Skip to main content

ACOX2 Antibody - BSA Free

Novus Biologicals, part of Bio-Techne | Catalog # NBP1-88364

Novus Biologicals, part of Bio-Techne
Catalog #
Availability
Size / Price
Qty
Loading...
NBP1-88364
NBP1-88364-25ul

Key Product Details

Validated by

Independent Antibodies

Species Reactivity

Human

Applications

Immunohistochemistry, Immunohistochemistry-Paraffin, Western Blot

Label

Unconjugated

Antibody Source

Polyclonal Rabbit IgG

Format

BSA Free

Concentration

Concentrations vary lot to lot. See vial label for concentration. If unlisted please contact technical services.

Product Specifications

Immunogen

This antibody was developed against Recombinant Protein corresponding to amino acids: MGSPVHRVSLGDTWSRQMHPDIESERYMQSFDVERLTNILDGGAQNTALRRKVESIIHSYPEFSCKDNYFMTQN

Clonality

Polyclonal

Host

Rabbit

Isotype

IgG

Scientific Data Images for ACOX2 Antibody - BSA Free

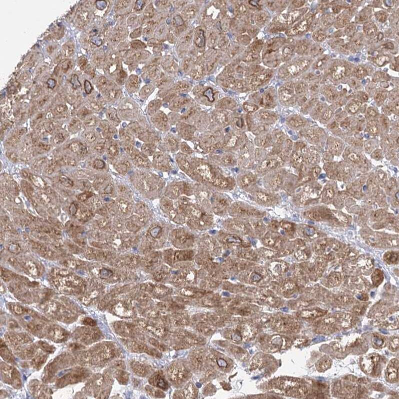
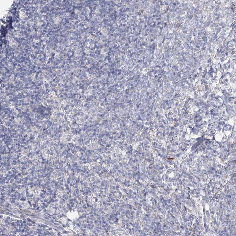
ACOX2 Antibody - BSA Free Immunohistochemistry-Paraffin: ACOX2 Antibody - BSA Free [NBP1-88364]

Immunohistochemistry-Paraffin: ACOX2 Antibody - BSA Free [NBP1-88364]

Staining of human heart muscle, kidney, liver and tonsil using Anti-ACOX2 antibody NBP1-88364 (A) shows similar protein distribution across tissues to independent antibody NBP2-57292 (B).
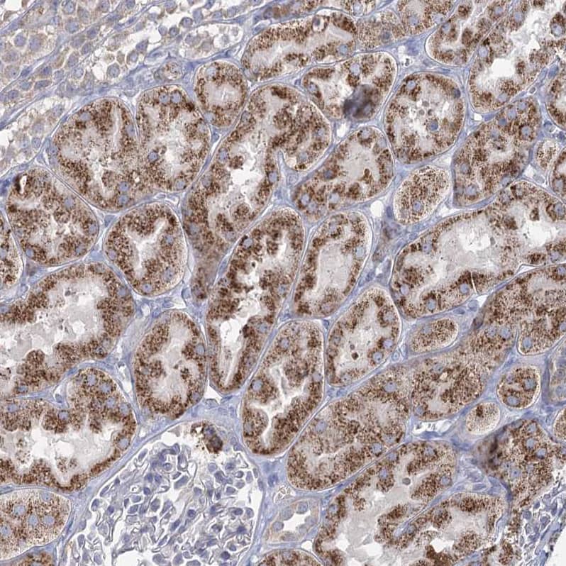
ACOX2 Antibody - BSA Free Immunohistochemistry-Paraffin: ACOX2 Antibody - BSA Free [NBP1-88364]

Immunohistochemistry-Paraffin: ACOX2 Antibody - BSA Free [NBP1-88364]

Staining of human kidney shows moderate granular cytoplasmic positivity in cells in tubules.
ACOX2 Antibody - BSA Free Immunohistochemistry-Paraffin: ACOX2 Antibody - BSA Free [NBP1-88364]

Immunohistochemistry-Paraffin: ACOX2 Antibody - BSA Free [NBP1-88364]

Staining of human liver shows moderate granular cytoplasmic positivity in hepatocytes.

Applications for ACOX2 Antibody - BSA Free

Application
Recommended Usage

Immunohistochemistry

1:200 - 1:500

Immunohistochemistry-Paraffin

1:200 - 1:500

Western Blot

0.04-0.4 ug/ml
Application Notes
For IHC-Paraffin, HIER pH 6 retrieval is recommended.

Formulation, Preparation, and Storage

Purification

Affinity purified

Formulation

PBS (pH 7.2) and 40% Glycerol

Format

BSA Free

Preservative

0.02% Sodium Azide

Concentration

Concentrations vary lot to lot. See vial label for concentration. If unlisted please contact technical services.

Shipping

The product is shipped with polar packs. Upon receipt, store it immediately at the temperature recommended below.

Stability & Storage

Store at 4C short term. Aliquot and store at -20C long term. Avoid freeze-thaw cycles.

Background: ACOX2

The product of this gene belongs to the acyl-CoA oxidases family. It encodes the branched-chain acyl-CoA oxidase which is involved in the degradation of long branched fatty acids and bile acid intermediates in peroxisomes. Deficiency of this enzyme results in the accumulation of branched fatty acids and bile acid intermediates, and may lead to Zellweger syndrome, severe mental retardation and death in children. [provided by RefSeq]

Alternate Names

12-alpha-trihydroxy-5-beta-cholestanoyl-CoA 24-hydroxylase, 12-alpha-trihydroxy-5-beta-cholestanoyl-CoA oxidase, 3-alpha, 7-alpha, acyl-CoA oxidase 2, branched chain, acyl-Coenzyme A oxidase 2, branched chain, BCOX, BRCACOXTHCA-CoA oxidase, BRCOX, EC 1.17.99.3, peroxisomal acyl-coenzyme A oxidase 2,3-alpha, peroxisomal branched chain acyl-CoA oxidase, THCCox, Trihydroxycoprostanoyl-CoA oxidase

Gene Symbol

ACOX2

Additional ACOX2 Products

Product Documents for ACOX2 Antibody - BSA Free

Certificate of Analysis

To download a Certificate of Analysis, please enter a lot number in the search box below.

Product Specific Notices for ACOX2 Antibody - BSA Free

This product is for research use only and is not approved for use in humans or in clinical diagnosis. Primary Antibodies are guaranteed for 1 year from date of receipt.

Loading...
Loading...
Loading...
Loading...