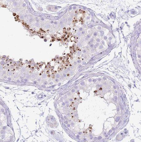
Staining of human testis show strong extracellular space and nuclear positivity in subset of cells in seminiferous ducts.

Staining of human testis show strong extracellular space and nuclear positivity in subset of cells in seminiferous ducts.

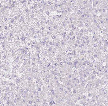
Staining of human liver shows no positivity in hepatocytes as expected.

Staining of human liver shows no positivity in hepatocytes as expected.

Applications for Acrosin Antibody - BSA Free

Application
Recommended Usage

Immunocytochemistry/ Immunofluorescence

Reported in scientific literature (PMID 27430551)

Immunohistochemistry

1:1000 - 1:2500

Immunohistochemistry-Paraffin

1:1000 - 1:2500
Application Notes
For IHC-Paraffin, HIER pH 6 retrieval is recommended.

Formulation, Preparation, and Storage

Purification

Affinity purified

Formulation

PBS (pH 7.2) and 40% Glycerol

Format

BSA Free

Preservative

0.02% Sodium Azide

Concentration

Concentrations vary lot to lot. See vial label for concentration. If unlisted please contact technical services.

Shipping

The product is shipped with polar packs. Upon receipt, store it immediately at the temperature recommended below.

Stability & Storage

Store at 4C short term. Aliquot and store at -20C long term. Avoid freeze-thaw cycles.

Background: Acrosin

Acrosin is the major proteinase present in the acrosome of mature spermatozoa. It is a typical serine proteinase with trypsin-like specificity. It is stored in the acrosome in its precursor form, proacrosin. The active enzyme functions in the lysis of the zona pellucida, thus facilitating penetration of the sperm through the innermost glycoprotein layers of the ovum. The mRNA for proacrosin is synthesized only in the postmeiotic stages of spermatogenesis. In humans proacrosin first appears in the haploid spermatids.

Alternate Names

acrosin, ACRS, preproacrosin, proacrosin

Entrez Gene IDs

49 (Human)

Gene Symbol

ACR

UniProt

Additional Acrosin Products

Product Documents for Acrosin Antibody - BSA Free

Certificate of Analysis

To download a Certificate of Analysis, please enter a lot number in the search box below.

Product Specific Notices for Acrosin Antibody - BSA Free

This product is for research use only and is not approved for use in humans or in clinical diagnosis. Primary Antibodies are guaranteed for 1 year from date of receipt.

Loading...
Loading...
Loading...
Loading...