Skip to main content

ACRC Antibody - BSA Free

Novus Biologicals, part of Bio-Techne | Catalog # NBP1-85993

Novus Biologicals, part of Bio-Techne
Catalog #
Availability
Size / Price
Qty
Loading...
NBP1-85993
NBP1-85993-25ul

Key Product Details

Validated by

Orthogonal Validation

Species Reactivity

Validated:

Human

Cited:

Human

Applications

Validated:

Immunohistochemistry, Immunohistochemistry-Paraffin, Immunocytochemistry/ Immunofluorescence

Cited:

Immunohistochemistry-Paraffin

Label

Unconjugated

Antibody Source

Polyclonal Rabbit IgG

Format

BSA Free

Concentration

Concentrations vary lot to lot. See vial label for concentration. If unlisted please contact technical services.

Product Specifications

Immunogen

This antibody was developed against Recombinant Protein corresponding to amino acids: QSSSDDTSGSSVARRAPKRQASCILNVQSRSGDTSGSSVARRAPKRQASSVVVIDSDSDEECHTHEEKKAKLLEINSDDESPECCHVKPAIQEPPIVISDDDNDDDNGNDLE

Clonality

Polyclonal

Host

Rabbit

Isotype

IgG

Scientific Data Images for ACRC Antibody - BSA Free

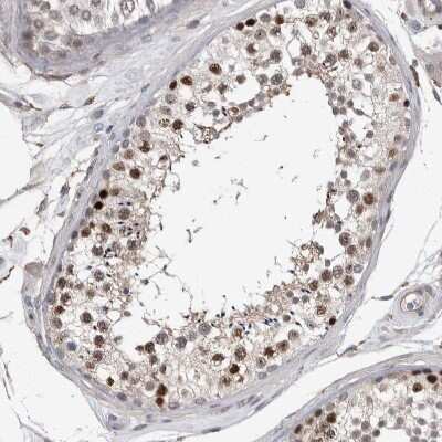
Immunohistochemistry-Paraffin: ACRC Antibody [NBP1-85993]

Immunohistochemistry-Paraffin: ACRC Antibody [NBP1-85993]

Immunohistochemistry-Paraffin: ACRC Antibody [NBP1-85993] - Staining in human testis and pancreas tissues.. Corresponding GCNA RNA-seq data are presented for the same tissues.
Immunocytochemistry/ Immunofluorescence: ACRC Antibody [NBP1-85993]

Immunocytochemistry/ Immunofluorescence: ACRC Antibody [NBP1-85993]

Immunocytochemistry/Immunofluorescence: ACRC Antibody [NBP1-85993] - Staining of human cell line A-431 shows localization to vesicles. Antibody staining is shown in green.
Immunohistochemistry-Paraffin: ACRC Antibody [NBP1-85993]

Immunohistochemistry-Paraffin: ACRC Antibody [NBP1-85993]

Immunohistochemistry-Paraffin: ACRC Antibody [NBP1-85993] - Staining of human pancreas shows no positivity in exocrine glandular cells.

Applications for ACRC Antibody - BSA Free

Application
Recommended Usage

Immunocytochemistry/ Immunofluorescence

0.25-2 ug/ml

Immunohistochemistry

1:200 - 1:500

Immunohistochemistry-Paraffin

1:200 - 1:500
Application Notes
For IHC-Paraffin, HIER pH 6 retrieval is recommended. ICC/IF Fixation Permeabilization: Use PFA/Triton X-100.

Formulation, Preparation, and Storage

Purification

Affinity purified

Formulation

PBS (pH 7.2) and 40% Glycerol

Format

BSA Free

Preservative

0.02% Sodium Azide

Concentration

Concentrations vary lot to lot. See vial label for concentration. If unlisted please contact technical services.

Shipping

The product is shipped with polar packs. Upon receipt, store it immediately at the temperature recommended below.

Stability & Storage

Store at 4C short term. Aliquot and store at -20C long term. Avoid freeze-thaw cycles.

Background: ACRC

Alternate Names

acidic repeat containing, acidic repeat-containing protein, NAAR1, putative nuclear protein

Gene Symbol

ACRC

Additional ACRC Products

Product Documents for ACRC Antibody - BSA Free

Certificate of Analysis

To download a Certificate of Analysis, please enter a lot number in the search box below.

Product Specific Notices for ACRC Antibody - BSA Free

This product is for research use only and is not approved for use in humans or in clinical diagnosis. Primary Antibodies are guaranteed for 1 year from date of receipt.

Loading...
Loading...
Loading...
Loading...